Tel:
+49 (0)241 95 163 153
Fax:
+49 (0)241 95 163 155
E-Mail:
orders@anticorps-enligne.fr

Phospholipase C gamma 1 Anticorps

(phospholipase C, gamma 1 (PLCG1))

Choisissez l’un des 170 anticorps Phospholipase C gamma 1 de notre liste de produits basés sur 13 publications et 96 images de validation.

Découvrez des anticorps Phospholipase C gamma 1 fiables issus d’une large sélection de fabricants renommés. Notre portefeuille permet une détection précise de Phospholipase C gamma 1 dans plusieurs espèces, y compris Human, Mouse, Rat, Monkey, Dog, Cow, Horse, Chicken, Rabbit, Xenopus laevis, Guinea Pig, Pig, Zebrafish (Danio rerio), et prend en charge diverses applications de recherche telles que WB, ELISA, IF (p), IHC, IF (cc).

Trouvez rapidement l’anticorps adapté grâce à nos outils de recherche, de filtrage et de comparaison. Chaque page produit fournit des données de validation détaillées, des références bibliographiques et des retours d’utilisateurs. Contrairement aux ressources dédiées uniquement à la comparaison, vous pouvez acheter directement les anticorps sur notre site. Choisissez parmi des anticorps polyclonaux, monoclonaux ou recombinants Phospholipase C gamma 1, issus de différents hôtes tels que Rabbit, Mouse. Parcourez nos produits ci-dessous et commandez directement pour soutenir vos recherches en toute confiance.

Les noms alternatifs de Phospholipase C gamma 1 sont PLCG1, plcg1.L, LOC100633163, Plcg1, plcg1.

170 Résultats

PLCG1 Reactivité: Humain ELISA, IF Hôte: Lapin Polyclonal unconjugated
N° du produit ABIN7142058
328,90 €
Plus frais de livraison 40,00 € et TVA
100 μL (Autres quantités disponibles)
Destination: France
Envoi sous 11 à 15 jours ouvrables
 
PLCG1 Reactivité: Humain, Souris, Rat, Singe WB, ELISA, IHC Hôte: Lapin Polyclonal unconjugated
N° du produit ABIN3186503
377,51 €
Plus frais de livraison 40,00 € et TVA
100 μL (Autres quantités disponibles)
Destination: France
Envoi sous 8 à 10 jours ouvrables
 
PLCG1 Reactivité: Humain WB Hôte: Lapin Monoclonal unconjugated
N° du produit ABIN7269348
330,00 €
Plus frais de livraison 40,00 € et TVA
100 μL (Autres quantités disponibles)
Destination: France
Envoi sous 8 à 10 jours ouvrables
 
PLCG1 Reactivité: Humain, Souris, Rat, Singe WB, ELISA, IHC Hôte: Lapin Polyclonal unconjugated
N° du produit ABIN3182493
377,51 €
Plus frais de livraison 40,00 € et TVA
100 μL (Autres quantités disponibles)
Destination: France
Envoi sous 8 à 10 jours ouvrables
 
PLCG1 Reactivité: Humain WB, ELISA, IHC Hôte: Lapin Polyclonal unconjugated
N° du produit ABIN7182481
218,90 €
Plus frais de livraison 40,00 € et TVA
100 μg (Autres quantités disponibles)
Destination: France
Envoi sous 11 à 15 jours ouvrables
 
PLCG1 Reactivité: Humain WB, ELISA Hôte: Lapin Polyclonal unconjugated
N° du produit ABIN7139069
396,00 €
Plus frais de livraison 40,00 € et TVA
100 μL
Destination: France
Envoi sous 11 à 15 jours ouvrables
 
PLCG1 Reactivité: Humain WB, ELISA, IHC Hôte: Lapin Polyclonal unconjugated
N° du produit ABIN7182482
218,90 €
Plus frais de livraison 40,00 € et TVA
100 μg (Autres quantités disponibles)
Destination: France
Envoi sous 11 à 15 jours ouvrables
 
PLCG1 Reactivité: Humain, Souris, Rat, Singe WB, ELISA, IHC Hôte: Lapin Polyclonal unconjugated
N° du produit ABIN3182133
377,51 €
Plus frais de livraison 40,00 € et TVA
100 μL (Autres quantités disponibles)
Destination: France
Envoi sous 8 à 10 jours ouvrables
 
