Tel:
+49 (0)241 95 163 153
Fax:
+49 (0)241 95 163 155
E-Mail:
orders@anticorps-enligne.fr

KLHL11 anticorps

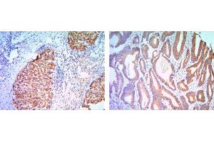
Cet anticorps anti-KLHL11 Monoclonal Souris (Clone 1B9C1) (ABIN969243) détecte spécifiquement KLHL11 dans ELISA, IHC et ICC. L’anticorps est réactif avec des échantillons de Humain.
N° du produit ABIN969243
602,28 €
Plus frais de livraison 40,00 € et TVA
100 μL
Destination: France
Envoi sous 7 à 10 jours ouvrables

Aperçu rapide pour KLHL11 anticorps (ABIN969243)

Antigène

KLHL11 (Kelch-Like 11 (KLHL11))

Reactivité

Humain

Hôte

  • 10
  • 1
Souris

Clonalité

  • 9
  • 2
Monoclonal

Conjugué

  • 4
  • 1
  • 1
  • 1
  • 1
  • 1
  • 1
  • 1
Cet anticorp KLHL11 est non-conjugé

Application

  • 4
  • 2
  • 2
  • 1
  • 1
ELISA, Immunohistochemistry (IHC), Immunocytochemistry (ICC)

Clone

1B9C1
  • Fonction

    KLHL11 Antibody

    Purification

    Ascitic fluid

    Immunogène

    Purified recombinant fragment of human KLHL11 expressed in E. Coli.

    Isotype

    IgG1
  • Indications d'application

    ELISA: 1/10000

    ICC: 1/200 - 1/1000

    Restrictions

    For Research Use only
  • Format

    Liquid

    Buffer

    Ascitic fluid containing 0.03 % sodium azide.

    Agent conservateur

    Sodium azide

    Précaution d'utilisation

    This product contains Sodium azide: a POISONOUS AND HAZARDOUS SUBSTANCE which should be handled by trained staff only.

    Stock

    4 °C,-20 °C

    Stockage commentaire

    Store at 4°C short term. Aliquot and store at -20°C long term. Avoid freeze/thaw cycles.
  • Antigène

    KLHL11 (Kelch-Like 11 (KLHL11))

    Autre désignation

    KLHL11

    Sujet

    Kelch-like protein 11, Subcellular location Secreted.

    Poids moléculaire

    80 kDa

    ID gène

    55175

    UniProt

    Q9NVR0
Vous êtes ici:
Chat with us!