Tel:
+49 (0)241 95 163 153
Fax:
+49 (0)241 95 163 155
E-Mail:
orders@anticorps-enligne.fr

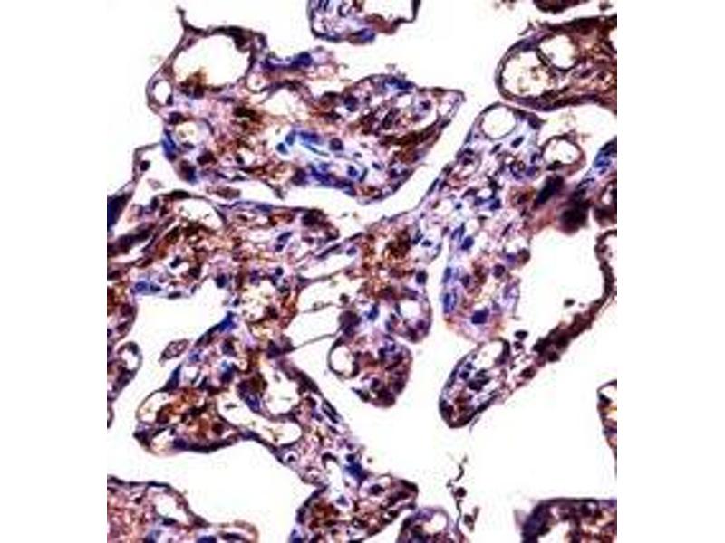
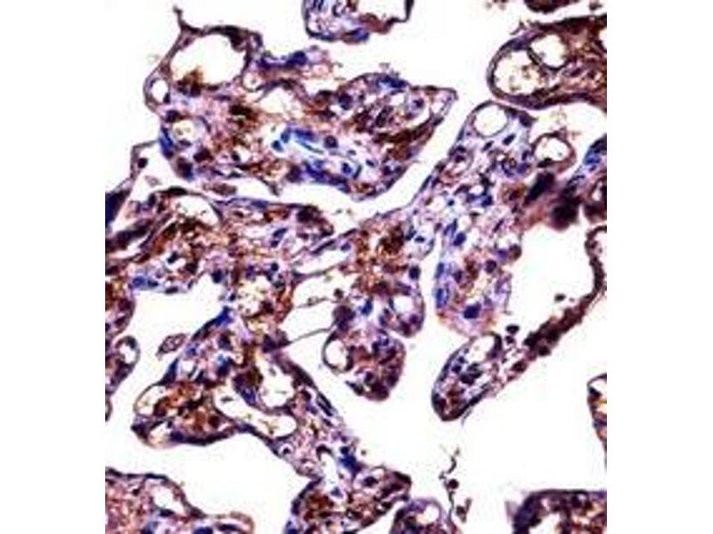
Fibulin 1 anticorps (C-Term)

L’anticorps anti-Fibulin 1 Polyclonal Lapin est utilisé pour la détection de Fibulin 1 dans des échantillons de Humain et Souris. Il a été validé pour WB et IHC (p).
N° du produit ABIN952325
870,77 €
Plus frais de livraison 40,00 € et TVA
0.4 mL
Destination: France
Envoi sous 17 jours ouvrables

Aperçu rapide pour Fibulin 1 anticorps (C-Term) (ABIN952325)

Antigène

Voir toutes Fibulin 1 (FBLN1) Anticorps
Fibulin 1 (FBLN1)

Reactivité

  • 60
  • 31
  • 19
  • 3
  • 2
  • 2
  • 2
  • 1
  • 1
  • 1
Humain, Souris

Hôte

  • 64
  • 17
  • 1
Lapin

Clonalité

  • 54
  • 28
Polyclonal

Conjugué

  • 41
  • 19
  • 4
  • 2
  • 2
  • 2
  • 2
  • 2
  • 2
  • 2
  • 1
  • 1
  • 1
  • 1
Cet anticorp Fibulin 1 est non-conjugé

Application

  • 70
  • 37
  • 26
  • 19
  • 19
  • 8
  • 4
  • 3
  • 2
  • 2
  • 1
  • 1
  • 1
Western Blotting (WB), Immunohistochemistry (Paraffin-embedded Sections) (IHC (p))
  • Épitope

    • 8
    • 4
    • 4
    • 4
    • 4
    • 3
    • 3
    • 2
    • 2
    • 2
    • 2
    • 2
    • 1
    • 1
    • 1
    • 1
    • 1
    • 1
    AA 621-650, C-Term

    Specificité

    This antibody recognizes Human and Mouse Fibulin-1 (C-term).

    Purification

    Affinity Chromatography on Protein A

    Immunogène

    KLH conjugated synthetic peptide between 621-650 amino acids from the C-terminal region of Human Fibulin-1.

    Isotype

    Ig Fraction
  • Indications d'application

    Optimal working dilution should be determined by the investigator.

    Restrictions

    For Research Use only
  • Format

    Liquid

    Concentration

    0.25 mg/mL

    Buffer

    PBS containing 0.09 % (W/V) Sodium Azide as preservative

    Agent conservateur

    Sodium azide

    Précaution d'utilisation

    This product contains sodium azide: a POISONOUS AND HAZARDOUS SUBSTANCE which should be handled by trained staff only.

    Conseil sur la manipulation

    Avoid repeated freezing and thawing.

    Stock

    4 °C/-20 °C

    Stockage commentaire

    Store undiluted at 2-8 °C for one month or (in aliquots) at -20 °C for longer.
  • Antigène

    Fibulin 1 (FBLN1)

    Autre désignation

    Fibulin-1

    Sujet

    Fibulin 1 is a secreted glycoprotein that becomes incorporated into a fibrillar extracellular matrix. Calcium-binding is apparently required to mediate its binding to laminin and nidogen. It mediates platelet adhesion via binding fibrinogen. Four splice variants which differ in the 3' end have been identified. Each variant encodes a different isoform, but no functional distinctions have been identified among the four variants.Synonyms: FBLN1, FIBL-1, PP213

    Poids moléculaire

    77214 Da

    ID gène

    2192

    NCBI Accession

    NP_001987
Vous êtes ici:
Chat with us!