Tel:
+49 (0)241 95 163 153
Fax:
+49 (0)241 95 163 155
E-Mail:
orders@anticorps-enligne.fr

TNNI2 anticorps

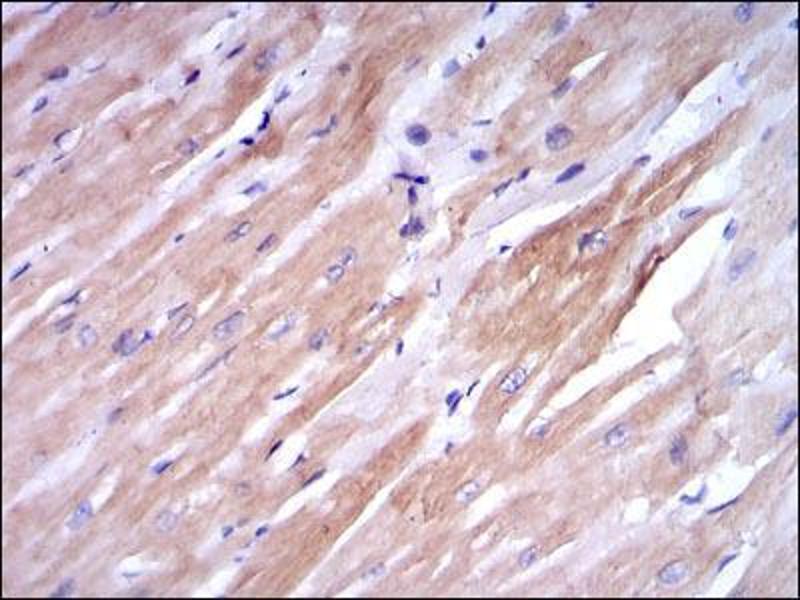
Cité dans 2 publications. Cet anticorps anti-TNNI2 Monoclonal Souris (Clone 2F12A11) (ABIN969441) détecte spécifiquement TNNI2 dans IHC, ELISA et FACS. L’anticorps est réactif avec des échantillons de Humain.
N° du produit ABIN969441
498,33 €
Plus frais de livraison 40,00 € et TVA
100 μL
Destination: France
Envoi sous 7 à 10 jours ouvrables

Aperçu rapide pour TNNI2 anticorps (ABIN969441)

Antigène

Voir toutes TNNI2 Anticorps
TNNI2 (Fast Skeletal Troponin I (TNNI2))

Reactivité

  • 52
  • 37
  • 28
  • 3
  • 2
  • 2
  • 2
  • 1
  • 1
  • 1
  • 1
Humain

Hôte

  • 46
  • 16
  • 2
Souris

Clonalité

  • 35
  • 29
Monoclonal

Conjugué

  • 40
  • 6
  • 2
  • 2
  • 2
  • 2
  • 2
  • 2
  • 1
  • 1
  • 1
  • 1
  • 1
  • 1
Cet anticorp TNNI2 est non-conjugé

Application

  • 54
  • 24
  • 22
  • 17
  • 10
  • 6
  • 2
  • 2
  • 2
  • 2
  • 1
Immunohistochemistry (IHC), ELISA, Flow Cytometry (FACS)

Clone

2F12A11
  • Fonction

    TNNI2 Antibody

    Purification

    Ascitic fluid

    Immunogène

    Purified recombinant fragment of human TNNI2 expressed in E. Coli.

    Isotype

    IgG1
  • Indications d'application

    ELISA: 1/10000

    FCM: 1/200 - 1/400

    Restrictions

    For Research Use only
  • Format

    Liquid

    Buffer

    Ascitic fluid containing 0.03 % sodium azide.

    Agent conservateur

    Sodium azide

    Précaution d'utilisation

    This product contains Sodium azide: a POISONOUS AND HAZARDOUS SUBSTANCE which should be handled by trained staff only.

    Stock

    4 °C,-20 °C

    Stockage commentaire

    Store at 4°C short term. Aliquot and store at -20°C long term. Avoid freeze/thaw cycles.
  • Talmud, Drenos, Shah, Shah, Palmen, Verzilli, Gaunt, Pallas, Lovering, Li, Casas, Sofat, Kumari, Rodriguez, Johnson, Newhouse, Dominiczak, Samani, Caulfield, Sever, Stanton, Shields, Padmanabhan et al.: "Gene-centric association signals for lipids and apolipoproteins identified via the HumanCVD BeadChip. ..." dans: American journal of human genetics, Vol. 85, Issue 5, pp. 628-42, (2009) (PubMed).

    Moran, Garriock, Miller, Heimark, Gregorio, Krieg: "Expression of the fast twitch troponin complex, fTnT, fTnI and fTnC, in vascular smooth muscle." dans: Cell motility and the cytoskeleton, Vol. 65, Issue 8, pp. 652-61, (2008) (PubMed).

  • Antigène

    TNNI2 (Fast Skeletal Troponin I (TNNI2))

    Autre désignation

    TNNI2

    Sujet

    This gene encodes a fast-twitch skeletal muscle protein, a member of the troponin I gene family, and a component of the troponin complex including troponin T, troponin C and troponin I subunits. The troponin complex, along with tropomyosin, is responsible for the calcium-dependent regulation of striated muscle contraction. Mouse studies show that this component is also present in vascular smooth muscle and may play a role in regulation of smooth muscle function. In addition to muscle tissues, this protein is found in corneal epithelium, cartilage where it is an inhibitor of angiogenesis to inhibit tumor growth and metastasis, and mammary gland where it functions as a co-activator of estrogen receptor-related receptor alpha. This protein also suppresses tumor growth in human ovarian carcinoma. Mutations in this gene cause myopathy and distal arthrogryposis type 2B. Alternatively spliced transcript variants have been found for this gene.

    Poids moléculaire

    21 kDa

    ID gène

    7136

    UniProt

    P48788
Vous êtes ici:
Chat with us!