PLCG1 Reactivité: Humain, Souris, Rat WB, ELISA, IHC Hôte: Lapin Polyclonal unconjugated
N° du produit ABIN1531236
402,00 €
Plus frais de livraison 40,00 € et TVA
100 μL (Autres quantités disponibles)
Destination: France
Envoi sous 6 à 9 jours ouvrables
 
PLCG1 Reactivité: Humain, Souris, Rat WB, ELISA, IHC Hôte: Lapin Polyclonal unconjugated
N° du produit ABIN1531235
402,00 €
Plus frais de livraison 40,00 € et TVA
100 μL (Autres quantités disponibles)
Destination: France
Envoi sous 6 à 9 jours ouvrables
 
PLCG1 Reactivité: Humain, Souris, Rat, Singe, Boeuf (Vache) WB, IHC Hôte: Lapin Polyclonal unconjugated
N° du produit ABIN7296610
330,77 €
Plus frais de livraison 40,00 € et TVA
100 μL (Autres quantités disponibles)
Destination: France
Envoi sous 17 à 20 jours ouvrables
 
PLCG1 Reactivité: Humain, Souris, Rat, Singe WB, IF Hôte: Lapin Polyclonal unconjugated
N° du produit ABIN7296608
376,92 €
Plus frais de livraison 40,00 € et TVA
100 μL (Autres quantités disponibles)
Destination: France
Envoi sous 17 à 20 jours ouvrables
 
PLCG1 Reactivité: Humain, Souris, Rat, Boeuf (Vache) WB, IHC Hôte: Lapin Polyclonal unconjugated
N° du produit ABIN7299396
376,92 €
Plus frais de livraison 40,00 € et TVA
100 μL (Autres quantités disponibles)
Destination: France
Envoi sous 17 à 20 jours ouvrables
 
PLCG1 Reactivité: Humain, Souris, Rat, Boeuf (Vache), Chien, Cheval, Lapin, Cobaye WB Hôte: Lapin Polyclonal unconjugated
N° du produit ABIN5517384
534,11 €
Plus frais de livraison 40,00 € et TVA
100 μL (Autres quantités disponibles)
Destination: France
Envoi sous 6 à 9 jours ouvrables
 
PLCG1 Reactivité: Souris WB, IF (p), IF (cc) Hôte: Lapin Polyclonal AbBy Fluor® 750
N° du produit ABIN5008950
426,37 €
Plus frais de livraison 40,00 € et TVA
100 μL
Destination: France
Envoi sous 20 à 25 jours ouvrables
 
PLCG1 Reactivité: Souris WB, IF (p), IF (cc) Hôte: Lapin Polyclonal AbBy Fluor® 680
N° du produit ABIN5008949
426,37 €
Plus frais de livraison 40,00 € et TVA
100 μL
Destination: France
Envoi sous 20 à 25 jours ouvrables
 
PLCG1 Reactivité: Souris, Rat WB, IF (p), IF (cc), FACS Hôte: Lapin Polyclonal AbBy Fluor® 750
N° du produit ABIN5008948
426,37 €
Plus frais de livraison 40,00 € et TVA
100 μL
Destination: France
Envoi sous 20 à 25 jours ouvrables
 
PLCG1 Reactivité: Souris, Rat WB, IF (p), IF (cc), FACS Hôte: Lapin Polyclonal AbBy Fluor® 680
N° du produit ABIN5008947
426,37 €
Plus frais de livraison 40,00 € et TVA
100 μL
Destination: France
Envoi sous 20 à 25 jours ouvrables
 
PLCG1 Reactivité: Humain WB, IF, ICC Hôte: Lapin Polyclonal unconjugated
N° du produit ABIN5620561
869,38 €
Plus frais de livraison 40,00 € et TVA
100 μL
Destination: France
Envoi sous 13 à 17 jours ouvrables
 
PLCG1 Reactivité: Humain, Souris, Rat WB, ELISA Hôte: Lapin Polyclonal unconjugated
N° du produit ABIN7223178
623,62 €
Plus frais de livraison 40,00 € et TVA
100 μL (Autres quantités disponibles)
Destination: France
Envoi sous 10 à 14 jours ouvrables
 
