Tel:
+49 (0)241 95 163 153
Fax:
+49 (0)241 95 163 155
E-Mail:
orders@anticorps-enligne.fr

ABCB10 Anticorps

(ATP-Binding Cassette, Sub-Family B (MDR/TAP), Member 10 (ABCB10))

Choisissez l’un des 38 anticorps ABCB10 de notre liste de produits basés sur 1 publication et 28 images de validation.

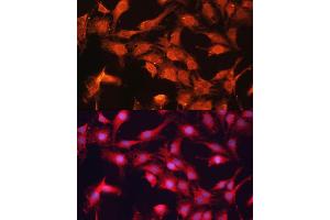
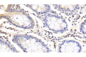
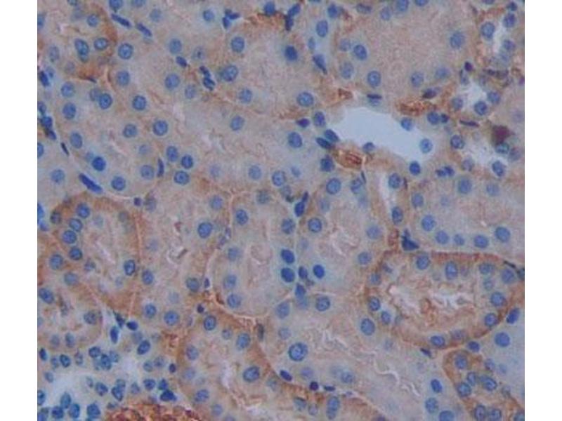
Découvrez des anticorps ABCB10 fiables issus d’une large sélection de fabricants renommés. Notre portefeuille permet une détection précise de ABCB10 dans plusieurs espèces, y compris Human, Mouse, Rat, Cow, Dog, Guinea Pig, Horse, Rabbit, Zebrafish (Danio rerio), Monkey, Pig, Goat, Saccharomyces cerevisiae, et prend en charge diverses applications de recherche telles que WB, IHC, ELISA, ICC, IF.

Trouvez rapidement l’anticorps adapté grâce à nos outils de recherche, de filtrage et de comparaison. Chaque page produit fournit des données de validation détaillées, des références bibliographiques et des retours d’utilisateurs. Contrairement aux ressources dédiées uniquement à la comparaison, vous pouvez acheter directement les anticorps sur notre site. Choisissez parmi des anticorps polyclonaux, monoclonaux ou recombinants ABCB10, issus de différents hôtes tels que Rabbit, Goat. Parcourez nos produits ci-dessous et commandez directement pour soutenir vos recherches en toute confiance.

Les noms alternatifs de ABCB10 sont ABCB10, Abcb10, abcb10, LOC552744.

38 Résultats

ABCB10 Reactivité: Humain WB, IHC Hôte: Lapin Polyclonal unconjugated
N° du produit ABIN7444994
310,62 €
Plus frais de livraison 40,00 € et TVA
100 μL (Autres quantités disponibles)
Destination: France
Envoi sous 11 à 15 jours ouvrables
 
ABCB10 Reactivité: Humain WB, IHC (p) Hôte: Lapin Polyclonal RB01807 unconjugated
N° du produit ABIN652180
434,77 €
Plus frais de livraison 40,00 € et TVA
400 μL (Autres quantités disponibles)
Destination: France
Envoi sous 14 à 17 jours ouvrables
 
ABCB10 Reactivité: Humain, Rat WB, ELISA, IHC, IF, ICC Hôte: Lapin Polyclonal unconjugated
N° du produit ABIN6257917
525,71 €
Plus frais de livraison 40,00 € et TVA
100 μL (Autres quantités disponibles)
Destination: France
Envoi sous 9 à 11 jours ouvrables
 
ABCB10 Reactivité: Humain, Souris, Rat, Boeuf (Vache), Chien, Cobaye, Cheval, Singe, Porc WB Hôte: Lapin Polyclonal unconjugated
Pubmed 1 reference
N° du produit ABIN6746223
789,41 €
Plus frais de livraison 40,00 € et TVA
100 μL
Destination: France
Envoi sous 15 à 20 jours ouvrables
 
ABCB10 Reactivité: Humain WB, ELISA, IHC Hôte: Lapin Polyclonal unconjugated
N° du produit ABIN3030047
631,13 €
Plus frais de livraison 40,00 € et TVA
0.4 mL (Autres quantités disponibles)
Destination: France
Envoi sous 6 à 9 jours ouvrables
 
ABCB10 Reactivité: Humain, Souris, Rat WB, IHC, IF Hôte: Lapin Polyclonal unconjugated
N° du produit ABIN7297968
330,77 €
Plus frais de livraison 40,00 € et TVA
100 μL (Autres quantités disponibles)
Destination: France
Envoi sous 17 à 20 jours ouvrables
 
