Tel:
+49 (0)241 95 163 153
Fax:
+49 (0)241 95 163 155
E-Mail:
orders@anticorps-enligne.fr

ENO2/NSE Anticorps

(Enolase 2 (Gamma, Neuronal) (ENO2))

Choisissez l’un des 237 anticorps ENO2/NSE de notre liste de produits basés sur 4 publications et 159 images de validation.

Découvrez des anticorps ENO2/NSE fiables issus d’une large sélection de fabricants renommés. Notre portefeuille permet une détection précise de ENO2/NSE dans plusieurs espèces, y compris Human, Mouse, Rat, Guinea Pig, Cow, Dog, Horse, Rabbit, Goat, Monkey, Pig, Zebrafish (Danio rerio), Bat, Chicken, Hamster, Sheep, Xenopus laevis, et prend en charge diverses applications de recherche telles que WB, IHC, ELISA, IF, ICC.

Trouvez rapidement l’anticorps adapté grâce à nos outils de recherche, de filtrage et de comparaison. Chaque page produit fournit des données de validation détaillées, des références bibliographiques et des retours d’utilisateurs. Contrairement aux ressources dédiées uniquement à la comparaison, vous pouvez acheter directement les anticorps sur notre site. Choisissez parmi des anticorps polyclonaux, monoclonaux ou recombinants ENO2/NSE, issus de différents hôtes tels que Rabbit, Mouse, Chicken. Parcourez nos produits ci-dessous et commandez directement pour soutenir vos recherches en toute confiance.

Les noms alternatifs de ENO2/NSE sont ENO2, Eno2, eno2.

237 Résultats

ENO2 Reactivité: Humain, Souris, Rat WB, IHC, ELISA, IF, ICC Hôte: Lapin Polyclonal unconjugated
N° du produit ABIN6263743
525,71 €
Plus frais de livraison 40,00 € et TVA
100 μL (Autres quantités disponibles)
Destination: France
Envoi sous 9 à 11 jours ouvrables
 
ENO2 Reactivité: Humain, Souris, Rat IF, FACS, IHC (p) Hôte: Souris Monoclonal ENO2-1462 unconjugated
N° du produit ABIN5646903
642,40 €
Plus frais de livraison 40,00 € et TVA
100 μg
Destination: France
Envoi sous 6 à 9 jours ouvrables
 
ENO2 Reactivité: Humain, Souris, Rat WB, IHC (p), IF (p) Hôte: Souris Monoclonal 15E3 unconjugated
N° du produit ABIN5007877
439,25 €
Plus frais de livraison 40,00 € et TVA
100 μL
Destination: France
Envoi sous 8 à 12 jours ouvrables
 
ENO2 Reactivité: Humain WB, IHC (p) Hôte: Lapin Polyclonal RB16241 unconjugated
N° du produit ABIN389271
434,77 €
Plus frais de livraison 40,00 € et TVA
400 μL (Autres quantités disponibles)
Destination: France
Envoi sous 14 à 17 jours ouvrables
 
ENO2 Reactivité: Humain DB Hôte: Lapin Polyclonal RB16241 unconjugated
Pubmed 2 références
N° du produit ABIN389972
434,77 €
Plus frais de livraison 40,00 € et TVA
400 μL (Autres quantités disponibles)
Destination: France
Envoi sous 14 à 17 jours ouvrables
 
ENO2 Reactivité: Souris WB, IHC, ICC, IP Hôte: Lapin Polyclonal unconjugated
N° du produit ABIN7431953
293,45 €
Plus frais de livraison 40,00 € et TVA
100 μL (Autres quantités disponibles)
Destination: France
Envoi sous 11 à 15 jours ouvrables
 
ENO2 Reactivité: Humain WB, ELISA, IF, ICC Hôte: Souris Monoclonal AT17D10 unconjugated
N° du produit ABIN5776174
642,31 €
Plus frais de livraison 40,00 € et TVA
100 μL (Autres quantités disponibles)
Destination: France
Envoi sous 10 à 13 jours ouvrables
 
ENO2 Reactivité: Humain WB, IHC, ELISA Hôte: Lapin Polyclonal unconjugated
N° du produit ABIN7153540
328,90 €
Plus frais de livraison 40,00 € et TVA
100 μg (Autres quantités disponibles)
Destination: France
Envoi sous 11 à 15 jours ouvrables
 
ENO2 Reactivité: Humain WB, IHC, ELISA Hôte: Souris Monoclonal unconjugated
N° du produit ABIN7189210
218,90 €
Plus frais de livraison 40,00 € et TVA
100 μg (Autres quantités disponibles)
Destination: France
Envoi sous 11 à 15 jours ouvrables
 