  • Type Primary
    • Primary
  • Application
    • Western Blotting (WB)
    • ELISA
    • Immunofluorescence (Paraffin-embedded Sections) (IF (p))
    • Immunohistochemistry (IHC)
    • Immunofluorescence (Cultured Cells) (IF (cc))
    • Immunofluorescence (IF)
    • Flow Cytometry (FACS)
    • Immunoprecipitation (IP)
    • Immunocytochemistry (ICC)
    • Immunohistochemistry (Paraffin-embedded Sections) (IHC (p))
    • Immunohistochemistry (Frozen Sections) (IHC (fro))
    • Intracellular Staining (ICS)
    • Immunofluorescence (fixed cells) (IF/ICC)
    • BioImaging (BI)
    • Immunochromatography (IC)
    • Proximity Ligation Assay (PLA)
  • Réactivité
    • Human
    • Mouse
    • Rat
    • Monkey
    • Dog
    • Cow
    • Horse
    • Chicken
    • Rabbit
    • Xenopus laevis
    • Guinea Pig
    • Pig
    • Zebrafish (Danio rerio)
  • Cité dans publications
  • Images disponible
  • Sans conservateur uniquement
  • Carrier free only
  • Hote
    • Rabbit
    • Mouse
  • Clonalité
    • Polyclonal
    • Monoclonal
  • Clone
    • 10-PLCgamma
    • 27-PLC
    • 2A2
    • 0-T-170
    • 25GB2080
    • 25GB3535
    • 2B1
    • 2D5
    • 2F3D11
    • 32P05
    • 3C2D11
    • 3H1C10
    • 85F11
    • A717
    • FAA-16
    • R01-6B4
    • RB53783
    • RB53784
  • Epitope
    • pTyr783
    • pTyr771
    • pTyr775
    • pTyr1253
    • AA 1192-1291
    • C-Term
    • AA 1011-1290
    • N-Term
    • Tyr783
    • AA 39-181
    • AA 1240-1290
    • AA 769-773
    • AA 781-785
    • Tyr771
    • pSer1248
    • AA 1091-1290
    • AA 1192-1292
    • AA 1202-1291
    • AA 1221-1270
    • AA 456-488
    • AA 736-785
    • AA 751-800
    • AA 758-790
    • AA 82-100
    • AA 970-990
    • Center
    • Gly765
    • Gly777
    • Thr239
    • Tyr1253
    • pThr771
  • Conjugué
    • Inconjugué
    • Biotin
    • Alexa Fluor 488
    • Alexa Fluor 647
    • Alexa Fluor 555
    • Alexa Fluor 594
    • Alexa Fluor 680
    • Alexa Fluor 750
    • FITC
    • HRP
    • AbBy Fluor® 350
    • AbBy Fluor® 488
    • AbBy Fluor® 555
    • AbBy Fluor® 594
    • AbBy Fluor® 647
    • Cy3
    • Cy5
    • Cy5.5
    • Cy7
    • AbBy Fluor® 680
    • AbBy Fluor® 750
    • Alexa Fluor 350
    • Alexa Fluor 405
    • PE
  • Isotype
    • IgG
    • IgG1
    • IgG2a
    • Ig Fraction
    • IgG1 kappa
    • IgG2a kappa
    • kappa
  • Type Proteine
    • Recombinant Antibody
  • Format
    • Liquid
    • Lyophilized
  • Grade
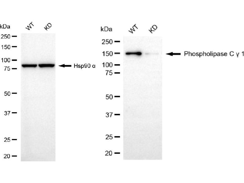
    • KD Validated
  • Supplier
    • antibodies-online
    • Signalway
    • BD Biosciences
    • Abbexa
    • Cohesion Biosciences
    • USBio
    • Assay Biotechnology Company, Inc.
    • Aviva Systems Biology
    • Boster Bio
    • Elabscience
    • ProSci
    • Acris

Dernières publications pour nos Phospholipase C gamma 1 Anticorps

Huang, Wang, Li, Wang, Yan, Zhang, Wang, Huang, Jia, Lu, Liu, Chen, Li, Cai, Jiang, Jin, Bai: "Osteoblasts secrete Cxcl9 to regulate angiogenesis in bone." dans: Nature communications, Vol. 7, pp. 13885, (2018) (PubMed).