ABCB10 Reactivité: Humain, Souris, Rat, Boeuf (Vache), Chien, Cobaye, Lapin, Poisson zèbre (Danio rerio), Singe, Porc WB Hôte: Lapin Polyclonal unconjugated
N° du produit ABIN6746222
789,41 €
Plus frais de livraison 40,00 € et TVA
100 μL
Destination: France
Envoi sous 15 à 20 jours ouvrables
 
ABCB10 Reactivité: Humain, Souris WB Hôte: Lapin Polyclonal unconjugated
N° du produit ABIN928026
1.218,13 €
Plus frais de livraison 40,00 € et TVA
100 μL
Destination: France
Envoi sous 20 à 27 jours ouvrables
 
ABCB10 Reactivité: Humain WB, ELISA, IHC, IF Hôte: Lapin Polyclonal unconjugated
N° du produit ABIN3183113
377,51 €
Plus frais de livraison 40,00 € et TVA
100 μL (Autres quantités disponibles)
Destination: France
Envoi sous 8 à 10 jours ouvrables
 
ABCB10 Reactivité: Souris WB, IHC, ICC, IP Hôte: Lapin Polyclonal unconjugated
N° du produit ABIN5013180
252,00 €
Plus frais de livraison 40,00 € et TVA
100 μL
Destination: France
Envoi sous 13 à 17 jours ouvrables
 
ABCB10 Reactivité: Humain WB, ELISA, IHC Hôte: Lapin Polyclonal unconjugated
N° du produit ABIN7568198
527,38 €
Plus frais de livraison 40,00 € et TVA
100 μg
Destination: France
Envoi sous 10 à 13 jours ouvrables
 
ABCB10 Reactivité: Humain WB, IHC, IF, ICC Hôte: Lapin Polyclonal unconjugated
N° du produit ABIN5618674
754,80 €
Plus frais de livraison 40,00 € et TVA
100 μL
Destination: France
Envoi sous 13 à 17 jours ouvrables
 
ABCB10 Reactivité: Humain WB, ELISA, IF, IHC (p) Hôte: Lapin Polyclonal unconjugated
N° du produit ABIN7213412
623,62 €
Plus frais de livraison 40,00 € et TVA
100 μL (Autres quantités disponibles)
Destination: France
Envoi sous 10 à 14 jours ouvrables
 
Recent ABCB10 Reactivité: Humain ELISA Hôte: Chèvre Polyclonal unconjugated
N° du produit ABIN302163
276,02 €
Plus frais de livraison 40,00 € et TVA
100 μg
Destination: France
Envoi sous 5 à 8 jours ouvrables
 
ABCB10 Reactivité: Humain WB Hôte: Lapin Polyclonal unconjugated
N° du produit ABIN7468005
765,00 €
Plus frais de livraison 40,00 € et TVA
100 μL
Destination: France
Envoi sous 7 à 10 jours ouvrables
 
ABCB10 Reactivité: Souris WB, IHC, ICC, IP Hôte: Lapin Polyclonal unconjugated
N° du produit ABIN7635140
317,29 €
Plus frais de livraison 40,00 € et TVA
100 μL (Autres quantités disponibles)
Destination: France
Envoi sous 11 à 15 jours ouvrables
 
ABCB10 Reactivité: Humain, Souris, Rat WB Hôte: Lapin Polyclonal unconjugated
N° du produit ABIN2886751
753,61 €
Plus frais de livraison 40,00 € et TVA
100 μL (Autres quantités disponibles)
Destination: France
Envoi sous 15 à 20 jours ouvrables
 
ABCB10 Reactivité: Humain WB, ELISA, IHC Hôte: Lapin Polyclonal unconjugated
N° du produit ABIN2613698
1.328,20 €
Plus frais de livraison 40,00 € et TVA
200 μL
Destination: France
Envoi sous 15 à 20 jours ouvrables
 
ABCB10 Reactivité: Humain WB, ELISA, IHC Hôte: Lapin Polyclonal PE
N° du produit ABIN1890509
1.708,41 €
Plus frais de livraison 40,00 € et TVA
200 μL
Destination: France
Envoi sous 15 à 20 jours ouvrables
 
ABCB10 Reactivité: Humain WB, ELISA, IHC Hôte: Lapin Polyclonal Biotin
N° du produit ABIN1890506
1.708,41 €
Plus frais de livraison 40,00 € et TVA
200 μL
Destination: France
Envoi sous 15 à 20 jours ouvrables
 
