Tel:
+49 (0)241 95 163 153
Fax:
+49 (0)241 95 163 155
E-Mail:
orders@anticorps-enligne.fr

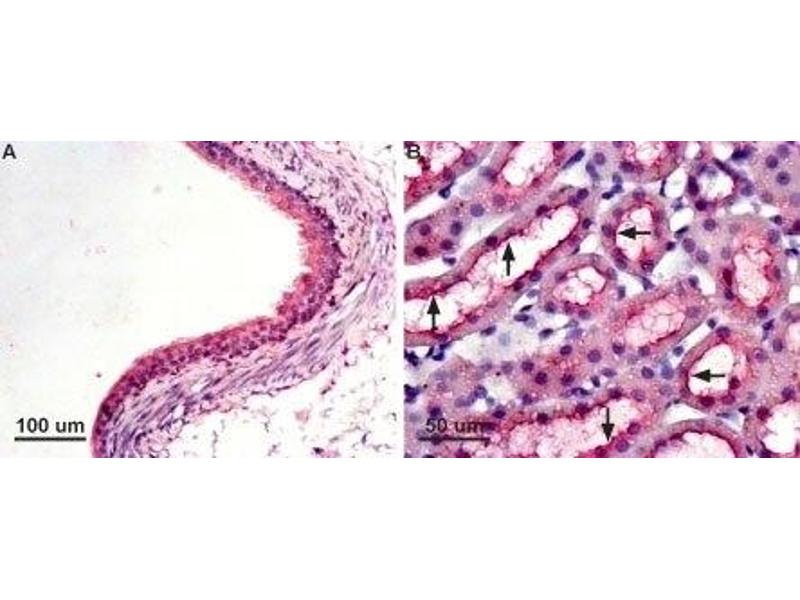
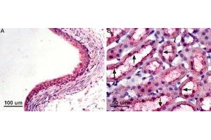
Aquaporin 7 (AQP7) Peptide

AQP7 Hôte: Synthetic BP, WB, IHC
N° du produit ABIN7234775
485,54 €
Plus frais de livraison 40,00 € et TVA
40 μg
Destination: France
Envoi sous 8 à 9 jours ouvrables

Aperçu rapide pour Aquaporin 7 (AQP7) Peptide (ABIN7234775)

Antigène

Aquaporin 7 (AQP7)

Source

  • 3
Synthetic

Application

Blocking Peptide (BP), Western Blotting (WB), Immunohistochemistry (IHC)
  • Fonction

    Aquaporin 7 Negative Control Antigen

    Séquence

    ENIQSVLQKT WVREFLAE, correspond ing to amino acid residues 7-24 of rat AQP7 (Accession P56403).

    Attributs du produit

    Synthetic peptide, A Blocking peptide for Anti-Aquaporin 7 Antibody (ABIN7042943, ABIN7045203 and ABIN7045204). Intended to be used as a negative control.

    Pureté

    >70 %
  • Indications d'application

    Antigen Preadsorption Control: 1 μg peptide per 1 μg antibody.

    Commentaires

    Confirmed by amino acid analysis and mass spectrometry.

    Restrictions

    For Research Use only
  • Format

    Lyophilized

    Reconstitution

    100 μL double distilled water (DDW).

    Concentration

    0.4 mg/mL

    Stock

    RT,-20 °C

    Stockage commentaire

    Lyophilized powder can be stored intact at room temperature for two weeks. For longer periods, it should be stored at -20°C.
  • Antigène

    Aquaporin 7 (AQP7)

    ID gène

    29171

    NCBI Accession

    NM_001170

    UniProt

    P56403
Vous êtes ici:
Chat with us!