×
Pour une meilleure utilisation, nous vous conseillons d’activer Javascript dans votre navigateur.
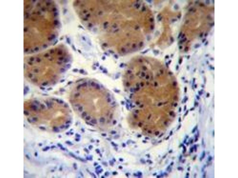
MORN5 anticorps (C-Term)
Cet anticorps Lapin Polyclonal détecte spécifiquement MORN5 dans WB, IHC (p) et EIA. Il présente une réactivité avec des échantillons de Humain et Souris.
N° du produit ABIN953485
870,77 €
Plus frais de livraison 40,00 € et TVA
Envoi sous 17 jours ouvrables
Aperçu rapide pour MORN5 anticorps (C-Term) (ABIN953485)
Antigène
Voir toutes MORN5 Anticorps
MORN5
(MORN Repeat Containing 5 (MORN5))
Reactivité
Humain, Souris
Hôte
Toutes les hôtes sur MORN5 Anticorps
Lapin
Clonalité
Toutes les clonalités sur MORN5 Anticorps
Polyclonal
Conjugué
Tous les conjugués à travers MORN5 Anticorps
Cet anticorp MORN5 est non-conjugé
Application
Tous les applications à travers MORN5 Anticorps.
Western Blotting (WB), Immunohistochemistry (Paraffin-embedded Sections) (IHC (p)), Enzyme Immunoassay (EIA)
Détail du produit anti-MORN5 anticorps
(cache)
Épitope
Tous les épitopes à travers MORN5 Anticorps.
AA 92-123, C-Term
Specificité
This antibody recognizes MORN5 at C-term.
Réactivité croisée (Details)
Species reactivity (tested):Human, Mouse
Purification
Purified through a Protein A column followed by peptide affinity purification
Immunogène
Synthetic peptide - KLH conjugated - corresponding to the C-terminal region (between 92-123aa) of human MORN5
Isotype
Ig Fraction
Alternatives
(show)
Information d'application
(cache)
Indications d'application
Optimal working dilution should be determined by the investigator.
Restrictions
For Research Use only
Stockage
(cache)
Format
Liquid
Concentration
0.25 mg/mL
Buffer
PBS with 0.09 % (W/V) Sodium azide
Agent conservateur
Sodium azide
Précaution d'utilisation
This product contains sodium azide: a POISONOUS AND HAZARDOUS SUBSTANCE which should be handled by trained staff only.
Conseil sur la manipulation
Avoid repeated freezing and thawing.
Stock
4 °C/-20 °C
Stockage commentaire
Store undiluted at 2-8 °C for one month or (in aliquots) at -20 °C for longer.
Détails sur MORN5
(cache)
Antigène
MORN5
(MORN Repeat Containing 5 (MORN5))
Autre désignation
MORN5
Sujet
Synonyms: C9orf113, C9orf18, MORN repeat-containing protein 5
ID gène
254956
NCBI Accession
NP_940871
Vus récemment
(cache)
Chat with us , powered by LiveChat