Tel:
+49 (0)241 95 163 153
Fax:
+49 (0)241 95 163 155
E-Mail:
orders@anticorps-enligne.fr

Annexin A13 Anticorps

(Annexin A13 (ANXA13))

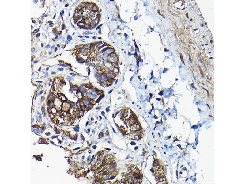
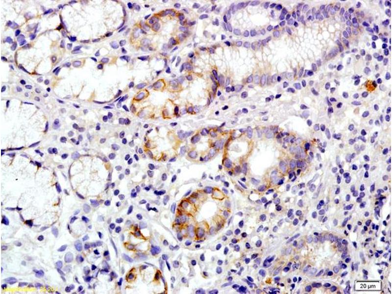
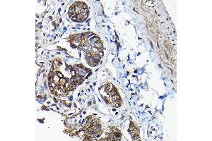
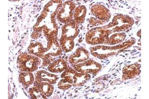
Choisissez l’un des 64 anticorps Annexin A13 de notre liste de produits basés sur 6 publications et 27 images de validation.

Découvrez des anticorps Annexin A13 fiables issus d’une large sélection de fabricants renommés. Notre portefeuille permet une détection précise de Annexin A13 dans plusieurs espèces, y compris Human, Mouse, Dog, Rat, Guinea Pig, Horse, Cow, Pig, Rabbit, Chemical, Monkey, Sheep, Zebrafish (Danio rerio), et prend en charge diverses applications de recherche telles que WB, ELISA, IF (cc), IF (p), IHC.

Trouvez rapidement l’anticorps adapté grâce à nos outils de recherche, de filtrage et de comparaison. Chaque page produit fournit des données de validation détaillées, des références bibliographiques et des retours d’utilisateurs. Contrairement aux ressources dédiées uniquement à la comparaison, vous pouvez acheter directement les anticorps sur notre site. Choisissez parmi des anticorps polyclonaux, monoclonaux ou recombinants Annexin A13, issus de différents hôtes tels que Rabbit, Mouse, Goat. Parcourez nos produits ci-dessous et commandez directement pour soutenir vos recherches en toute confiance.

Les noms alternatifs de Annexin A13 sont ANXA13, anxa13.L, Anxa13, anxa13, PAAG_01138.

64 Résultats

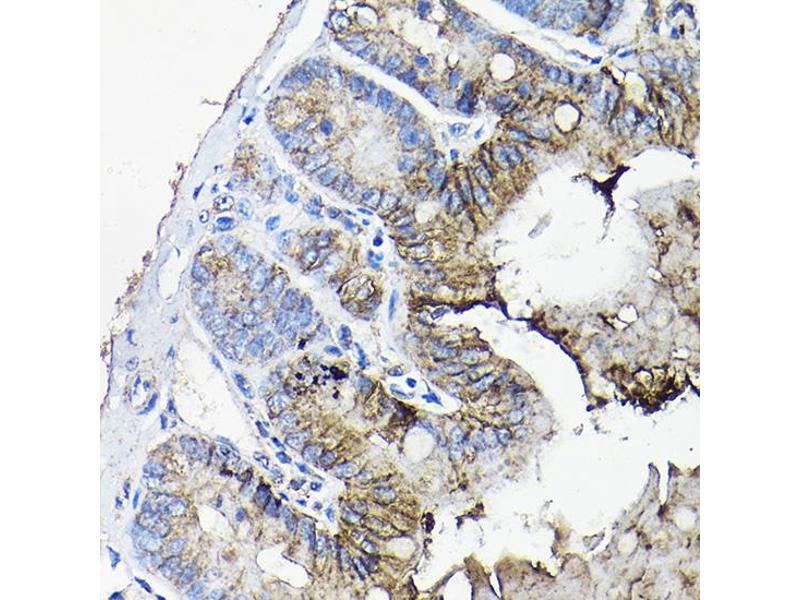
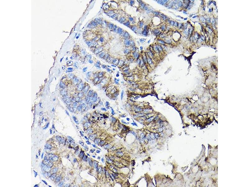
ANXA13 Reactivité: Humain WB, IHC Hôte: Lapin Polyclonal unconjugated
N° du produit ABIN6136922
320,00 €
Plus frais de livraison 40,00 € et TVA
100 μL (Autres quantités disponibles)
Destination: France
Envoi sous 8 à 10 jours ouvrables
 
