Tel:
+49 (0)241 95 163 153
Fax:
+49 (0)241 95 163 155
E-Mail:
orders@anticorps-enligne.fr

AIMP1 Anticorps

(Aminoacyl tRNA Synthetase Complex-Interacting Multifunctional Protein 1 (AIMP1))

Choisissez l’un des 68 anticorps AIMP1 de notre liste de produits basés sur 1 publication et 39 images de validation.

Découvrez des anticorps AIMP1 fiables issus d’une large sélection de fabricants renommés. Notre portefeuille permet une détection précise de AIMP1 dans plusieurs espèces, y compris Human, Mouse, Rat, Dog, Cow, Horse, Rabbit, Zebrafish (Danio rerio), Guinea Pig, Pig, Saccharomyces cerevisiae, et prend en charge diverses applications de recherche telles que WB, ELISA, IF (cc), IF (p), IHC.

Trouvez rapidement l’anticorps adapté grâce à nos outils de recherche, de filtrage et de comparaison. Chaque page produit fournit des données de validation détaillées, des références bibliographiques et des retours d’utilisateurs. Contrairement aux ressources dédiées uniquement à la comparaison, vous pouvez acheter directement les anticorps sur notre site. Choisissez parmi des anticorps polyclonaux, monoclonaux ou recombinants AIMP1, issus de différents hôtes tels que Rabbit, Mouse, Goat. Parcourez nos produits ci-dessous et commandez directement pour soutenir vos recherches en toute confiance.

Les noms alternatifs de AIMP1 sont AIMP1, aimp1, Aimp1, aimp1.S.

68 Résultats

AIMP1 Reactivité: Souris WB, IHC, IP, ICC Hôte: Lapin Polyclonal unconjugated
N° du produit ABIN7430078
341,14 €
Plus frais de livraison 40,00 € et TVA
100 μL (Autres quantités disponibles)
Destination: France
Envoi sous 11 à 15 jours ouvrables
 
AIMP1 Reactivité: Humain WB, ELISA, IHC, IF Hôte: Lapin Polyclonal unconjugated
N° du produit ABIN7143995
328,90 €
Plus frais de livraison 40,00 € et TVA
100 μg (Autres quantités disponibles)
Destination: France
Envoi sous 11 à 15 jours ouvrables
 
AIMP1 Reactivité: Humain WB, ICC, IF, IHC (p) Hôte: Lapin Polyclonal unconjugated
N° du produit ABIN2856055
583,17 €
Plus frais de livraison 40,00 € et TVA
100 μL
Destination: France
Envoi sous 7 à 10 jours ouvrables
 
AIMP1 Reactivité: Humain WB, ELISA, IHC, IP Hôte: Lapin Polyclonal unconjugated
N° du produit ABIN7143994
328,90 €
Plus frais de livraison 40,00 € et TVA
100 μL (Autres quantités disponibles)
Destination: France
Envoi sous 11 à 15 jours ouvrables
 
AIMP1 Reactivité: Humain, Souris, Rat WB, ELISA, IHC, IP, ICC, IF, FACS Hôte: Lapin Polyclonal unconjugated
N° du produit ABIN6259844
525,71 €
Plus frais de livraison 40,00 € et TVA
100 μL (Autres quantités disponibles)
Destination: France
Envoi sous 9 à 11 jours ouvrables
 
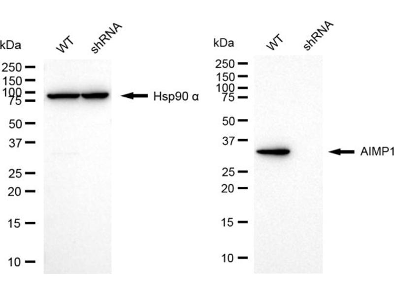
KD Validated AIMP1 Reactivité: Humain WB, FACS Hôte: Lapin Monoclonal 24GB6900 unconjugated Recombinant Antibody
N° du produit ABIN7797587
598,92 €
Plus frais de livraison 40,00 € et TVA
100 μL
Destination: France
Envoi sous 7 à 10 jours ouvrables
 
AIMP1 Reactivité: Humain WB, ELISA Hôte: Souris Monoclonal 3H5 unconjugated
N° du produit ABIN522734
651,20 €
Plus frais de livraison 40,00 € et TVA
100 μg
Destination: France
Envoi sous 8 à 9 jours ouvrables
 
AIMP1 Reactivité: Humain WB, ELISA, IF Hôte: Souris Monoclonal 1C11 unconjugated
N° du produit ABIN522735
651,20 €
Plus frais de livraison 40,00 € et TVA
100 μg
Destination: France
Envoi sous 8 à 9 jours ouvrables
 