ENO2 Reactivité: Humain WB, IHC, ELISA, IF Hôte: Lapin Polyclonal unconjugated
N° du produit ABIN7184871
218,90 €
Plus frais de livraison 40,00 € et TVA
100 μg (Autres quantités disponibles)
Destination: France
Envoi sous 11 à 15 jours ouvrables
 
ENO2 Reactivité: Humain WB, IHC, IF, FACS, StM Hôte: Souris Monoclonal SPM347 unconjugated
N° du produit ABIN6939309
639,45 €
Plus frais de livraison 40,00 € et TVA
100 μg (Autres quantités disponibles)
Destination: France
Envoi sous 6 à 10 jours ouvrables
 
ENO2 Reactivité: Humain IHC, IF, FACS, StM Hôte: Souris Monoclonal NSE-P2 unconjugated
N° du produit ABIN6939311
639,45 €
Plus frais de livraison 40,00 € et TVA
100 μg (Autres quantités disponibles)
Destination: France
Envoi sous 6 à 10 jours ouvrables
 
ENO2 Reactivité: Humain WB Hôte: Souris Polyclonal unconjugated
N° du produit ABIN515302
651,20 €
Plus frais de livraison 40,00 € et TVA
50 μg
Destination: France
Envoi sous 8 à 9 jours ouvrables
 
ENO2 Reactivité: Humain WB, FACS Hôte: Lapin Monoclonal 23GB1190 unconjugated Recombinant Antibody
N° du produit ABIN7798449
394,31 €
Plus frais de livraison 40,00 € et TVA
100 μL
Destination: France
Envoi sous 7 à 10 jours ouvrables
 
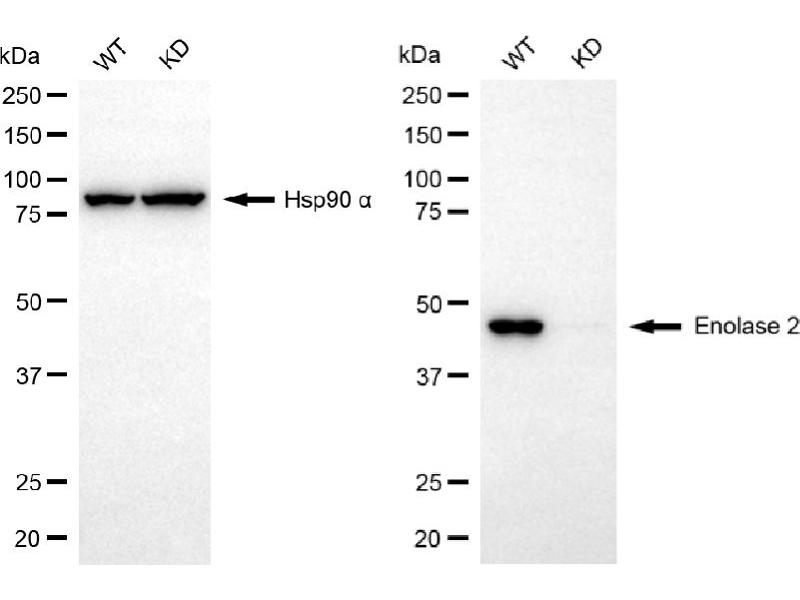
KD Validated ENO2 Reactivité: Humain WB Hôte: Souris Monoclonal 25GB3900 unconjugated
N° du produit ABIN7798450
598,92 €
Plus frais de livraison 40,00 € et TVA
100 μL
Destination: France
Envoi sous 7 à 10 jours ouvrables
 
ENO2 Reactivité: Humain WB, IHC, ELISA Hôte: Lapin Polyclonal unconjugated
N° du produit ABIN3030810
631,13 €
Plus frais de livraison 40,00 € et TVA
0.4 mL (Autres quantités disponibles)
Destination: France
Envoi sous 6 à 9 jours ouvrables
 
ENO2 Reactivité: Humain, Souris WB, IHC, ELISA Hôte: Lapin Polyclonal unconjugated
N° du produit ABIN3030811
631,13 €
Plus frais de livraison 40,00 € et TVA
0.4 mL (Autres quantités disponibles)
Destination: France
Envoi sous 6 à 9 jours ouvrables
 
ENO2 Reactivité: Humain, Souris, Rat WB, IHC, ELISA, IF Hôte: Lapin Polyclonal unconjugated
N° du produit ABIN1533360
402,00 €
Plus frais de livraison 40,00 € et TVA
100 μL (Autres quantités disponibles)
Destination: France
Envoi sous 6 à 9 jours ouvrables
 
ENO2 Reactivité: Humain, Souris, Rat, Poisson zèbre (Danio rerio), Singe, Poulet WB, IHC, IF, FACS Hôte: Lapin Polyclonal unconjugated
N° du produit ABIN7295590
330,77 €
Plus frais de livraison 40,00 € et TVA
100 μL (Autres quantités disponibles)
Destination: France
Envoi sous 17 à 20 jours ouvrables
 
