Tel:
+49 (0)241 95 163 153
Fax:
+49 (0)241 95 163 155
E-Mail:
orders@anticorps-enligne.fr

Souris anti-Humain IgA Secretory Component Anticorps

FACS, IF, IHC (f) Monoclonal ECM1-792 IgG1 kappa unconjugated
N° du produit ABIN6155162
566,15 €
Plus frais de livraison 40,00 € et TVA
50 μL
Destination: France
Envoi sous 7 à 10 jours ouvrables

Aperçu rapide pour Souris anti-Humain IgA Secretory Component Anticorps (ABIN6155162)

Antigène

IgA Secretory Component

Clonalité

  • 8
  • 5
Monoclonal

Application

  • 7
  • 7
  • 7
  • 3
  • 3
  • 3
  • 2
  • 1
  • 1
  • 1
  • 1
  • 1
Flow Cytometry (FACS), Immunofluorescence (IF), Immunohistochemistry (Formalin-fixed Sections) (IHC (f))

Clone

ECM1-792

Isotype

IgG1 kappa
  • Reactivité

    • 11
    • 7
    • 1
    • 1
    Humain, Rat

    Hôte

    • 8
    • 5
    Souris

    Fonction

    Mouse Monoclonal anti-IgA Secretory Component (ECM1/792), Purified, BSA-free

    Attributs du produit

    This MAb reacts with a reduction-resistant epitope present in both free and SIgA bound Secretory Component. It does not react with the cell lines lacking secretory component. The antibody is useful for studying the distribution and level of both free and bound secretory component. Secretory component is differentially expressed in epithelium, and the antibody is a popular marker for identifying subpopulations of epithelial cells and epithelial differentiation. The Secretory component antibody is a useful research tool for studying mucosal immunity, inflammation, remodeling, differentiation and tumorigenesis, all processes associated with differential secretory component expression. Primary antibodies are available purified, or with a selection of fluorescent CF® dyes and other labels. CF® dyes offer exceptional brightness and photostability. Note: Conjugates of blue fluorescent dyes like CF®405S and CF®405M are not recommended for detecting low abundance targets, because blue dyes have lower fluorescence and can give higher non-specific background than other dye colors.

    Purification

    Purified

    Immunogène

    Recombinant human ECM1 protein
  • Indications d'application

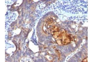
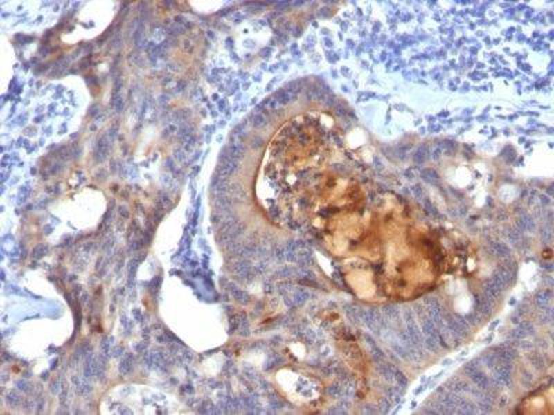
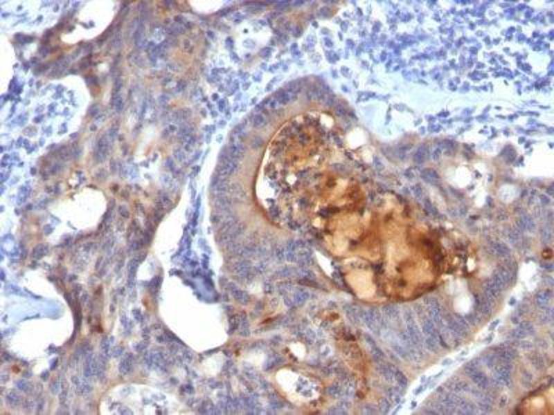
    Immunohistology formalin-fixed 0.5-1 μg/mL
    • Staining of formalin-fixed tissues requires boiling tissue sections in 10 mM citrate buffer,  pH 6.0, for 10-20 min followed by cooling at RT for 20 minutes
    • Flow Cytometry 0.5-1 μg/million cells/0.1 mL
    • Immunofluorescence 1-2 μg/mL
    • Optimal dilution for a specific application should be determined by user

    Commentaires

    Stomach, Lung, or breast tumor

    Restrictions

    For Research Use only
  • Format

    Liquid

    Concentration

    1 mg/mL

    Buffer

    PBS (no BSA, no azide)

    Agent conservateur

    Azide free
  • Antigène

    IgA Secretory Component

    Sujet

    ECM1, Extracellular Matrix Protein 1, Secretory Component p85, URBWD

    Poids moléculaire

    ~80 kDa

    ID gène

    1893, 81071

    UniProt

    Q16610
Vous êtes ici:
Chat with us!