AIMP1 Reactivité: Humain ELISA, IF Hôte: Souris Monoclonal M1 unconjugated
N° du produit ABIN563996
651,20 €
Plus frais de livraison 40,00 € et TVA
100 μg
Destination: France
Envoi sous 8 à 9 jours ouvrables
 
Verified AIMP1 Reactivité: Humain WB, ELISA, IHC Hôte: Chèvre Polyclonal unconjugated
N° du produit ABIN5539814
488,25 €
Plus frais de livraison 40,00 € et TVA
100 μg
Destination: France
Envoi sous 5 à 8 jours ouvrables
 
AIMP1 Reactivité: Humain WB, IHC, IP, ICC Hôte: Lapin Polyclonal unconjugated
N° du produit ABIN1171689
270,00 €
Plus frais de livraison 40,00 € et TVA
100 μL (Autres quantités disponibles)
Destination: France
Envoi sous 13 à 17 jours ouvrables
 
AIMP1 Reactivité: Humain, Chien WB Hôte: Lapin Polyclonal unconjugated
N° du produit ABIN634468
1.218,13 €
Plus frais de livraison 40,00 € et TVA
100 μL
Destination: France
Envoi sous 13 à 17 jours ouvrables
 
Verified AIMP1 Reactivité: Humain, Souris, Rat WB, ELISA Hôte: Chèvre Polyclonal unconjugated
N° du produit ABIN5539813
488,25 €
Plus frais de livraison 40,00 € et TVA
100 μg
Destination: France
Envoi sous 5 à 8 jours ouvrables
 
Verified AIMP1 Reactivité: Humain WB, ELISA Hôte: Chèvre Polyclonal Biotin
N° du produit ABIN5539815
488,25 €
Plus frais de livraison 40,00 € et TVA
100 μg
Destination: France
Envoi sous 5 à 8 jours ouvrables
 
AIMP1 Reactivité: Humain, Souris, Rat, Chien, Boeuf (Vache), Cheval, Lapin, Poisson zèbre (Danio rerio), Cobaye WB Hôte: Lapin Polyclonal unconjugated
Pubmed 1 reference
N° du produit ABIN2778912
534,11 €
Plus frais de livraison 40,00 € et TVA
100 μL (Autres quantités disponibles)
Destination: France
Envoi sous 6 à 9 jours ouvrables
 
AIMP1 Reactivité: Humain WB, IF (cc), IF (p) Hôte: Lapin Polyclonal AbBy Fluor® 750
N° du produit ABIN5001901
426,37 €
Plus frais de livraison 40,00 € et TVA
100 μL
Destination: France
Envoi sous 20 à 25 jours ouvrables
 
AIMP1 Reactivité: Humain WB, IF (cc), IF (p) Hôte: Lapin Polyclonal AbBy Fluor® 680
N° du produit ABIN5001900
426,37 €
Plus frais de livraison 40,00 € et TVA
100 μL
Destination: France
Envoi sous 20 à 25 jours ouvrables
 
AIMP1 Reactivité: Humain WB, IHC, ICC Hôte: Lapin Polyclonal Biotin
N° du produit ABIN7695369
481,35 €
Plus frais de livraison 40,00 € et TVA
200 μL (Autres quantités disponibles)
Destination: France
Envoi sous 11 à 15 jours ouvrables
 
AIMP1 Reactivité: Humain WB, ELISA, IHC Hôte: Lapin Polyclonal unconjugated
N° du produit ABIN7568056
527,38 €
Plus frais de livraison 40,00 € et TVA
100 μg
Destination: France
Envoi sous 10 à 13 jours ouvrables
 
AIMP1 Reactivité: Humain WB, ELISA Hôte: Lapin Polyclonal unconjugated
N° du produit ABIN7218782
623,62 €
Plus frais de livraison 40,00 € et TVA
100 μL (Autres quantités disponibles)
Destination: France
Envoi sous 10 à 14 jours ouvrables
 