ENO2 Reactivité: Humain, Souris, Rat IHC Hôte: Lapin Polyclonal unconjugated
N° du produit ABIN7010328
179,00 €
Plus frais de livraison 40,00 € et TVA
60 μL
Destination: France
Envoi sous 9 à 13 jours ouvrables
 
  • Type Primary
    • Primary
  • Application
    • Western Blotting (WB)
    • Immunohistochemistry (IHC)
    • ELISA
    • Immunofluorescence (IF)
    • Immunocytochemistry (ICC)
    • Flow Cytometry (FACS)
    • Immunohistochemistry (Paraffin-embedded Sections) (IHC (p))
    • Immunofluorescence (Paraffin-embedded Sections) (IF (p))
    • Immunoprecipitation (IP)
    • Immunofluorescence (Cultured Cells) (IF (cc))
    • Immunohistochemistry (Formalin-fixed Paraffin-embedded Sections) (IHC (fp))
    • Enzyme Immunoassay (EIA)
    • Dot Blot (DB)
    • Immunohistochemistry (Frozen Sections) (IHC (fro))
    • Immunohistochemistry (Formalin-fixed Sections) (IHC (f))
    • Staining Methods (StM)
    • Immunofluorescence (fixed cells) (IF/ICC)
    • ELISA (Capture)
    • Protein Assay (PrA)
    • ELISA (Detection)
    • Fluorescence Microscopy (FM)
    • Immunochromatography (IC)
    • Multiplex Assay (MA)
    • Coating (Coat)
  • Réactivité
    • Human
    • Mouse
    • Rat
    • Guinea Pig
    • Cow
    • Dog
    • Horse
    • Rabbit
    • Goat
    • Monkey
    • Pig
    • Zebrafish (Danio rerio)
    • Bat
    • Chicken
    • Hamster
    • Sheep
    • Xenopus laevis
  • Cité dans publications
  • Images disponible
  • Sans conservateur uniquement
  • Carrier free only
  • Hote
    • Rabbit
    • Mouse
    • Chicken
    • Guinea Pig
    • Sheep
  • Clonalité
    • Monoclonal
    • Polyclonal
  • Clone
    • 15E3
    • NSE-P2
    • ENO2-1375
    • 1-B-649
    • 1-B-652
    • 1-B-65E1
    • 5E2
    • AT17D10
    • 1C1
    • 1G6
    • 5G10
    • ENO2-1462
    • RB16241
    • SPM347
    • 0F8
    • 13E2
    • 145
    • 171
    • 1A3
    • 1A303
    • 1A304
    • 23GB1190
    • 25GB3900
    • 2K3
    • 3B5
    • 451M
    • 4B1F5
    • 5D3
    • A314
    • A4
    • ABM5D20
    • C10
    • C12
    • C5
    • FBI-5
    • M12185
    • R05-5A4R05-5A4
    • RB16580
  • Epitope
    • AA 416-433
    • AA 1-434
    • AA 2-434
    • C-Term
    • pTyr236
    • Tyr236
    • Tyr25
    • AA 2-431
    • AA 2-285
    • AA 213-239
    • AA 224-434
    • AA 418-434
    • AA 6-32
    • N-Term
    • AA 1-104
    • AA 176-225
    • AA 195-434
    • AA 23-200
    • AA 251-433
    • AA 325-434
    • AA 371-420
    • AA 420-434
    • AA 6-10
    • AA 75-124
    • Arg400
    • Middle Region
  • Conjugué
    • Inconjugué
    • Biotin
    • FITC
    • HRP
    • APC
    • PE
    • Alexa Fluor 488
    • Alexa Fluor 555
    • Alexa Fluor 594
    • Alexa Fluor 647
    • Alexa Fluor 680
    • Alexa Fluor 750
    • AbBy Fluor® 350
    • AbBy Fluor® 488
    • AbBy Fluor® 555
    • AbBy Fluor® 594
    • AbBy Fluor® 647
    • AbBy Fluor® 680
    • AbBy Fluor® 750
    • CF®405S
    • CF®488A
    • CF®568
    • CF®594
    • CF®640R
    • CF®647
    • CF®740
    • Cy3
    • Cy5
    • Cy5.5
    • Cy7
    • Magnetic Particles
    • Sepharose
    • Alexa Fluor 350
    • Alexa Fluor 405
  • Isotype
    • IgG
    • IgG2b
    • IgG2a
    • IgG1
    • kappa
    • IgG2b kappa
    • Ig Fraction
    • IgG1 kappa
    • IgY
    • IgG2a kappa
    • IgG2 kappa
    • IgM
    • IgM kappa
  • Type Proteine
    • Recombinant Antibody
  • Format
    • Liquid
    • Lyophilized
  • Grade
    • KD Validated
    • KO Validated, KD Validated
  • Supplier
    • antibodies-online
    • Signalway
    • Biotium
    • USBio
    • Acris
    • Cohesion Biosciences
    • NSJ Bioreagents
    • Abbexa
    • Biomatik
    • Hytest
    • Aviva Systems Biology
    • Boster Bio
    • ProSci
    • ProteoGenix
    • RayBiotech
    • Synaptic Systems
    • Abeomics
    • Aeonian Biotech
    • Angio-Proteomie
    • Anogen
    • Assay Biotechnology Company, Inc.
    • CUSABIO
    • OriGene
    • Rockland

