×
Pour une meilleure utilisation, nous vous conseillons d’activer Javascript dans votre navigateur.
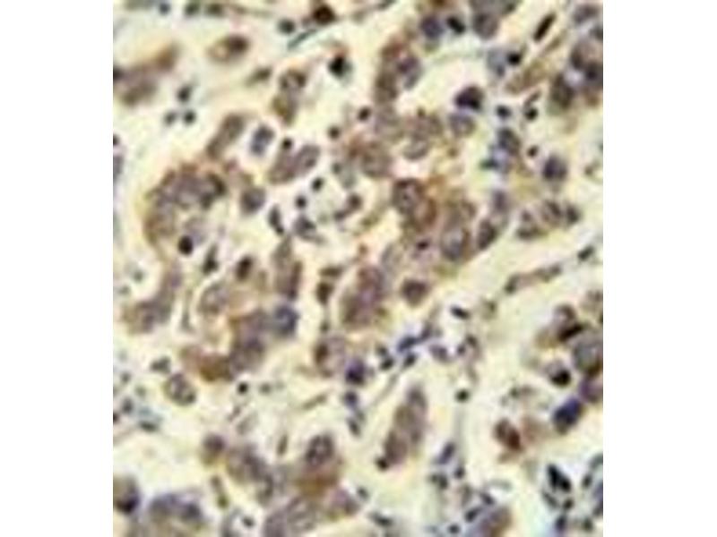
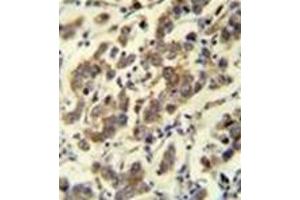
MBD3L3 anticorps (C-Term)
Cet anticorps Lapin Polyclonal détecte spécifiquement MBD3L3 dans FACS, WB, IF, IHC (p) et EIA. Il présente une réactivité avec des échantillons de Humain.
N° du produit ABIN953335
870,77 €
Plus frais de livraison 40,00 € et TVA
Envoi sous 17 jours ouvrables
Aperçu rapide pour MBD3L3 anticorps (C-Term) (ABIN953335)
Antigène
MBD3L3
(Methyl-CpG Binding Domain Protein 3-Like 3 (MBD3L3))
Reactivité
Humain
Hôte
Toutes les hôtes sur MBD3L3 Anticorps
Lapin
Clonalité
Toutes les clonalités sur MBD3L3 Anticorps
Polyclonal
Conjugué
Tous les conjugués à travers MBD3L3 Anticorps
Cet anticorp MBD3L3 est non-conjugé
Application
Tous les applications à travers MBD3L3 Anticorps.
Flow Cytometry (FACS), Western Blotting (WB), Immunofluorescence (IF), Immunohistochemistry (Paraffin-embedded Sections) (IHC (p)), Enzyme Immunoassay (EIA)
Détail du produit anti-MBD3L3 anticorps
(cache)
Épitope
Tous les épitopes à travers MBD3L3 Anticorps.
AA 163-192, C-Term
Specificité
This antibody recognizes Human MBD3L3 (C-term).
Purification
Protein A column, followed by peptide affinity purification
Immunogène
KLH conjugated synthetic peptide between 163-192 amino acids from the C-terminal region of human MBD3L3
Isotype
Ig Fraction
Alternatives
(show)
Information d'application
(cache)
Indications d'application
Optimal working dilution should be determined by the investigator.
Restrictions
For Research Use only
Stockage
(cache)
Format
Liquid
Concentration
0.25 mg/mL
Buffer
PBS containing 0.09 % (W/V) Sodium Azide as preservative
Agent conservateur
Sodium azide
Précaution d'utilisation
This product contains sodium azide: a POISONOUS AND HAZARDOUS SUBSTANCE which should be handled by trained staff only.
Conseil sur la manipulation
Avoid repeated freezing and thawing.
Stock
4 °C/-20 °C
Stockage commentaire
Store undiluted at 2-8 °C for one month or (in aliquots) at -20 °C for longer.
Détails sur MBD3L3
(cache)
Antigène
MBD3L3
(Methyl-CpG Binding Domain Protein 3-Like 3 (MBD3L3))
Autre désignation
MBD3L3
Sujet
Synonyms: Putative methyl-CpG-binding domain protein 3-like 3
Poids moléculaire
23095 Da
ID gène
653657
NCBI Accession
NP_001157897
Vus récemment
(cache)
Chat with us , powered by LiveChat