Tel:
+49 (0)241 95 163 153
Fax:
+49 (0)241 95 163 155
E-Mail:
orders@anticorps-enligne.fr

RAB4B Anticorps

(RAB4B, Member RAS Oncogene Family (RAB4B))

Choisissez l’un des 18 anticorps RAB4B de notre liste de produits basés sur 6 images de validation.

Découvrez des anticorps RAB4B fiables issus d’une large sélection de fabricants renommés. Notre portefeuille permet une détection précise de RAB4B dans plusieurs espèces, y compris Human, Mouse, Cow, Dog, Guinea Pig, Horse, Pig, Rabbit, Rat, Goat, Monkey, Sheep, Zebrafish (Danio rerio), et prend en charge diverses applications de recherche telles que WB, ELISA, IHC, IHC (p).

Trouvez rapidement l’anticorps adapté grâce à nos outils de recherche, de filtrage et de comparaison. Chaque page produit fournit des données de validation détaillées, des références bibliographiques et des retours d’utilisateurs. Contrairement aux ressources dédiées uniquement à la comparaison, vous pouvez acheter directement les anticorps sur notre site. Choisissez parmi des anticorps polyclonaux, monoclonaux ou recombinants RAB4B, issus de différents hôtes tels que Rabbit. Parcourez nos produits ci-dessous et commandez directement pour soutenir vos recherches en toute confiance.

Les noms alternatifs de RAB4B sont RAB4B, Rab4b.

18 Résultats

RAB4B Reactivité: Humain ELISA, WB, IHC Hôte: Lapin Polyclonal unconjugated
N° du produit ABIN7167348
-15% Promotion 2026
279,56 €
328,90 €
Économisez 49,34 € (-15 %)
Plus frais de livraison 40,00 € et TVA
100 μg (Autres quantités disponibles)
Destination: France
Envoi sous 11 à 15 jours ouvrables
 
RAB4B Reactivité: Humain WB Hôte: Lapin Polyclonal RB39221 unconjugated
N° du produit ABIN1539280
-15% Promotion 2026
369,55 €
434,77 €
Économisez 65,22 € (-15 %)
Plus frais de livraison 40,00 € et TVA
400 μL (Autres quantités disponibles)
Destination: France
Envoi sous 14 à 16 jours ouvrables
 
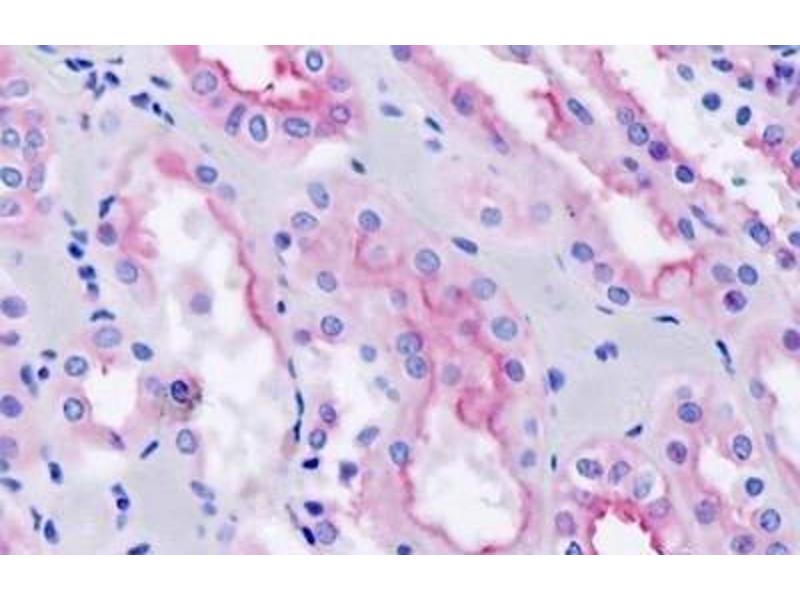
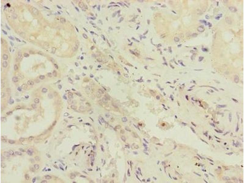
RAB4B Reactivité: Humain WB, IHC, IHC (p) Hôte: Lapin Polyclonal unconjugated
N° du produit ABIN2578025
610,95 €
Plus frais de livraison 40,00 € et TVA
200 μL
Destination: France
Envoi sous 15 à 19 jours ouvrables
 
RAB4B Reactivité: Humain Hôte: Lapin Polyclonal FITC
N° du produit ABIN7167350
-15% Promotion 2026
279,56 €
328,90 €
Économisez 49,34 € (-15 %)
Plus frais de livraison 40,00 € et TVA
100 μg (Autres quantités disponibles)
Destination: France
Envoi sous 11 à 15 jours ouvrables
 
RAB4B Reactivité: Humain ELISA Hôte: Lapin Polyclonal HRP
N° du produit ABIN7167351
-15% Promotion 2026
279,56 €
328,90 €
Économisez 49,34 € (-15 %)
Plus frais de livraison 40,00 € et TVA
100 μg (Autres quantités disponibles)
Destination: France
Envoi sous 11 à 15 jours ouvrables
 
RAB4B Reactivité: Humain ELISA Hôte: Lapin Polyclonal Biotin
N° du produit ABIN7167349
-15% Promotion 2026
279,56 €
328,90 €
Économisez 49,34 € (-15 %)
Plus frais de livraison 40,00 € et TVA
100 μg (Autres quantités disponibles)
Destination: France
Envoi sous 11 à 15 jours ouvrables
 
