Tel:
+49 (0)241 95 163 153
Fax:
+49 (0)241 95 163 155
E-Mail:
orders@anticorps-enligne.fr

STEAP2 anticorps (Internal Region)

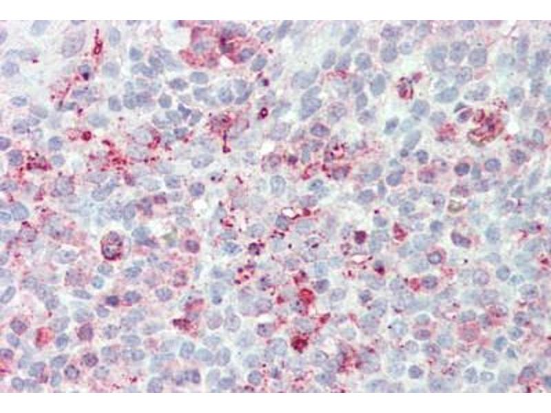
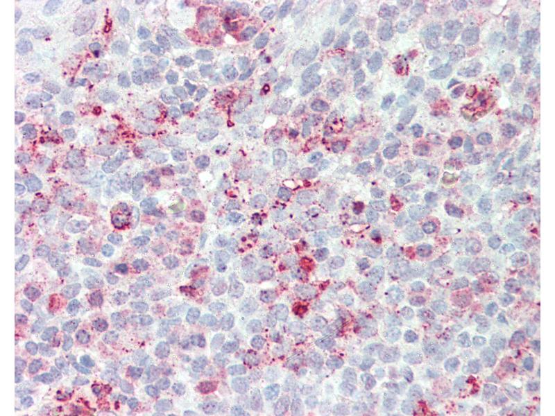
L’anticorps anti-STEAP2 Polyclonal Lapin est utilisé pour la détection de STEAP2 dans des échantillons de Humain, Souris, Rat, Chien, Cobaye, Cheval, Lapin, Roussette (Chauve-souris), Hamster et Singe. Il a été validé pour IHC et IHC (p).
N° du produit ABIN960821
610,95 €
Plus frais de livraison 40,00 € et TVA
50 μg
Destination: France
Envoi sous 15 à 20 jours ouvrables

Aperçu rapide pour STEAP2 anticorps (Internal Region) (ABIN960821)

Antigène

Voir toutes STEAP2 Anticorps
STEAP2 (STEAP Family Member 2, Metalloreductase (STEAP2))

Reactivité

  • 31
  • 17
  • 5
  • 3
  • 2
  • 2
  • 2
  • 2
  • 1
  • 1
  • 1
Humain, Souris, Rat, Chien, Cobaye, Cheval, Lapin, Roussette (Chauve-souris), Hamster, Singe

Hôte

  • 26
  • 5
Lapin

Clonalité

  • 26
  • 5
Polyclonal

Conjugué

  • 15
  • 2
  • 2
  • 2
  • 2
  • 1
  • 1
  • 1
  • 1
  • 1
  • 1
  • 1
  • 1
Cet anticorp STEAP2 est non-conjugé

Application

  • 15
  • 12
  • 11
  • 6
  • 5
  • 4
  • 2
Immunohistochemistry (IHC), Immunohistochemistry (Paraffin-embedded Sections) (IHC (p))
  • Épitope

    • 7
    • 4
    • 1
    • 1
    • 1
    • 1
    • 1
    • 1
    • 1
    Internal Region

    Specificité

    Human STEAP2. BLAST analysis of the peptide immunogen showed no homology with other human proteins.

    Homologie

    Percent identity with other species by BLAST analysis: Human, Chimpanzee, Gorilla, Orangutan, Gibbon, Baboon, Monkey, Galago, Marmoset, Mouse, Rat, Hamster, Elephant, Panda, Bat, Dog, Rabbit, Horse, Opossum, Guinea pig, Armadillo, Platypus (100%) Bovine, Pig, Turkey, Chicken, Zebrafish (93%) Shrew, Zebra finch, Xenopus (87%).

    Purification

    Immunoaffinity purified

    Immunogène

    Synthetic 15 amino acid peptide from internal region of human STEAP2. Percent identity with other species by BLAST analysis: Human, Chimpanzee, Gorilla, Orangutan, Gibbon, Baboon, Monkey, Galago, Marmoset, Mouse, Rat, Hamster, Elephant, Panda, Bat, Dog, Rabbit, Horse, Opossum, Guinea pig, Armadillo, Platypus (100%), Bovine, Pig, Turkey, Chicken, Zebrafish (93%), Shrew, Zebra finch, Xenopus (87%).

    Type of Immunogen: Synthetic peptide
  • Indications d'application

    Approved: IHC, IHC-P (10 μg/mL)

    Usage: Immunohistochemistry: This antibody was validated for use in immunohistochemistry on a panel of 21 formalin-fixed, paraffin-embedded (FFPE) human tissues after heat induced antigen retrieval in  pH 6.0 citrate buffer. After incubation with the primary antibody, slides were incubated with biotinylated secondary antibody, followed by alkaline phosphatase-streptavidin and chromogen. The stained slides were evaluated by a pathologist to confirm staining specificity. The optimal working concentration for this antibody was determined to be 10 μg/mL.

    Commentaires

    Target Species of Antibody: Human

    Restrictions

    For Research Use only
  • Format

    Liquid

    Concentration

    Lot specific

    Buffer

    PBS, less than 0.1 % sodium azide.

    Agent conservateur

    Sodium azide

    Précaution d'utilisation

    This product contains Sodium azide: a POISONOUS AND HAZARDOUS SUBSTANCE which should be handled by trained staff only.

    Stock

    4 °C,-20 °C

    Stockage commentaire

    Aliquot and store undiluted at -20°C or below for up to 1 year. Can be stored undiluted at 4°C for up to 1 month. Avoid freeze-thaw cycles.

    Date de péremption

    12 months
  • Antigène

    STEAP2 (STEAP Family Member 2, Metalloreductase (STEAP2))

    Autre désignation

    STEAP2

    Sujet

    Name/Gene ID: STEAP2

    Synonyms: STEAP2, IPCA-1, PCANAP1, IPCA1, PUMPCn, STAMP1, STMP, Metalloreductase STEAP2

    ID gène

    261729

    Pathways

    Transition Metal Ion Homeostasis
Vous êtes ici:
Chat with us!