Tel:
+49 (0)241 95 163 153
Fax:
+49 (0)241 95 163 155
E-Mail:
orders@anticorps-enligne.fr

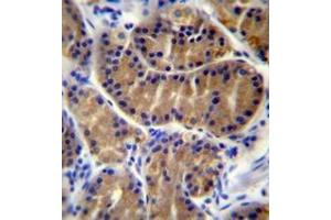
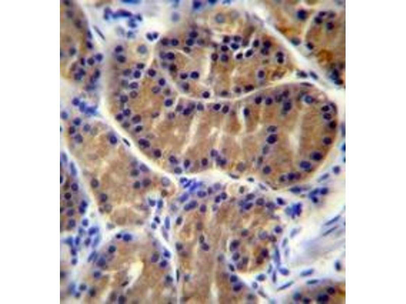
IL17B anticorps (Middle Region)

L’anticorps anti-IL17B Polyclonal Lapin est utilisé pour la détection de IL17B dans des échantillons de Humain et Souris. Il a été validé pour WB, IF, IHC (p) et EIA.
N° du produit ABIN952922
870,77 €
Plus frais de livraison 40,00 € et TVA
0.4 mL
Destination: France
Envoi sous 17 jours ouvrables

Aperçu rapide pour IL17B anticorps (Middle Region) (ABIN952922)

Antigène

Voir toutes IL17B Anticorps
IL17B (Interleukin 17B (IL17B))

Reactivité

  • 59
  • 32
  • 20
  • 2
  • 1
  • 1
  • 1
  • 1
  • 1
  • 1
  • 1
  • 1
Humain, Souris

Hôte

  • 52
  • 8
  • 4
  • 1
Lapin

Clonalité

  • 57
  • 8
Polyclonal

Conjugué

  • 34
  • 5
  • 3
  • 3
  • 2
  • 1
  • 1
  • 1
  • 1
  • 1
  • 1
  • 1
  • 1
  • 1
  • 1
  • 1
  • 1
  • 1
  • 1
  • 1
  • 1
  • 1
  • 1
Cet anticorp IL17B est non-conjugé

Application

  • 38
  • 28
  • 20
  • 13
  • 13
  • 10
  • 9
  • 9
  • 6
  • 3
  • 2
  • 2
  • 1
Western Blotting (WB), Immunofluorescence (IF), Immunohistochemistry (Paraffin-embedded Sections) (IHC (p)), Enzyme Immunoassay (EIA)
  • Épitope

    • 15
    • 7
    • 6
    • 3
    • 2
    • 2
    • 2
    • 2
    • 2
    • 1
    • 1
    • 1
    • 1
    • 1
    • 1
    AA 46-74, Middle Region

    Specificité

    This antibody recognizes Interleukin-17B / IL17B.

    Réactivité croisée (Details)

    Species reactivity (tested):Human, Mouse

    Purification

    Purified through a Protein A column followed by peptide affinity purification

    Immunogène

    Synthetic peptide - KLH conjugated - corresponding to the central region (between 46-74aa) of human Interleukin-17B / IL17B

    Isotype

    Ig Fraction
  • Indications d'application

    Optimal working dilution should be determined by the investigator.

    Restrictions

    For Research Use only
  • Format

    Liquid

    Concentration

    0.25 mg/mL

    Buffer

    PBS with 0.09 % (W/V) Sodium azide

    Agent conservateur

    Sodium azide

    Précaution d'utilisation

    This product contains sodium azide: a POISONOUS AND HAZARDOUS SUBSTANCE which should be handled by trained staff only.

    Conseil sur la manipulation

    Avoid repeated freezing and thawing.

    Stock

    4 °C/-20 °C

    Stockage commentaire

    Store undiluted at 2-8 °C for one month or (in aliquots) at -20 °C for longer.
  • Antigène

    IL17B (Interleukin 17B (IL17B))

    Autre désignation

    Interleukin-17B / IL17B

    Sujet

    The protein encoded by the IL17B gene is a T cell-derived cytokine that shares sequence similarity with IL17. Interleukin-17B was reported to stimulate the release of TNF alpha (TNF) and IL1 beta (IL1B) from a monocytic cell line. Immunohistochemical analysis of several nerve tissues indicated that this cytokine is primarily localized to neuronal cell bodies.Synonyms: IL-17B, IL20, Interleukin-20, NIRF, Neuronal interleukin-17-related factor, ZCYTO7

    ID gène

    27190

    NCBI Accession

    NP_055258
Vous êtes ici:
Chat with us!