Tel:
+49 (0)241 95 163 153
Fax:
+49 (0)241 95 163 155
E-Mail:
orders@anticorps-enligne.fr

Smooth Muscle Actin anticorps

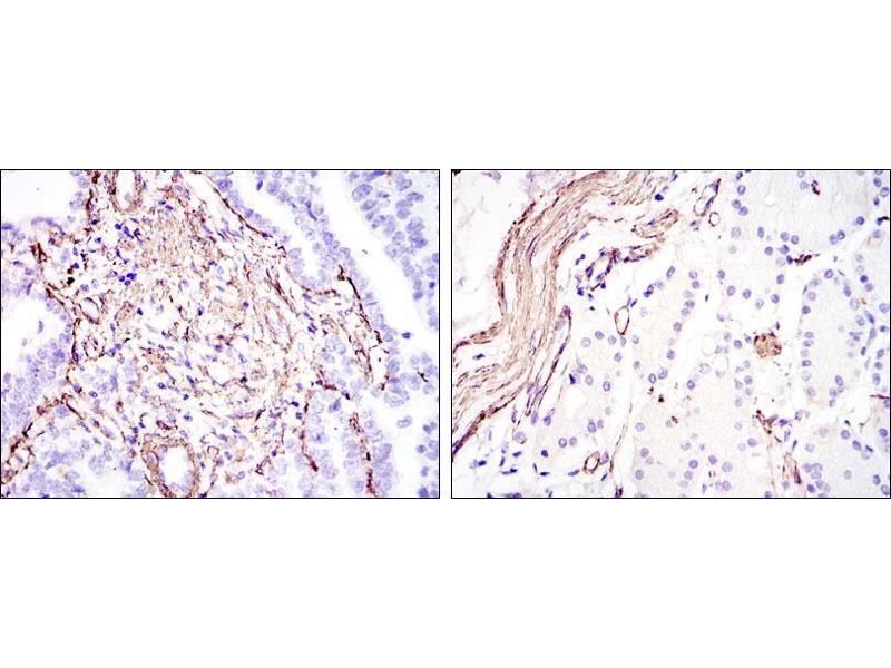
Cité dans 2 publications. Cet anticorps anti-Smooth Muscle Actin Monoclonal Souris (Clone 4F4) (ABIN968946) détecte spécifiquement Smooth Muscle Actin dans WB, IHC et ELISA. L’anticorps est réactif avec des échantillons de Humain et Singe.
N° du produit ABIN968946
657,84 €
Plus frais de livraison 40,00 € et TVA
100 μL
Destination: France
Envoi sous 7 à 10 jours ouvrables

Aperçu rapide pour Smooth Muscle Actin anticorps (ABIN968946)

Antigène

Voir toutes Smooth Muscle Actin (ACTA2) Anticorps
Smooth Muscle Actin (ACTA2) (Actin, alpha 2, Smooth Muscle, Aorta (ACTA2))

Reactivité

  • 173
  • 122
  • 119
  • 33
  • 30
  • 25
  • 25
  • 17
  • 16
  • 16
  • 15
  • 15
  • 14
  • 14
  • 9
  • 7
  • 3
  • 1
Humain, Singe

Hôte

  • 93
  • 82
  • 1
  • 1
Souris

Clonalité

  • 130
  • 47
Monoclonal

Conjugué

  • 88
  • 10
  • 6
  • 6
  • 6
  • 6
  • 6
  • 6
  • 4
  • 3
  • 3
  • 3
  • 2
  • 2
  • 2
  • 2
  • 2
  • 2
  • 2
  • 2
  • 1
  • 1
  • 1
  • 1
  • 1
  • 1
  • 1
  • 1
  • 1
  • 1
  • 1
  • 1
  • 1
  • 1
Cet anticorp Smooth Muscle Actin est non-conjugé

Application

  • 112
  • 83
  • 81
  • 66
  • 40
  • 30
  • 25
  • 23
  • 18
  • 17
  • 6
  • 3
  • 2
  • 2
  • 2
  • 1
  • 1
  • 1
Western Blotting (WB), Immunohistochemistry (IHC), ELISA

Clone

4F4
  • Fonction

    ACTA2 Antibody

    Purification

    Ascitic fluid

    Immunogène

    Purified recombinant fragment of human ACTA2 expressed in E. Coli.

    Isotype

    IgG1
  • Indications d'application

    ELISA: 1/10000

    Restrictions

    For Research Use only
  • Format

    Liquid

    Buffer

    Ascitic fluid containing 0.03 % sodium azide.

    Agent conservateur

    Sodium azide

    Précaution d'utilisation

    This product contains Sodium azide: a POISONOUS AND HAZARDOUS SUBSTANCE which should be handled by trained staff only.

    Stock

    4 °C,-20 °C

    Stockage commentaire

    Store at 4°C short term. Aliquot and store at -20°C long term. Avoid freeze/thaw cycles.
  • Guo, Pannu, Tran-Fadulu, Papke, Yu, Avidan, Bourgeois, Estrera, Safi, Sparks, Amor, Ades, McConnell, Willoughby, Abuelo, Willing, Lewis, Kim, Scherer, Tung, Ahn, Buja, Raman, Shete, Milewicz: "Mutations in smooth muscle alpha-actin (ACTA2) lead to thoracic aortic aneurysms and dissections." dans: Nature genetics, Vol. 39, Issue 12, pp. 1488-93, (2007) (PubMed).

    Salas, Bartoli, Deville, Gaudart, Fina, Calisti, Bollini, Curvale, Gentet, Duffaud, Figarella-Branger, Bouvier: "Ezrin and alpha-smooth muscle actin are immunohistochemical prognostic markers in conventional osteosarcomas." dans: Virchows Archiv : an international journal of pathology, Vol. 451, Issue 6, pp. 999-1007, (2007) (PubMed).

  • Antigène

    Smooth Muscle Actin (ACTA2) (Actin, alpha 2, Smooth Muscle, Aorta (ACTA2))

    Autre désignation

    ACTA2

    Sujet

    Actin, alpha 2, smooth muscle, aorta, major constituent of thin filaments.

    Poids moléculaire

    42 kDa

    ID gène

    59

    UniProt

    P62736

    Pathways

    Myometrial Relaxation and Contraction, Skeletal Muscle Fiber Development
Vous êtes ici:
Chat with us!