  • Type Primary
    • Primary
  • Application
    • Western Blotting (WB)
    • ELISA
    • Immunofluorescence (Cultured Cells) (IF (cc))
    • Immunofluorescence (Paraffin-embedded Sections) (IF (p))
    • Immunohistochemistry (IHC)
    • Immunohistochemistry (Paraffin-embedded Sections) (IHC (p))
    • Immunofluorescence (IF)
    • Immunoprecipitation (IP)
    • Enzyme Immunoassay (EIA)
    • Immunocytochemistry (ICC)
    • Flow Cytometry (FACS)
    • Immunohistochemistry (Frozen Sections) (IHC (fro))
    • Immunofluorescence (fixed cells) (IF/ICC)
    • Immunohistochemistry (Formalin-fixed Paraffin-embedded Sections) (IHC (fp))
    • Blocking Antibody (Inhibition)
  • Réactivité
    • Human
    • Mouse
    • Rat
    • Dog
    • Cow
    • Horse
    • Rabbit
    • Zebrafish (Danio rerio)
    • Guinea Pig
    • Pig
    • Saccharomyces cerevisiae
  • Cité dans publications
  • Images disponible
  • Sans conservateur uniquement
  • Carrier free only
  • Hote
    • Rabbit
    • Mouse
    • Goat
  • Clonalité
    • Polyclonal
    • Monoclonal
  • Clone
    • 546-2
    • 1C11
    • 24GB6900
    • 3H5
    • 8C302
    • ABS1565
    • M1
  • Epitope
    • AA 201-300
    • AA 25-180
    • AA 1-312
    • AA 137-149
    • AA 148-312
    • AA 240-290
    • C-Term
    • Internal Region
    • N-Term
    • AA 1-233
    • AA 1-263
    • AA 100-310
    • AA 125-175
    • AA 2-310
    • AA 262-312
    • AA 91-140
    • Middle Region
  • Conjugué
    • Inconjugué
    • Biotin
    • FITC
    • HRP
    • APC
    • AbBy Fluor® 350
    • AbBy Fluor® 488
    • AbBy Fluor® 555
    • AbBy Fluor® 594
    • AbBy Fluor® 647
    • AbBy Fluor® 680
    • AbBy Fluor® 750
    • Alexa Fluor 488
    • Alexa Fluor 555
    • Alexa Fluor 594
    • Alexa Fluor 647
    • Alexa Fluor 680
    • Alexa Fluor 750
    • Cy3
    • Cy5
    • Cy5.5
    • Cy7
  • Isotype
    • IgG
    • IgG2a
    • IgG1
    • IgG2b
    • kappa
  • Type Proteine
    • Recombinant Antibody
  • Format
    • Liquid
    • Lyophilized
  • Grade
    • Verified
    • KD Validated
  • Supplier
    • antibodies-online
    • Signalway
    • Acris
    • Abbexa
    • Aviva Systems Biology
    • ProSci
    • ProteoGenix
    • USBio
    • Abeomics
    • Assay Biotechnology Company, Inc.
    • Cloud-Clone
    • RayBiotech

Dernières publications pour nos AIMP1 Anticorps

Tandle, Mazzanti, Alexander, Roberts, Libutti: "Endothelial monocyte activating polypeptide-II induced gene expression changes in endothelial cells." dans: Cytokine, Vol. 30, Issue 6, pp. 347-58, (2005) (PubMed).

Mueller, Richt, Meyermann, Deininger, Schluesener: "Accumulation of the proinflammatory cytokine endothelial-monocyte-activating polypeptide II in ramified microglial cells in brains of Borna virus infected Lewis rats." dans: Neuroscience letters, Vol. 339, Issue 3, pp. 215-8, (2003) (PubMed).

Mueller, Schluesener, Conrad, Meyermann, Schwab: "Spinal cord injury induces lesional expression of the proinflammatory and antiangiogenic cytokine EMAP II." dans: Journal of neurotrauma, Vol. 20, Issue 10, pp. 1007-15, (2003) (PubMed).

Pseudonymes pour AIMP1 Anticorps

aminoacyl tRNA synthetase complex interacting multifunctional protein 1 (AIMP1) Anticorps
aminoacyl tRNA synthetase complex-interacting multifunctional protein 1 (aimp1) Anticorps
aminoacyl tRNA synthetase complex interacting multifunctional protein 1 (aimp1) Anticorps
aminoacyl tRNA synthetase complex-interacting multifunctional protein 1 (Aimp1) Anticorps
aminoacyl tRNA synthetase complex-interacting multifunctional protein 1 S homeolog (aimp1.S) Anticorps
9830137A06Rik Anticorps
AIMP1 Anticorps
AIMP1/p43 Anticorps
EMAP2 Anticorps
Emap2 Anticorps
EMAPII Anticorps
HLD3 Anticorps
p43 Anticorps
SCYE1 Anticorps
Scye1 Anticorps
scye1 Anticorps
wu:fa95a05 Anticorps
zgc:154081 Anticorps
Vous êtes ici:
Chat with us!