RAB4B Reactivité: Humain, Souris, Boeuf (Vache), Chien, Cobaye, Cheval, Porc, Lapin, Rat, Singe WB Hôte: Lapin Polyclonal unconjugated
N° du produit ABIN6753502
789,41 €
Plus frais de livraison 40,00 € et TVA
100 μL
Destination: France
Envoi sous 15 à 19 jours ouvrables
 
RAB4B Reactivité: Humain ELISA, WB Hôte: Lapin Polyclonal unconjugated
N° du produit ABIN2578026
1.328,20 €
Plus frais de livraison 40,00 € et TVA
200 μL
Destination: France
Envoi sous 15 à 19 jours ouvrables
 
RAB4B Reactivité: Humain ELISA, WB Hôte: Lapin Polyclonal FITC
N° du produit ABIN1928770
1.708,41 €
Plus frais de livraison 40,00 € et TVA
200 μL
Destination: France
Envoi sous 15 à 19 jours ouvrables
 
RAB4B Reactivité: Humain ELISA, WB Hôte: Lapin Polyclonal PE
N° du produit ABIN1928771
1.708,41 €
Plus frais de livraison 40,00 € et TVA
200 μL
Destination: France
Envoi sous 15 à 19 jours ouvrables
 
RAB4B Reactivité: Humain ELISA, WB Hôte: Lapin Polyclonal APC
N° du produit ABIN1928768
1.708,41 €
Plus frais de livraison 40,00 € et TVA
200 μL
Destination: France
Envoi sous 15 à 19 jours ouvrables
 
RAB4B Reactivité: Humain ELISA, WB Hôte: Lapin Polyclonal Biotin
N° du produit ABIN1928769
1.708,41 €
Plus frais de livraison 40,00 € et TVA
200 μL
Destination: France
Envoi sous 15 à 19 jours ouvrables
 
RAB4B Reactivité: Humain ELISA, WB Hôte: Lapin Polyclonal HRP
N° du produit ABIN1928772
1.708,41 €
Plus frais de livraison 40,00 € et TVA
200 μL
Destination: France
Envoi sous 15 à 19 jours ouvrables
 
RAB4B Reactivité: Humain, Souris, Boeuf (Vache), Chien, Cobaye, Cheval, Porc, Lapin, Rat, Chévre, Mouton, Poisson zèbre (Danio rerio) WB Hôte: Lapin Polyclonal unconjugated
N° du produit ABIN2788152
534,11 €
Plus frais de livraison 40,00 € et TVA
100 μL (Autres quantités disponibles)
Destination: France
Envoi sous 6 à 8 jours ouvrables
 
RAB4B Reactivité: Humain, Souris ELISA, WB Hôte: Lapin Polyclonal unconjugated
N° du produit ABIN6091011
628,83 €
Plus frais de livraison 40,00 € et TVA
100 μL (Autres quantités disponibles)
Destination: France
Envoi sous 7 à 13 jours ouvrables
 
RAB4B Reactivité: Humain ELISA Hôte: Lapin Polyclonal FITC
N° du produit ABIN6065339
628,83 €
Plus frais de livraison 40,00 € et TVA
100 μL (Autres quantités disponibles)
Destination: France
Envoi sous 7 à 13 jours ouvrables
 
RAB4B Reactivité: Humain WB, IHC (p) Hôte: Lapin Polyclonal unconjugated
N° du produit ABIN2963964
674,40 €
Plus frais de livraison 40,00 € et TVA
200 μL
Destination: France
Envoi sous 8 à 10 jours ouvrables
 
RAB4B Reactivité: Humain ELISA, WB Hôte: Lapin Polyclonal unconjugated
N° du produit ABIN2347057
948,75 €
Plus frais de livraison 40,00 € et TVA
200 μL
Destination: France
Envoi sous 15 à 21 jours ouvrables
 
  • Type Primary
    • Primary
  • Application
    • Western Blotting (WB)
    • ELISA
    • Immunohistochemistry (IHC)
    • Immunohistochemistry (Paraffin-embedded Sections) (IHC (p))
  • Réactivité
    • Human
    • Mouse
    • Cow
    • Dog
    • Guinea Pig
    • Horse
    • Pig
    • Rabbit
    • Rat
    • Goat
    • Monkey
    • Sheep
    • Zebrafish (Danio rerio)
  • Images disponible
  • Sans conservateur uniquement
  • Carrier free only
  • Hote
    • Rabbit
  • Clonalité
    • Polyclonal
  • Clone
    • RB39221
  • Epitope
    • AA 29-58
    • AA 2-213
    • N-Term
    • AA 111-160
    • Middle Region
  • Conjugué
    • Inconjugué
    • FITC
    • Biotin
    • HRP
    • APC
    • PE
  • Isotype
    • IgG
    • Ig Fraction
  • Format
    • Liquid
    • Lyophilized
  • Supplier
    • antibodies-online
    • Abbexa
    • Aviva Systems Biology
    • Covalab
    • USBio

Pseudonymes pour RAB4B Anticorps

RAB4B, member RAS oncogene family (RAB4B) Anticorps
RAB4B, member RAS oncogene family (Rab4b) Anticorps
1500031G17Rik Anticorps
Vous êtes ici:
Chat with us!