Tel:
+49 (0)241 95 163 153
Fax:
+49 (0)241 95 163 155
E-Mail:
orders@anticorps-enligne.fr

ZMYM3 anticorps (C-Term)

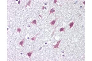
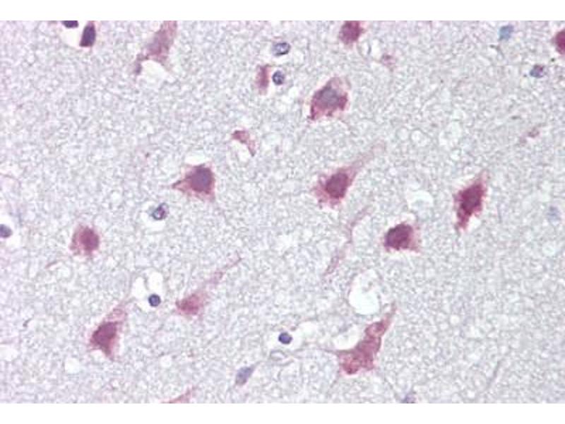
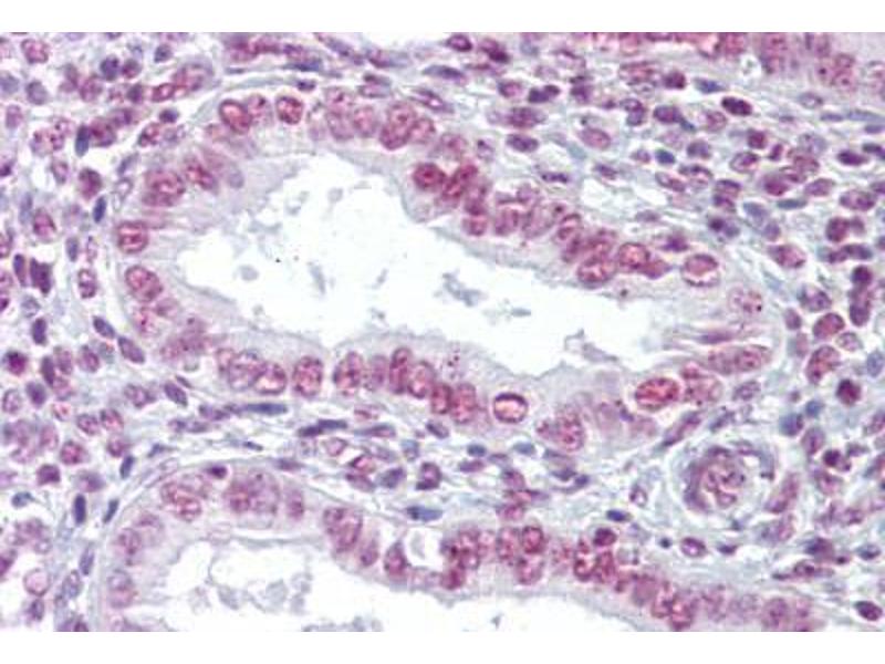
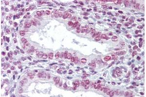
L’anticorps anti-ZMYM3 Polyclonal Lapin est utilisé pour la détection de ZMYM3 dans des échantillons de Humain et Souris. Il a été validé pour WB, IHC et IHC (p).
N° du produit ABIN959705
512,07 €
Plus frais de livraison 40,00 € et TVA
50 μg
Destination: France
Envoi sous 15 à 20 jours ouvrables

Aperçu rapide pour ZMYM3 anticorps (C-Term) (ABIN959705)

Antigène

Voir toutes ZMYM3 Anticorps
ZMYM3 (Zinc Finger Protein 261 (ZMYM3))

Reactivité

  • 20
  • 10
  • 6
  • 5
  • 5
  • 5
  • 5
  • 3
  • 3
  • 2
Humain, Souris

Hôte

  • 18
  • 2
Lapin

Clonalité

  • 18
  • 2
Polyclonal

Conjugué

  • 16
  • 2
  • 1
  • 1
Cet anticorp ZMYM3 est non-conjugé

Application

  • 13
  • 8
  • 6
  • 4
  • 1
  • 1
  • 1
  • 1
  • 1
  • 1
  • 1
Western Blotting (WB), Immunohistochemistry (IHC), Immunohistochemistry (Paraffin-embedded Sections) (IHC (p))
  • Épitope

    • 5
    • 4
    • 3
    • 2
    • 1
    • 1
    C-Term

    Specificité

    At least three isoforms of ZMYM3 are known to exist, this antibody will detect all three. ZMYM3 antibody is predicted to not cross-react with other ZMYM protein family members.

    Purification

    Immunoaffinity purified

    Isotype

    IgG
  • Indications d'application

    Approved: IHC, IHC-P (10 μg/mL), WB (1 - 2 μg/mL)

    Commentaires

    Target Species of Antibody: Human

    Restrictions

    For Research Use only
  • Format

    Liquid

    Concentration

    Lot specific

    Buffer

    PBS, 0.02 % sodium azide

    Agent conservateur

    Sodium azide

    Précaution d'utilisation

    This product contains Sodium azide: a POISONOUS AND HAZARDOUS SUBSTANCE which should be handled by trained staff only.

    Conseil sur la manipulation

    avoid freeze thaw cycles. Store undiluted.

    Stock

    4 °C,-20 °C

    Stockage commentaire

    Store at 4°C for 3 months and -20°C, stable for up to 1 year. Avoid repeated freeze-thaw cycles.

    Date de péremption

    12 months
  • Antigène

    ZMYM3 (Zinc Finger Protein 261 (ZMYM3))

    Autre désignation

    ZMYM3

    Sujet

    Name/Gene ID: ZMYM3

    Synonyms: ZMYM3, DXS6673E, KIAA0385, MYM, Zinc finger protein 261, ZNF261, Zinc finger MYM-type protein 3, Zinc finger, MYM-type 3, XFIM, ZNF198L2

    ID gène

    9203

    UniProt

    Q14202
Vous êtes ici:
Chat with us!