Zhang, Wang, Zeng, Yan, Ouyang, Liu, Sun, Zhao, Fang, Pan, Xie, Yang, Zhang, Bai, Cai: "mTORC1 activation downregulates FGFR3 and PTH/PTHrP receptor in articular chondrocytes to initiate osteoarthritis." dans: Osteoarthritis and cartilage, Vol. 25, Issue 6, pp. 952-963, (2018) (PubMed).

Wu, Huang, Jiao, Ding, Zhang, Chen, Wang, Li, Huo: "Olaquindox disrupts tight junction integrity and cytoskeleton architecture in mouse Sertoli cells." dans: Oncotarget, Vol. 8, Issue 51, pp. 88630-88644, (2017) (PubMed).

Diaz-Flores, Goldschmidt, Depeille, Ng, Akutagawa, Krisman, Crone, Burgess, Williams, Houseman, Shokat, Sampath, Bollag, Roose, Braun, Shannon: "PLC-? and PI3K link cytokines to ERK activation in hematopoietic cells with normal and oncogenic Kras." dans: Science signaling, Vol. 6, Issue 304, pp. ra105, (2013) (PubMed).

Liu, Chen, Chau, Jan, Chen, Hsu, Lin, Juang, Lu, Cheng, Chen, Chang, Ting, Kao, Hsiao, Huang: "Analysis of protein-protein interactions in cross-talk pathways reveals CRKL protein as a novel prognostic marker in hepatocellular carcinoma." dans: Molecular & cellular proteomics : MCP, Vol. 12, Issue 5, pp. 1335-49, (2013) (PubMed).

Pan, Dong, Wang, Yang, Zhang, Li, Zhang, Yang, Li, Tan, Wang: "Signal regulatory protein ? negatively regulates mast-cell activation following Fc?RI aggregation." dans: European journal of immunology, Vol. 43, Issue 6, pp. 1598-607, (2013) (PubMed).

Hsieh, Liu, Hsu, Jayakumar, Chou, Wang, Hsiao, Sheu et al.: "Inhibition of vascular smooth muscle cell proliferation by the vitamin E derivative pentamethylhydroxychromane in an in vitro and in vivo study: pivotal role of hydroxyl radical-mediated PLCgamma1 ..." dans: Free radical biology & medicine, Vol. 49, Issue 5, pp. 881-93, (2010) (PubMed).

Serrano, Graham, DeBell, Rawat, Veri, Bonvini, Rellahan, Reischl: "A new tyrosine phosphorylation site in PLC gamma 1: the role of tyrosine 775 in immune receptor signaling." dans: Journal of immunology (Baltimore, Md. : 1950), Vol. 174, Issue 10, pp. 6233-7, (2005) (PubMed).

Vossmeyer, Hofmann, Löster, Reutter, Danker: "Phospholipase Cgamma binds alpha1beta1 integrin and modulates alpha1beta1 integrin-specific adhesion." dans: The Journal of biological chemistry, Vol. 277, Issue 7, pp. 4636-43, (2002) (PubMed).

Sette, Paronetto, Barchi, Bevilacqua, Geremia, Rossi: "Tr-kit-induced resumption of the cell cycle in mouse eggs requires activation of a Src-like kinase." dans: The EMBO journal, Vol. 21, Issue 20, pp. 5386-95, (2002) (PubMed).

Pseudonymes pour Phospholipase C gamma 1 Anticorps

phospholipase C gamma 1 (PLCG1) Anticorps
phospholipase C gamma 1 L homeolog (plcg1.L) Anticorps
1-phosphatidylinositol 4,5-bisphosphate phosphodiesterase gamma-1 (LOC100633163) Anticorps
phospholipase C, gamma 1 (Plcg1) Anticorps
phospholipase C gamma 1 (Plcg1) Anticorps
phospholipase C, gamma 1 (plcg1) Anticorps
AI894140 Anticorps
Cded Anticorps
fj46f04 Anticorps
NCKAP3 Anticorps
nckap3 Anticorps
Plc-1 Anticorps
Plc-gamma1 Anticorps
PLC-II Anticorps
plc-ii Anticorps
PLC1 Anticorps
plc1 Anticorps
PLC148 Anticorps
plc148 Anticorps
Plcg-1 Anticorps
PLCgamma1 Anticorps
plcgamma1 Anticorps
PPLCA Anticorps
wu:fj46f04 Anticorps
wu:fj57a05 Anticorps
Vous êtes ici:
Chat with us!