Tel:
+49 (0)241 95 163 153
Fax:
+49 (0)241 95 163 155
E-Mail:
orders@anticorps-enligne.fr

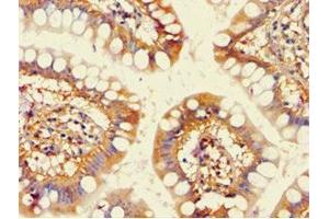
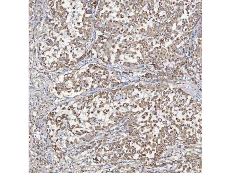
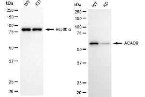
ACAD9 Anticorps

(Acyl-CoA Dehydrogenase Family, Member 9 (ACAD9))

Choisissez l’un des 28 anticorps ACAD9 de notre liste de produits basés sur 16 images de validation.

Découvrez des anticorps ACAD9 fiables issus d’une large sélection de fabricants renommés. Notre portefeuille permet une détection précise de ACAD9 dans plusieurs espèces, y compris Human, Mouse, Rat, Horse, Monkey, Dog, Pig, Rabbit, et prend en charge diverses applications de recherche telles que WB, ELISA, IHC, IF, FACS.

Trouvez rapidement l’anticorps adapté grâce à nos outils de recherche, de filtrage et de comparaison. Chaque page produit fournit des données de validation détaillées, des références bibliographiques et des retours d’utilisateurs. Contrairement aux ressources dédiées uniquement à la comparaison, vous pouvez acheter directement les anticorps sur notre site. Choisissez parmi des anticorps polyclonaux, monoclonaux ou recombinants ACAD9, issus de différents hôtes tels que Rabbit, Mouse. Parcourez nos produits ci-dessous et commandez directement pour soutenir vos recherches en toute confiance.

Les noms alternatifs de ACAD9 sont ACAD9, Acad9.

28 Résultats

KD Validated ACAD9 Reactivité: Humain WB, FACS Hôte: Souris Monoclonal 25GB4150 unconjugated
N° du produit ABIN7797495
598,92 €
Plus frais de livraison 40,00 € et TVA
100 μL
Destination: France
Envoi sous 7 à 10 jours ouvrables
 
ACAD9 Reactivité: Humain ELISA, WB, IHC Hôte: Lapin Polyclonal unconjugated
N° du produit ABIN7143191
394,68 €
Plus frais de livraison 40,00 € et TVA
100 μL (Autres quantités disponibles)
Destination: France
Envoi sous 11 à 15 jours ouvrables
 
ACAD9 Reactivité: Humain WB Hôte: Souris Polyclonal unconjugated
N° du produit ABIN526033
846,56 €
Plus frais de livraison 40,00 € et TVA
50 μg
Destination: France
Envoi sous 8 à 9 jours ouvrables
 
ACAD9 Reactivité: Humain, Souris WB, IF Hôte: Lapin Polyclonal unconjugated
N° du produit ABIN7307448
330,77 €
Plus frais de livraison 40,00 € et TVA
100 μL (Autres quantités disponibles)
Destination: France
Envoi sous 17 à 20 jours ouvrables
 
ACAD9 Reactivité: Humain WB Hôte: Lapin Polyclonal unconjugated
N° du produit ABIN926603
1.309,82 €
Plus frais de livraison 40,00 € et TVA
100 μL
Destination: France
Envoi sous 20 à 27 jours ouvrables
 
ACAD9 Reactivité: Humain, Rat, Cheval, Singe WB Hôte: Lapin Polyclonal unconjugated
N° du produit ABIN6746909
848,83 €
Plus frais de livraison 40,00 € et TVA
100 μL
Destination: France
Envoi sous 15 à 20 jours ouvrables
 
ACAD9 Reactivité: Humain WB, IF Hôte: Lapin Polyclonal unconjugated
N° du produit ABIN6136396
416,00 €
Plus frais de livraison 40,00 € et TVA
100 μL (Autres quantités disponibles)
Destination: France
Envoi sous 8 à 10 jours ouvrables
 
ACAD9 Reactivité: Humain ELISA, WB, IHC Hôte: Lapin Polyclonal unconjugated
N° du produit ABIN7567931
632,86 €
Plus frais de livraison 40,00 € et TVA
100 μg
Destination: France
Envoi sous 10 à 13 jours ouvrables
 
ACAD9 Reactivité: Humain, Souris, Rat ELISA, IHC (p) Hôte: Lapin Polyclonal unconjugated
N° du produit ABIN7221312
748,34 €
Plus frais de livraison 40,00 € et TVA
100 μL (Autres quantités disponibles)
Destination: France
Envoi sous 10 à 14 jours ouvrables
 
ACAD9 Reactivité: Humain ELISA Hôte: Lapin Polyclonal Biotin
N° du produit ABIN7143193
394,68 €
Plus frais de livraison 40,00 € et TVA
100 μg (Autres quantités disponibles)
Destination: France
Envoi sous 11 à 15 jours ouvrables
 
