Tel:
+49 (0)241 95 163 153
Fax:
+49 (0)241 95 163 155
E-Mail:
orders@anticorps-enligne.fr

ZNF771 Anticorps

(Zinc Finger Protein 771 (ZNF771))

Choisissez l’un des 17 anticorps ZNF771 de notre liste de produits basés sur 1 publication et 8 images de validation.

Découvrez des anticorps ZNF771 fiables issus d’une large sélection de fabricants renommés. Notre portefeuille permet une détection précise de ZNF771 dans plusieurs espèces, y compris Human, Mouse, Cow, Dog, Guinea Pig, Monkey, Rat, et prend en charge diverses applications de recherche telles que WB, ELISA, IF, ICC, IHC.

Trouvez rapidement l’anticorps adapté grâce à nos outils de recherche, de filtrage et de comparaison. Chaque page produit fournit des données de validation détaillées, des références bibliographiques et des retours d’utilisateurs. Contrairement aux ressources dédiées uniquement à la comparaison, vous pouvez acheter directement les anticorps sur notre site. Choisissez parmi des anticorps polyclonaux, monoclonaux ou recombinants ZNF771, issus de différents hôtes tels que Rabbit. Parcourez nos produits ci-dessous et commandez directement pour soutenir vos recherches en toute confiance.

Les noms alternatifs de ZNF771 sont ZNF771, Zfp771.

17 Résultats

ZNF771 Reactivité: Souris, Rat WB, IF, IHC Hôte: Lapin Polyclonal unconjugated
N° du produit ABIN7076273
592,31 €
Plus frais de livraison 40,00 € et TVA
100 μL
Destination: France
Envoi sous 13 à 20 jours ouvrables
 
ZNF771 Reactivité: Humain, Singe WB Hôte: Lapin Polyclonal unconjugated
N° du produit ABIN6742627
789,41 €
Plus frais de livraison 40,00 € et TVA
100 μL
Destination: France
Envoi sous 15 à 20 jours ouvrables
 
ZNF771 Reactivité: Humain, Souris WB, ELISA, IF, ICC Hôte: Lapin Polyclonal unconjugated
N° du produit ABIN6258472
525,71 €
Plus frais de livraison 40,00 € et TVA
100 μL (Autres quantités disponibles)
Destination: France
Envoi sous 9 à 11 jours ouvrables
 
ZNF771 Reactivité: Humain WB, ELISA Hôte: Lapin Polyclonal unconjugated
N° du produit ABIN7188464
218,90 €
Plus frais de livraison 40,00 € et TVA
100 μg (Autres quantités disponibles)
Destination: France
Envoi sous 11 à 15 jours ouvrables
 
ZNF771 Reactivité: Humain, Souris WB, ELISA Hôte: Lapin Polyclonal unconjugated
N° du produit ABIN3187569
377,51 €
Plus frais de livraison 40,00 € et TVA
100 μL (Autres quantités disponibles)
Destination: France
Envoi sous 8 à 10 jours ouvrables
 
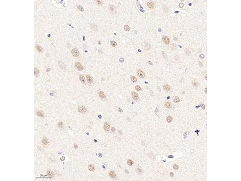
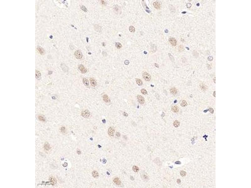
ZNF771 Reactivité: Humain, Boeuf (Vache), Chien, Cobaye WB Hôte: Lapin Polyclonal unconjugated
Pubmed 1 reference
N° du produit ABIN2774941
534,11 €
Plus frais de livraison 40,00 € et TVA
100 μL (Autres quantités disponibles)
Destination: France
Envoi sous 6 à 9 jours ouvrables
 
ZNF771 Reactivité: Humain, Souris WB, ELISA Hôte: Lapin Polyclonal unconjugated
N° du produit ABIN7217578
623,62 €
Plus frais de livraison 40,00 € et TVA
100 μL (Autres quantités disponibles)
Destination: France
Envoi sous 10 à 14 jours ouvrables
 
ZNF771 Reactivité: Humain, Souris WB, ELISA Hôte: Lapin Polyclonal unconjugated
N° du produit ABIN2886119
741,67 €
Plus frais de livraison 40,00 € et TVA
100 μL (Autres quantités disponibles)
Destination: France
Envoi sous 15 à 20 jours ouvrables
 
ZNF771 Reactivité: Humain, Souris WB, ELISA Hôte: Lapin Polyclonal unconjugated
N° du produit ABIN1535482
402,00 €
Plus frais de livraison 40,00 € et TVA
100 μL (Autres quantités disponibles)
Destination: France
Envoi sous 6 à 9 jours ouvrables
 
