Tel:
+49 (0)241 95 163 153
Fax:
+49 (0)241 95 163 155
E-Mail:
orders@anticorps-enligne.fr

CD276 anticorps

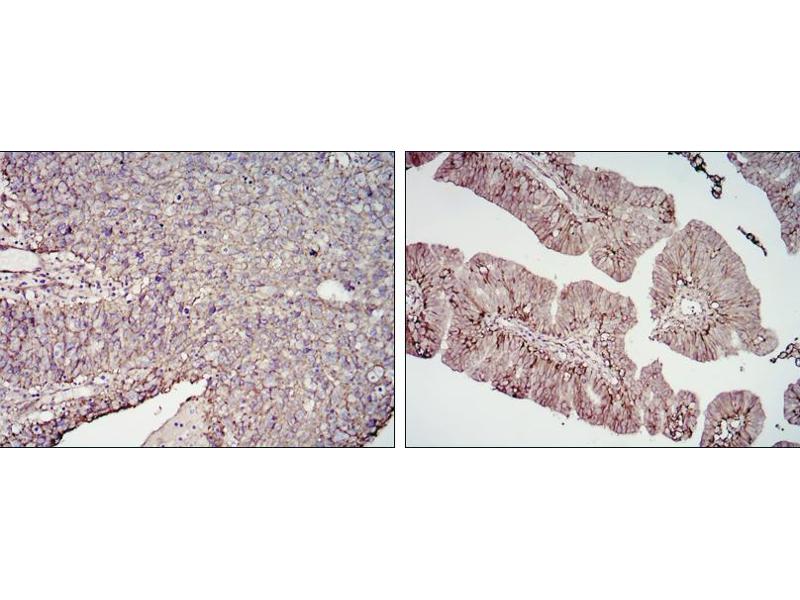
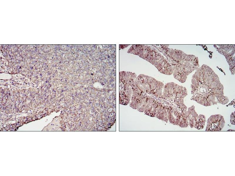
Cité dans 2 publications. Cet anticorps anti-CD276 Monoclonal Souris (Clone 6A1) (ABIN969018) détecte spécifiquement CD276 dans ELISA, FACS et IHC. L’anticorps est réactif avec des échantillons de Humain.
N° du produit ABIN969018
455,40 €
Plus frais de livraison 40,00 € et TVA
100 μL
Destination: France
Envoi sous 7 à 10 jours ouvrables

Aperçu rapide pour CD276 anticorps (ABIN969018)

Antigène

Voir toutes CD276 Anticorps
CD276

Reactivité

  • 109
  • 53
  • 15
  • 5
  • 5
  • 3
  • 2
  • 2
  • 1
Humain

Hôte

  • 64
  • 31
  • 21
  • 9
  • 1
  • 1
Souris

Clonalité

  • 81
  • 45
  • 1
Monoclonal

Conjugué

  • 66
  • 10
  • 7
  • 5
  • 5
  • 4
  • 2
  • 2
  • 2
  • 2
  • 2
  • 2
  • 2
  • 1
  • 1
  • 1
  • 1
  • 1
  • 1
  • 1
  • 1
  • 1
  • 1
  • 1
  • 1
  • 1
  • 1
  • 1
  • 1
Cet anticorp CD276 est non-conjugé

Application

  • 66
  • 32
  • 27
  • 26
  • 19
  • 14
  • 13
  • 11
  • 8
  • 8
  • 4
  • 2
  • 2
  • 1
  • 1
  • 1
ELISA, Flow Cytometry (FACS), Immunohistochemistry (IHC)

Clone

6A1
  • Fonction

    CD276 Antibody

    Purification

    Ascitic fluid

    Immunogène

    Purified recombinant fragment of human CD276 expressed in E. Coli.

    Isotype

    IgG1
  • Indications d'application

    ELISA: 1/10000

    FCM: 1/200 - 1/400

    Restrictions

    For Research Use only
  • Format

    Liquid

    Buffer

    Ascitic fluid containing 0.03 % sodium azide.

    Agent conservateur

    Sodium azide

    Précaution d'utilisation

    This product contains Sodium azide: a POISONOUS AND HAZARDOUS SUBSTANCE which should be handled by trained staff only.

    Stock

    4 °C,-20 °C

    Stockage commentaire

    Store at 4°C short term. Aliquot and store at -20°C long term. Avoid freeze/thaw cycles.
  • Zhang, Dong, Xu, Yu, Zhang: "B7-H3: another molecule marker for Mo-DCs?" dans: Cellular & molecular immunology, Vol. 2, Issue 4, pp. 307-11, (2005) (PubMed).

    Gerhard, Wagner, Feingold, Shenmen, Grouse, Schuler, Klein, Old, Rasooly, Good, Guyer, Peck, Derge, Lipman, Collins, Jang, Sherry, Feolo, Misquitta, Lee, Rotmistrovsky, Greenhut, Schaefer, Buetow et al.: "The status, quality, and expansion of the NIH full-length cDNA project: the Mammalian Gene Collection (MGC). ..." dans: Genome research, Vol. 14, Issue 10B, pp. 2121-7, (2004) (PubMed).

  • Antigène

    CD276

    Autre désignation

    CD276

    Sujet

    Costimulatory B7 Molecules (e.g., B7-1, or CD80, MIM 112203) signal through CD28 (MIM 186760) family molecules such as CD28, CTLA4 (MIM 123890), and ICOS (MIM 604558). May participate in the regulation of T-cell-mediated immune response. May play a protective role in tumor cells by inhibiting natural-killer mediated cell lysis as well as a role of marker for detection of neuroblastoma cells. May be involved in the development of acute and chronic transplant rejection and in the regulation of lymphocytic activity at mucosal surfaces. Could also play a key role in providing the placenta and fetus with a suitable immunological environment throughout pregnancy. Both isoform 1 and isoform 2 appear to be redundant in their ability to modulate CD4 T-cell responses. Isoform 2 is shown to enhance the induction of cytotoxic T-cells and selectively stimulates interferon gamma production in the presence of T-cell receptor signaling.

    Poids moléculaire

    57 kDa

    UniProt

    Q5ZPR3

    Pathways

    Cancer Immune Checkpoints
Vous êtes ici:
Chat with us!