ACAD9 Reactivité: Humain ELISA, IHC Hôte: Lapin Polyclonal unconjugated
N° du produit ABIN7184540
262,68 €
Plus frais de livraison 40,00 € et TVA
100 μg (Autres quantités disponibles)
Destination: France
Envoi sous 11 à 15 jours ouvrables
 
ACAD9 Reactivité: Humain Hôte: Lapin Polyclonal FITC
N° du produit ABIN7143194
394,68 €
Plus frais de livraison 40,00 € et TVA
100 μg (Autres quantités disponibles)
Destination: France
Envoi sous 11 à 15 jours ouvrables
 
ACAD9 Reactivité: Humain ELISA Hôte: Lapin Polyclonal HRP
N° du produit ABIN7143195
394,68 €
Plus frais de livraison 40,00 € et TVA
100 μg (Autres quantités disponibles)
Destination: France
Envoi sous 11 à 15 jours ouvrables
 
ACAD9 Reactivité: Humain, Souris, Rat ELISA, IHC Hôte: Lapin Polyclonal unconjugated
N° du produit ABIN3183137
377,51 €
Plus frais de livraison 40,00 € et TVA
100 μL (Autres quantités disponibles)
Destination: France
Envoi sous 8 à 10 jours ouvrables
 
ACAD9 Reactivité: Humain WB Hôte: Souris Polyclonal unconjugated
N° du produit ABIN2613869
1.375,00 €
Plus frais de livraison 40,00 € et TVA
50 μg
Destination: France
Envoi sous 15 à 20 jours ouvrables
 
ACAD9 Reactivité: Humain, Souris, Rat ELISA, WB, IHC Hôte: Lapin Polyclonal unconjugated
N° du produit ABIN7111261
450,46 €
Plus frais de livraison 40,00 € et TVA
100 μg
Destination: France
Envoi sous 11 à 15 jours ouvrables
 
ACAD9 Reactivité: Humain, Souris, Rat, Cheval, Chien, Porc, Lapin WB Hôte: Lapin Polyclonal unconjugated
N° du produit ABIN2788580
534,11 €
Plus frais de livraison 40,00 € et TVA
100 μL (Autres quantités disponibles)
Destination: France
Envoi sous 6 à 9 jours ouvrables
 
ACAD9 Reactivité: Humain ELISA, WB, IHC, IF, FACS Hôte: Lapin Polyclonal unconjugated
N° du produit ABIN7602670
500,50 €
Plus frais de livraison 40,00 € et TVA
100 μg
Destination: France
Envoi sous 8 à 12 jours ouvrables
 
ACAD9 Reactivité: Humain, Souris ELISA, WB, IHC Hôte: Lapin Polyclonal unconjugated
N° du produit ABIN6090320
628,83 €
Plus frais de livraison 40,00 € et TVA
100 μL (Autres quantités disponibles)
Destination: France
Envoi sous 7 à 13 jours ouvrables
 
ACAD9 Reactivité: Humain ELISA Hôte: Lapin Polyclonal FITC
N° du produit ABIN6089477
628,83 €
Plus frais de livraison 40,00 € et TVA
100 μL (Autres quantités disponibles)
Destination: France
Envoi sous 7 à 13 jours ouvrables
 
  • Type Primary
    • Primary
  • Application
    • Western Blotting (WB)
    • ELISA
    • Immunohistochemistry (IHC)
    • Immunofluorescence (IF)
    • Flow Cytometry (FACS)
    • Immunochromatography (IC)
    • Immunohistochemistry (Paraffin-embedded Sections) (IHC (p))
  • Réactivité
    • Human
    • Mouse
    • Rat
    • Horse
    • Monkey
    • Dog
    • Pig
    • Rabbit
  • Images disponible
  • Carrier free only
  • Hote
    • Rabbit
    • Mouse
  • Clonalité
    • Polyclonal
    • Monoclonal
  • Clone
    • 25GB4150
  • Epitope
    • AA 1-270
    • C-Term
    • AA 1-621
    • AA 11-429
    • AA 110-595
    • AA 530-610
    • AA 552-601
    • AA 92-621
  • Conjugué
    • Inconjugué
    • FITC
    • Alexa Fluor 488
    • Alexa Fluor 555
    • Alexa Fluor 594
    • Alexa Fluor 647
    • Alexa Fluor 680
    • Alexa Fluor 750
    • Biotin
    • HRP
  • Isotype
    • IgG
    • IgG1
  • Format
    • Liquid
    • Lyophilized
  • Grade
    • KD Validated
  • Supplier
    • antibodies-online
    • Signalway
    • Abbexa
    • Boster Bio
    • Aviva Systems Biology
    • Cohesion Biosciences
    • ProteoGenix

Pseudonymes pour ACAD9 Anticorps

acyl-CoA dehydrogenase family member 9 (ACAD9) Anticorps
acyl-CoA dehydrogenase family, member 9 (Acad9) Anticorps
acyl-Coenzyme A dehydrogenase family, member 9 (Acad9) Anticorps
2600017P15Rik Anticorps
4732402K02 Anticorps
C630012L17Rik Anticorps
NPD002 Anticorps
Nyggf2 Anticorps
Vous êtes ici:
Chat with us!