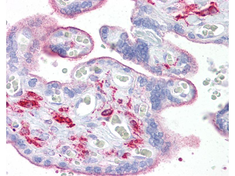
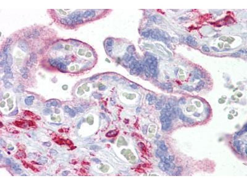
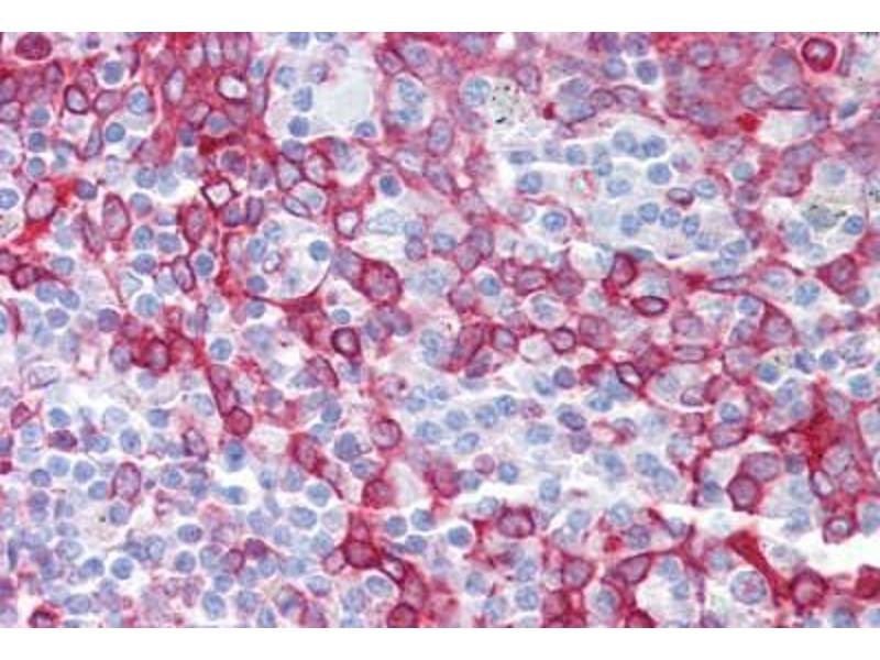
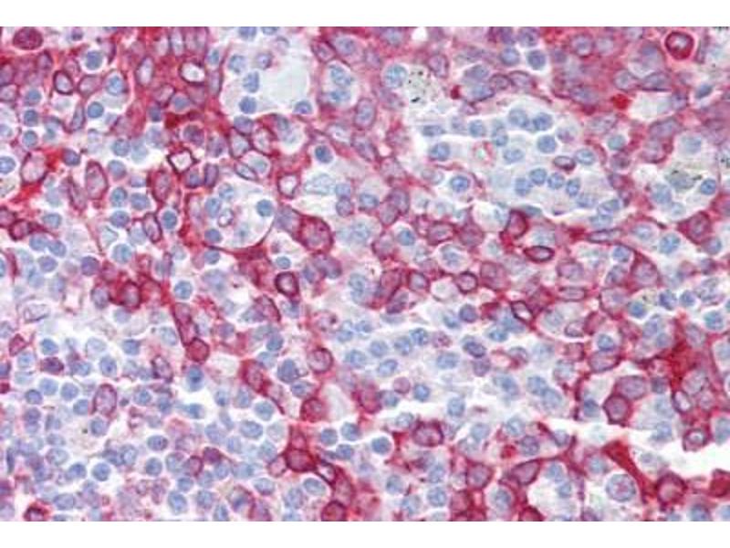
OGFOD1 anticorps (C-Term)
Aperçu rapide pour OGFOD1 anticorps (C-Term) (ABIN959670)
Antigène
Reactivité
Hôte
Clonalité
Conjugué
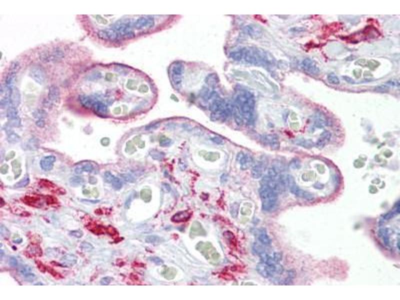
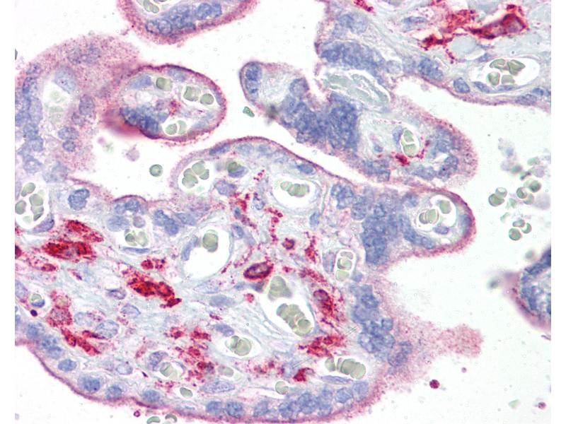
Application
-
-
Épitope
- C-Term
-
Specificité
- OGFOD1 antibody is predicted to not cross-react with other TPA1 protein family members. At least two isoforms are known to exist, this antibody will only detect the larger isform.
-
Purification
- Immunoaffinity purified
-
Isotype
- IgG
-
-
-
-
Indications d'application
- Approved: IHC, IHC-P (5 μg/mL), WB (1 - 2 μg/mL)
-
Commentaires
-
Target Species of Antibody: Human
-
Restrictions
- For Research Use only
-
-
-
Format
- Liquid
-
Concentration
- Lot specific
-
Buffer
- PBS, 0.02 % sodium azide
-
Agent conservateur
- Sodium azide
-
Précaution d'utilisation
- This product contains Sodium azide: a POISONOUS AND HAZARDOUS SUBSTANCE which should be handled by trained staff only.
-
Conseil sur la manipulation
- avoid freeze thaw cycles. Store undiluted.
-
Stock
- 4 °C,-20 °C
-
Stockage commentaire
- Store at 4°C for 3 months and -20°C, stable for up to 1 year. Avoid repeated freeze-thaw cycles.
-
Date de péremption
- 12 months
-
-
- OGFOD1 (2-Oxoglutarate and Iron-Dependent Oxygenase Domain Containing 1 (OGFOD1))
-
Autre désignation
- OGFOD1
-
Sujet
-
Name/Gene ID: OGFOD1
Synonyms: OGFOD1, KIAA1612, TPA1 -
ID gène
- 55239
-
UniProt
- Q8N543
Antigène
-