  • Type Primary
    • Primary
  • Application
    • Western Blotting (WB)
    • Immunohistochemistry (IHC)
    • ELISA
    • Immunocytochemistry (ICC)
    • Immunofluorescence (IF)
    • Immunoprecipitation (IP)
    • Immunohistochemistry (Paraffin-embedded Sections) (IHC (p))
  • Réactivité
    • Human
    • Mouse
    • Rat
    • Cow
    • Dog
    • Guinea Pig
    • Horse
    • Rabbit
    • Zebrafish (Danio rerio)
    • Monkey
    • Pig
    • Goat
    • Saccharomyces cerevisiae
  • Cité dans publications
  • Images disponible
  • Sans conservateur uniquement
  • Carrier free only
  • Hote
    • Rabbit
    • Goat
  • Clonalité
    • Polyclonal
  • Clone
    • RB01807
  • Epitope
    • N-Term
    • AA 492-738
    • C-Term
    • AA 1-27
    • AA 640-678
    • Center
    • Internal Region
    • AA 194-243
    • AA 231-280
    • AA 410-490
    • AA 441-490
    • AA 457-715
    • Glu479
    • Middle Region
  • Conjugué
    • Inconjugué
    • Biotin
    • APC
    • Alexa Fluor 488
    • Alexa Fluor 555
    • Alexa Fluor 594
    • Alexa Fluor 647
    • Alexa Fluor 680
    • Alexa Fluor 750
    • FITC
    • HRP
    • PE
  • Isotype
    • IgG
    • Ig Fraction
  • Format
    • Liquid
    • Lyophilized
  • Grade
    • Recent
  • Supplier
    • antibodies-online
    • Signalway
    • Aviva Systems Biology
    • NSJ Bioreagents
    • Assay Biotechnology Company, Inc.
    • Biomatik
    • Boster Bio
    • Cloud-Clone
    • Cohesion Biosciences
    • ProteoGenix

Dernières publications pour nos ABCB10 Anticorps

Graf, Haigh, Corson, Shirihai: "Targeting, import, and dimerization of a mammalian mitochondrial ATP binding cassette (ABC) transporter, ABCB10 (ABC-me)." dans: The Journal of biological chemistry, Vol. 279, Issue 41, pp. 42954-63, (2004) (PubMed).

Zhang, Zhang, Liu, Fisher, Hui, Childs, Dorovini-Zis, Ling: "Characterization of ABCB9, an ATP binding cassette protein associated with lysosomes." dans: The Journal of biological chemistry, Vol. 275, Issue 30, pp. 23287-94, (2000) (PubMed).

Zhang, Hogue, Liu, Fisher, Hui, Childs, Ling: "M-ABC2, a new human mitochondrial ATP-binding cassette membrane protein." dans: FEBS letters, Vol. 478, Issue 1-2, pp. 89-94, (2000) (PubMed).

Ling, Cao, Goeddel: "NF-kappaB-inducing kinase activates IKK-alpha by phosphorylation of Ser-176." dans: Proceedings of the National Academy of Sciences of the United States of America, Vol. 95, Issue 7, pp. 3792-7, (1998) (PubMed).

Nakano, Shindo, Sakon, Nishinaka, Mihara, Yagita, Okumura: "Differential regulation of IkappaB kinase alpha and beta by two upstream kinases, NF-kappaB-inducing kinase and mitogen-activated protein kinase/ERK kinase kinase-1." dans: Proceedings of the National Academy of Sciences of the United States of America, Vol. 95, Issue 7, pp. 3537-42, (1998) (PubMed).

Rothwarf, Zandi, Natoli, Karin: "IKK-gamma is an essential regulatory subunit of the IkappaB kinase complex." dans: Nature, Vol. 395, Issue 6699, pp. 297-300, (1998) (PubMed).

Mertens, Kuhn, Franke: "Plakophilins 2a and 2b: constitutive proteins of dual location in the karyoplasm and the desmosomal plaque." dans: The Journal of cell biology, Vol. 135, Issue 4, pp. 1009-25, (1997) (PubMed).

Pseudonymes pour ABCB10 Anticorps

ATP binding cassette subfamily B member 10 (ABCB10) Anticorps
ATP-binding cassette, sub-family B (MDR/TAP), member 10 (Abcb10) Anticorps
ATP binding cassette subfamily B member 10 (Abcb10) Anticorps
ATP-binding cassette, sub-family B (MDR/TAP), member 10 (abcb10) Anticorps
ATP-binding cassette sub-family B member 10, mitochondrial (LOC552744) Anticorps
ATP-binding cassette, sub-family B (MDR/TAP), member 10 (ABCB10) Anticorps
Abc-me Anticorps
ABCB10 Anticorps
Abcb12 Anticorps
EST20237 Anticorps
GB10581 Anticorps
M-ABC2 Anticorps
MTABC2 Anticorps
si:dkey-162b3.3 Anticorps
Vous êtes ici:
Chat with us!