Tel:
+49 (0)241 95 163 153
Fax:
+49 (0)241 95 163 155
E-Mail:
orders@anticorps-enligne.fr

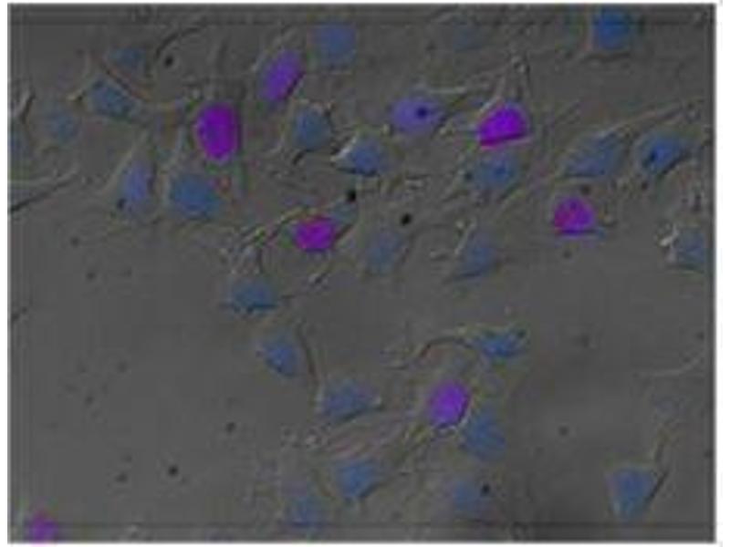
Zombie Violet Fixable Viability Kit

BCA
N° du produit ABIN2669247
110,00 €
Plus frais de livraison 40,00 € et TVA
Destination: France
Envoi sous 7 à 9 jours ouvrables

Aperçu rapide pour Zombie Violet Fixable Viability Kit (ABIN2669247)

Application

Biochemical Assay (BCA)
  • Conjugué

    Zombie Violet™

    Marque

    Zombie Violet™

    Attributs du produit

    Zombie Violet™ is an amine-reactive fluorescent dye that is non-permeant to live cells but permeant to the cells with compromised membranes. Thus, it can be used to assess live vs. dead status of mammalian cells. Zombie Violet™ is a polar, water soluble dye providing green fluorescence, making it suitable for multi-color detection.

    Ingrédients

    Zombie Violet(TM) Fixable Viability Kit
  • Indications d'application

    Zombie Violet™ Fixable Viability Kit is composed of lyophilized Zombie Violet™ dye and anhydrous DMSO. For reconstitution, bring the kit to room temperature, add 100 μL of DMSO to one vial of Zombie Violet™ dye until fully dissolved. 100 tests = 1 vial of Zombie Violet™ + DMSO, 500 tests = 5 vials of Zombie Violet™ + DMSO.

    Restrictions

    For Research Use only
  • Conseil sur la manipulation

    Do not open vials until needed. Once the DMSO is added to the Zombie Violet™ dye, use immediately, or store at -20 °C in a dry place and protected from light, preferably in a dessicator or in a container with desiccant for no more than one month. The unopened kit is guaranteed for six months. This product has a shelf-life of 12 months or less.

    Stock

    -20 °C

    Stockage commentaire

    Store kit at -20°C upon receipt.

    Date de péremption

    12 months
Vous êtes ici:
Chat with us!