ZNF771 Reactivité: Humain, Souris Hôte: Lapin Polyclonal Alexa Fluor 555
N° du produit ABIN6892994
543,40 €
Plus frais de livraison 40,00 € et TVA
100 μL
Destination: France
Envoi sous 10 à 14 jours ouvrables
 
ZNF771 Reactivité: Humain, Souris Hôte: Lapin Polyclonal Biotin
N° du produit ABIN6876931
543,40 €
Plus frais de livraison 40,00 € et TVA
100 μL
Destination: France
Envoi sous 10 à 14 jours ouvrables
 
ZNF771 Reactivité: Humain, Souris Hôte: Lapin Polyclonal Alexa Fluor 680
N° du produit ABIN6909057
543,40 €
Plus frais de livraison 40,00 € et TVA
100 μL
Destination: France
Envoi sous 10 à 14 jours ouvrables
 
ZNF771 Reactivité: Humain, Souris Hôte: Lapin Polyclonal Alexa Fluor 647
N° du produit ABIN6919608
543,40 €
Plus frais de livraison 40,00 € et TVA
100 μL
Destination: France
Envoi sous 10 à 14 jours ouvrables
 
ZNF771 Reactivité: Humain, Souris Hôte: Lapin Polyclonal Alexa Fluor 750
N° du produit ABIN6860868
543,40 €
Plus frais de livraison 40,00 € et TVA
100 μL
Destination: France
Envoi sous 10 à 14 jours ouvrables
 
ZNF771 Reactivité: Humain, Souris Hôte: Lapin Polyclonal Alexa Fluor 488
N° du produit ABIN6820615
543,40 €
Plus frais de livraison 40,00 € et TVA
100 μL
Destination: France
Envoi sous 10 à 14 jours ouvrables
 
ZNF771 Reactivité: Humain, Souris Hôte: Lapin Polyclonal Alexa Fluor 594
N° du produit ABIN6836678
543,40 €
Plus frais de livraison 40,00 € et TVA
100 μL
Destination: France
Envoi sous 10 à 14 jours ouvrables
 
ZNF771 Reactivité: Humain WB Hôte: Lapin Polyclonal unconjugated
N° du produit ABIN7846939
480,77 €
Plus frais de livraison 40,00 € et TVA
200 μL
Destination: France
Envoi sous 8 à 10 jours ouvrables
 
  • Type Primary
    • Primary
  • Application
    • Western Blotting (WB)
    • ELISA
    • Immunofluorescence (IF)
    • Immunocytochemistry (ICC)
    • Immunohistochemistry (IHC)
  • Réactivité
    • Human
    • Mouse
    • Cow
    • Dog
    • Guinea Pig
    • Monkey
    • Rat
  • Cité dans publications
  • Images disponible
  • Hote
    • Rabbit
  • Clonalité
    • Polyclonal
  • Epitope
    • Internal Region
    • AA 130-210
    • AA 151-200
    • AA 161-210
    • AA 35-84
    • Center
    • N-Term
  • Conjugué
    • Inconjugué
    • Alexa Fluor 488
    • Alexa Fluor 555
    • Alexa Fluor 594
    • Alexa Fluor 647
    • Alexa Fluor 680
    • Alexa Fluor 750
    • Biotin
  • Isotype
    • IgG
  • Format
    • Liquid
    • Lyophilized
  • Supplier
    • Signalway
    • antibodies-online
    • Assay Biotechnology Company, Inc.
    • Aviva Systems Biology
    • Cohesion Biosciences

Dernières publications pour nos ZNF771 Anticorps

Gerhard, Wagner, Feingold, Shenmen, Grouse, Schuler, Klein, Old, Rasooly, Good, Guyer, Peck, Derge, Lipman, Collins, Jang, Sherry, Feolo, Misquitta, Lee, Rotmistrovsky, Greenhut, Schaefer, Buetow et al.: "The status, quality, and expansion of the NIH full-length cDNA project: the Mammalian Gene Collection (MGC). ..." dans: Genome research, Vol. 14, Issue 10B, pp. 2121-7, (2004) (PubMed).

Pseudonymes pour ZNF771 Anticorps

zinc finger protein 771 (ZNF771) Anticorps
zinc finger protein 771 (Zfp771) Anticorps
DSC43 Anticorps
G630024C07Rik Anticorps
Znf771 Anticorps
Vous êtes ici:
Chat with us!