Tel:
+49 (0)241 95 163 153
Fax:
+49 (0)241 95 163 155
E-Mail:
orders@anticorps-enligne.fr

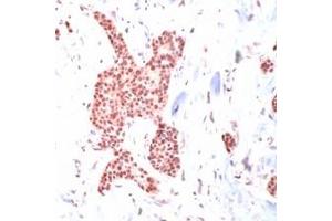
HSP70 1A anticorps (AA 574-591)

Cet anticorps anti-HSP70 1A Polyclonal Lapin (ABIN956919) détecte spécifiquement HSP70 1A dans IHC et IHC (p). L’anticorps est réactif avec des échantillons de Humain, Souris et Rat.
N° du produit ABIN956919
1.004,24 €
Plus frais de livraison 40,00 € et TVA
250 μL
Destination: France
Envoi sous 15 à 20 jours ouvrables

Aperçu rapide pour HSP70 1A anticorps (AA 574-591) (ABIN956919)

Antigène

Voir toutes HSP70 1A (HSPA1A) Anticorps
HSP70 1A (HSPA1A) (Heat Shock 70kDa Protein 1A (HSPA1A))

Reactivité

  • 120
  • 49
  • 43
  • 21
  • 15
  • 11
  • 10
  • 9
  • 7
  • 7
  • 6
  • 6
  • 5
  • 4
  • 4
  • 4
  • 3
  • 3
  • 3
  • 1
  • 1
  • 1
  • 1
  • 1
  • 1
Humain, Souris, Rat

Hôte

  • 100
  • 38
  • 1
Lapin

Clonalité

  • 85
  • 54
Polyclonal

Conjugué

  • 87
  • 13
  • 11
  • 4
  • 4
  • 3
  • 2
  • 2
  • 2
  • 2
  • 2
  • 2
  • 1
  • 1
  • 1
  • 1
  • 1
Cet anticorp HSP70 1A est non-conjugé

Application

  • 121
  • 58
  • 46
  • 33
  • 28
  • 23
  • 14
  • 10
  • 8
  • 5
  • 2
  • 1
  • 1
  • 1
Immunohistochemistry (IHC), Immunohistochemistry (Paraffin-embedded Sections) (IHC (p))
Vous êtes ici:
Chat with us!