Tel:
+49 (0)241 95 163 153
Fax:
+49 (0)241 95 163 155
E-Mail:
orders@anticorps-enligne.fr

HSPD1 anticorps

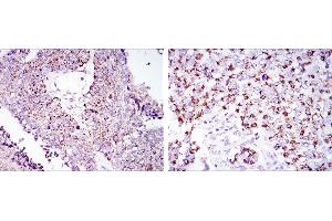
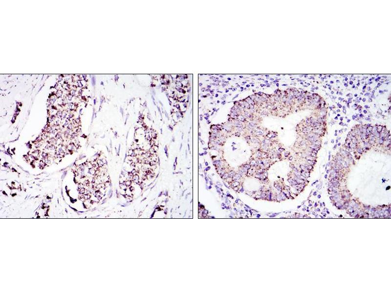
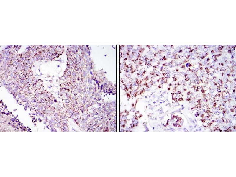
Il existe 2+ publications pour ce produit. L’anticorps anti-HSPD1 Monoclonal Souris est utilisé pour la détection de HSPD1 dans des échantillons de Humain, Souris, Rat et Singe. Il a été validé pour WB, IHC, FACS, ELISA et ICC.
N° du produit ABIN969200
657,84 €
Plus frais de livraison 40,00 € et TVA
100 μL
Destination: France
Envoi sous 7 à 10 jours ouvrables

Aperçu rapide pour HSPD1 anticorps (ABIN969200)

Antigène

Voir toutes HSPD1 Anticorps
HSPD1 (Heat Shock 60kDa Protein 1 (Chaperonin) (HSPD1))

Reactivité

  • 267
  • 166
  • 160
  • 96
  • 93
  • 91
  • 86
  • 83
  • 83
  • 82
  • 61
  • 47
  • 46
  • 36
  • 26
  • 24
  • 22
  • 17
  • 16
  • 13
  • 12
  • 10
  • 10
  • 10
  • 10
  • 9
  • 4
  • 4
  • 4
  • 4
  • 4
  • 4
  • 3
  • 3
  • 2
  • 2
  • 2
  • 1
  • 1
  • 1
  • 1
  • 1
  • 1
  • 1
Humain, Souris, Rat, Singe

Hôte

  • 151
  • 144
  • 2
Souris

Clonalité

  • 185
  • 110
Monoclonal

Conjugué

  • 134
  • 23
  • 10
  • 7
  • 7
  • 7
  • 7
  • 7
  • 7
  • 7
  • 7
  • 7
  • 7
  • 7
  • 6
  • 6
  • 6
  • 4
  • 4
  • 4
  • 4
  • 4
  • 4
  • 4
  • 3
  • 2
  • 2
Cet anticorp HSPD1 est non-conjugé

Application

  • 252
  • 171
  • 115
  • 106
  • 68
  • 65
  • 43
  • 36
  • 24
  • 24
  • 20
  • 11
  • 4
  • 4
  • 3
  • 3
  • 2
  • 2
  • 1
  • 1
  • 1
  • 1
  • 1
Western Blotting (WB), Immunohistochemistry (IHC), Flow Cytometry (FACS), ELISA, Immunocytochemistry (ICC)

Clone

3G8
  • Fonction

    HSP60 Antibody

    Purification

    Ascitic fluid

    Immunogène

    Purified recombinant fragment of human HSP60 expressed in E. Coli.

    Isotype

    IgG1
  • Indications d'application

    ELISA: 1/10000

    FCM: 1/200 - 1/400

    ICC: 1/200 - 1/1000

    Restrictions

    For Research Use only
  • Format

    Liquid

    Buffer

    Ascitic fluid containing 0.03 % sodium azide.

    Agent conservateur

    Sodium azide

    Précaution d'utilisation

    This product contains Sodium azide: a POISONOUS AND HAZARDOUS SUBSTANCE which should be handled by trained staff only.

    Stock

    4 °C,-20 °C

    Stockage commentaire

    Store at 4°C short term. Aliquot and store at -20°C long term. Avoid freeze/thaw cycles.
  • López-Hoyos, Alvarez, Ruiz Soto, Blanco, José Bartolomé, Martínez-Taboada: "Serum levels of antibodies to Chlamydia pneumoniae and human HSP60 in giant cell arteritis patients." dans: Clinical and experimental rheumatology, Vol. 26, Issue 6, pp. 1107-10, (2009) (PubMed).

    Glaessgen, Jonmarker, Lindberg, Nilsson, Lewensohn, Ekman, Valdman, Egevad: "Heat shock proteins 27, 60 and 70 as prognostic markers of prostate cancer." dans: APMIS : acta pathologica, microbiologica, et immunologica Scandinavica, Vol. 116, Issue 10, pp. 888-95, (2009) (PubMed).

  • Antigène

    HSPD1 (Heat Shock 60kDa Protein 1 (Chaperonin) (HSPD1))

    Autre désignation

    HSP60

    Sujet

    This gene encodes a member of the chaperonin family. The encoded mitochondrial protein may function as a signaling molecule in the innate immune system. This protein is essential for the folding and assembly of newly imported proteins in the mitochondria. This gene is adjacent to a related family member and the region between the 2 genes functions as a bidirectional promoter. Several pseudogenes have been associated with this gene. Two transcript variants encoding the same protein have been identified for this gene. Mutations associated with this gene cause autosomal recessive spastic paraplegia 13. (provided by RefSeq)

    Poids moléculaire

    61 kDa

    ID gène

    3329

    UniProt

    P10809

    Pathways

    Activation of Innate immune Response, Regulation of Leukocyte Mediated Immunity, Positive Regulation of Immune Effector Process, Production of Molecular Mediator of Immune Response, Positive Regulation of Endopeptidase Activity
Vous êtes ici:
Chat with us!