Dernières publications pour nos ENO2/NSE Anticorps

Traub, Heilker: "hiPS Cell-Derived Neurons for High-Throughput Screening." dans: Methods in molecular biology (Clifton, N.J.), Vol. 1994, pp. 243-263, (2019) (PubMed).

Jung, Cackowski, Yumoto, Decker, Wang, Kim, Lee, Wang, Chung, Gursky, Krebsbach, Pienta, Morgan, Taichman: "CXCL12γ Promotes Metastatic Castration-Resistant Prostate Cancer by Inducing Cancer Stem Cell and Neuroendocrine Phenotypes." dans: Cancer research, Vol. 78, Issue 8, pp. 2026-2039, (2018) (PubMed).

Hares, Redondo, Kemp, Rice, Scolding, Wilkins: "Axonal motor protein KIF5A and associated cargo deficits in multiple sclerosis lesional and normal-appearing white matter." dans: Neuropathology and applied neurobiology, Vol. 43, Issue 3, pp. 227-241, (2018) (PubMed).

Yang, Chen, Jia, He, Wang, Li, Li, Li: "Involvement of TRPV1 in the expression and release of calcitonin gene-related peptide induced by rutaecarpine." dans: Molecular medicine reports, Vol. 17, Issue 4, pp. 5168-5174, (2018) (PubMed).

Modarai, Gupta, Opdenaker, Kowash, Masters, Viswanathan, Zhang, Fields, Boman: "The anti-cancer effect of retinoic acid signaling in CRC occurs via decreased growth of ALDH+ colon cancer stem cells and increased differentiation of stem cells." dans: Oncotarget, Vol. 9, Issue 78, pp. 34658-34669, (2018) (PubMed).

Zhai, Zhao, Zhou, Lu, Zhang, Na, Feng, Qiang, Du: "The association and significance of H3K27me3 and a folate metabolic gene ACat2 in neural tube defects." dans: Nutrition journal, Vol. 15, Issue 1, pp. 95, (2017) (PubMed).

Xu, Lu, Miao, Wu, -Z Jiang, Ge, Fang, Zhu, Chen, Zhou, Lu, Tang, Wang: "Immunoregulatory effect of neuronal-like cells in inducting differentiation of bone marrow mesenchymal stem cells." dans: European review for medical and pharmacological sciences, Vol. 20, Issue 24, pp. 5041-5048, (2017) (PubMed).

Chaudhari, Talwar, Lefebvre Dhellencourt, Ravanan: "CDDO and ATRA Instigate Differentiation of IMR32 Human Neuroblastoma Cells." dans: Frontiers in molecular neuroscience, Vol. 10, pp. 310, (2017) (PubMed).

Yan, Bai, Lu, Gao, Bi, Lv: "Regulation of autophagy by AMP-activated protein kinase/sirtuin 1 pathway reduces spinal cord neurons damage." dans: Iranian journal of basic medical sciences, Vol. 20, Issue 9, pp. 1029-1036, (2017) (PubMed).

Huang, Li, Huang, Xie, Xu, Chen, Gao: "A novel reverse fluorescent immunoassay approach for sensing human chorionic gonadotropin based on silver-gold nano-alloy and magnetic nanoparticles." dans: Analytical and bioanalytical chemistry, Vol. 408, Issue 2, pp. 619-27, (2016) (PubMed).

Pseudonymes pour ENO2/NSE Anticorps

enolase 2 (ENO2) Anticorps
enolase 2 (gamma, neuronal) (ENO2) Anticorps
enolase 2, gamma neuronal (Eno2) Anticorps
enolase 2, gamma, neuronal (Eno2) Anticorps
enolase 2 (eno2) Anticorps
enolase 2 (Eno2) Anticorps
AI837106 Anticorps
D6Ertd375e Anticorps
DKFZp459B1817 Anticorps
Eno-2 Anticorps
ENO2 Anticorps
eno3 Anticorps
NSE Anticorps
RNEN3 Anticorps
wu:fc09h05 Anticorps
zgc:92418 Anticorps
Vous êtes ici:
Chat with us!