Tel:
+49 (0)241 95 163 153
Fax:
+49 (0)241 95 163 155
E-Mail:
orders@anticorps-enligne.fr

DDX27 anticorps (C-Term)

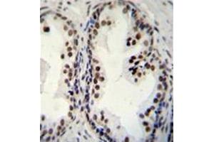
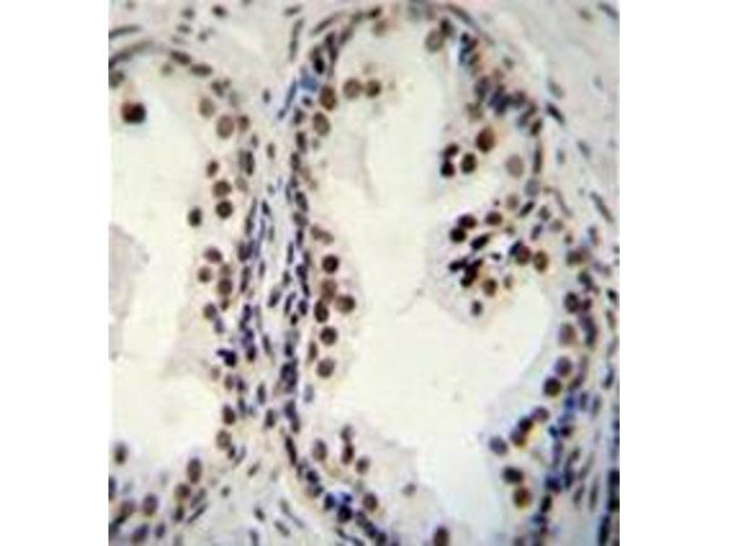
Cet anticorps Lapin Polyclonal détecte spécifiquement DDX27 dans WB, FACS, IHC (p) et EIA. Il présente une réactivité avec des échantillons de Humain.
N° du produit ABIN951865
870,77 €
Plus frais de livraison 40,00 € et TVA
0.4 mL
Destination: France
Envoi sous 17 jours ouvrables

Aperçu rapide pour DDX27 anticorps (C-Term) (ABIN951865)

Antigène

Voir toutes DDX27 Anticorps
DDX27 (DEAD (Asp-Glu-Ala-Asp) Box Polypeptide 27 (DDX27))

Reactivité

  • 37
  • 10
  • 6
  • 4
  • 3
  • 3
  • 3
  • 2
  • 2
  • 1
  • 1
Humain

Hôte

  • 34
  • 3
Lapin

Clonalité

  • 34
  • 3
Polyclonal

Conjugué

  • 22
  • 3
  • 2
  • 2
  • 1
  • 1
  • 1
  • 1
  • 1
  • 1
  • 1
  • 1
Cet anticorp DDX27 est non-conjugé

Application

  • 25
  • 16
  • 11
  • 11
  • 4
  • 2
  • 2
  • 2
  • 2
  • 1
  • 1
Western Blotting (WB), Flow Cytometry (FACS), Immunohistochemistry (Paraffin-embedded Sections) (IHC (p)), Enzyme Immunoassay (EIA)
  • Épitope

    • 8
    • 5
    • 3
    • 2
    • 2
    • 1
    • 1
    • 1
    • 1
    • 1
    • 1
    AA 777-796, C-Term

    Specificité

    This antibody recognizes Human DEAD box protein 27 (C-term).

    Purification

    Affinity chromatography on Protein A

    Immunogène

    KLH conjugated synthetic peptide between 777-796 amino acids from the C-terminal region of Human DDX27

    Isotype

    Ig Fraction
  • Indications d'application

    Optimal working dilution should be determined by the investigator.

    Restrictions

    For Research Use only
  • Format

    Liquid

    Concentration

    0.25 mg/mL

    Buffer

    PBS, 0.09 % Sodium Azide

    Agent conservateur

    Sodium azide

    Précaution d'utilisation

    This product contains sodium azide: a POISONOUS AND HAZARDOUS SUBSTANCE which should be handled by trained staff only.

    Conseil sur la manipulation

    Avoid repeated freezing and thawing.

    Stock

    4 °C/-20 °C

    Stockage commentaire

    Store undiluted at 2-8 °C for one month or (in aliquots) at -20 °C for longer.
  • Antigène

    DDX27 (DEAD (Asp-Glu-Ala-Asp) Box Polypeptide 27 (DDX27))

    Autre désignation

    DDX27

    Sujet

    DEAD box proteins, characterized by the conserved motif Asp-Glu-Ala-Asp (DEAD), are putative RNA helicases. They are implicated in a number of cellular processes involving alteration of RNA secondary structure such as translation initiation, nuclear and mitochondrial splicing, and ribosome and spliceosome assembly. Based on their distribution patterns, some members of this family are believed to be involved in embryogenesis, spermatogenesis, and cellular growth and division. This gene encodes a DEAD box protein, the function of which has not been determined. [provided by RefSeq].Synonyms: DEAD box protein 27, HSPC259, PP3241, Probable ATP-dependent RNA helicase DDX27, RHLP

    Poids moléculaire

    89835 Da

    ID gène

    55661

    NCBI Accession

    NP_060365
Vous êtes ici:
Chat with us!