×
Pour une meilleure utilisation, nous vous conseillons d’activer Javascript dans votre navigateur.
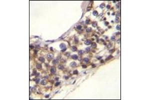
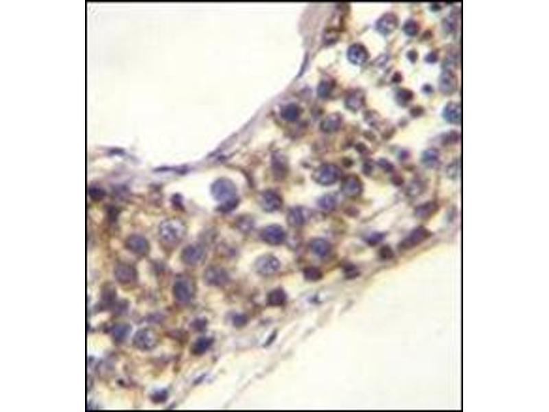
PNLDC1 anticorps (C-Term)
L’anticorps anti-PNLDC1 Polyclonal Lapin est utilisé pour la détection de PNLDC1 dans des échantillons de Humain. Il a été validé pour WB, FACS, IHC (p) et EIA.
N° du produit ABIN954224
870,77 €
Plus frais de livraison 40,00 € et TVA
Envoi sous 17 jours ouvrables
Aperçu rapide pour PNLDC1 anticorps (C-Term) (ABIN954224)
Antigène
PNLDC1
(Poly(A)-Specific Ribonuclease (PARN)-Like Domain Containing 1 (PNLDC1))
Reactivité
Toutes les réactivités sur PNLDC1 Anticorps
Humain
Hôte
Toutes les hôtes sur PNLDC1 Anticorps
Lapin
Clonalité
Toutes les clonalités sur PNLDC1 Anticorps
Polyclonal
Conjugué
Tous les conjugués à travers PNLDC1 Anticorps
Cet anticorp PNLDC1 est non-conjugé
Application
Tous les applications à travers PNLDC1 Anticorps.
Western Blotting (WB), Flow Cytometry (FACS), Immunohistochemistry (Paraffin-embedded Sections) (IHC (p)), Enzyme Immunoassay (EIA)
Détail du produit anti-PNLDC1 anticorps
(cache)
Épitope
Tous les épitopes à travers PNLDC1 Anticorps.
AA 456-486, C-Term
Specificité
This antibody recognizes Human PNLDC1 (C-term).
Purification
Affinity Chromatography on Protein A
Immunogène
KLH conjugated synthetic peptide between 456-486 amino acids from the C-terminal region of Human PNLDC1 Genename: PNLDC1
Isotype
Ig Fraction
Alternatives
(show)
Information d'application
(cache)
Indications d'application
Optimal working dilution should be determined by the investigator.
Restrictions
For Research Use only
Stockage
(cache)
Format
Liquid
Concentration
0.25 mg/mL
Buffer
PBS, 0.09 % Sodium Azide
Agent conservateur
Sodium azide
Précaution d'utilisation
This product contains sodium azide: a POISONOUS AND HAZARDOUS SUBSTANCE which should be handled by trained staff only.
Conseil sur la manipulation
Avoid repeated freezing and thawing.
Stock
4 °C/-20 °C
Stockage commentaire
Store undiluted at 2-8 °C for one month or (in aliquots) at -20 °C for longer.
Détails sur PNLDC1
(cache)
Antigène
PNLDC1
(Poly(A)-Specific Ribonuclease (PARN)-Like Domain Containing 1 (PNLDC1))
Autre désignation
PNLDC1
Sujet
Synonyms: Poly(A)-specific ribonuclease PARN-like domain-containing protein 1
Poids moléculaire
60124 Da
ID gène
154197
NCBI Accession
NP_775787
Vus récemment
(cache)
Chat with us , powered by LiveChat