ANXA13 Reactivité: Humain, Souris WB, ELISA, IHC Hôte: Lapin Polyclonal unconjugated
Pubmed 1 reference
N° du produit ABIN7251757
449,00 €
Plus frais de livraison 40,00 € et TVA
200 μL (Autres quantités disponibles)
Destination: France
Envoi sous 9 à 13 jours ouvrables
 
ANXA13 Reactivité: Humain WB, ICC, IF, IHC (p) Hôte: Lapin Polyclonal unconjugated
N° du produit ABIN2857037
583,17 €
Plus frais de livraison 40,00 € et TVA
100 μL
Destination: France
Envoi sous 7 à 10 jours ouvrables
 
ANXA13 Reactivité: Humain WB Hôte: Lapin Polyclonal RB30663 unconjugated
Pubmed 5 références
N° du produit ABIN1881061
434,77 €
Plus frais de livraison 40,00 € et TVA
400 μL (Autres quantités disponibles)
Destination: France
Envoi sous 14 à 17 jours ouvrables
 
ANXA13 Reactivité: Humain, Souris IHC, IF Hôte: Lapin Polyclonal unconjugated
N° du produit ABIN7073061
592,31 €
Plus frais de livraison 40,00 € et TVA
100 μL
Destination: France
Envoi sous 13 à 20 jours ouvrables
 
ANXA13 Reactivité: Chien WB, ELISA Hôte: Lapin Polyclonal unconjugated
N° du produit ABIN7141175
328,90 €
Plus frais de livraison 40,00 € et TVA
100 μg (Autres quantités disponibles)
Destination: France
Envoi sous 11 à 15 jours ouvrables
 
ANXA13 Reactivité: Humain WB, ELISA, IF (cc), IF (p), ICC, IHC (p), IHC (fro) Hôte: Lapin Polyclonal unconjugated
N° du produit ABIN1714416
357,70 €
Plus frais de livraison 40,00 € et TVA
100 μL
Destination: France
Envoi sous 8 à 12 jours ouvrables
 
ANXA13 Reactivité: Souris, Rat WB Hôte: Lapin Polyclonal unconjugated
N° du produit ABIN7073062
592,31 €
Plus frais de livraison 40,00 € et TVA
100 μL
Destination: France
Envoi sous 13 à 20 jours ouvrables
 
ANXA13 Reactivité: Humain WB Hôte: Souris Polyclonal unconjugated
N° du produit ABIN513372
651,20 €
Plus frais de livraison 40,00 € et TVA
50 μg
Destination: France
Envoi sous 8 à 9 jours ouvrables
 
ANXA13 Reactivité: Humain, Chien, Rat, Cobaye, Boeuf (Vache) WB Hôte: Lapin Polyclonal unconjugated
N° du produit ABIN203073
741,67 €
Plus frais de livraison 40,00 € et TVA
100 μL
Destination: France
Envoi sous 15 à 20 jours ouvrables
 
ANXA13 Reactivité: Humain, Porc WB Hôte: Lapin Polyclonal unconjugated
N° du produit ABIN203074
741,67 €
Plus frais de livraison 40,00 € et TVA
100 μL
Destination: France
Envoi sous 15 à 20 jours ouvrables
 
ANXA13 Reactivité: Humain, Souris, Rat, Cheval, Porc, Singe WB Hôte: Lapin Polyclonal unconjugated
N° du produit ABIN6746204
789,41 €
Plus frais de livraison 40,00 € et TVA
100 μL
Destination: France
Envoi sous 15 à 20 jours ouvrables
 
ANXA13 Reactivité: Humain, Souris, Chien, Rat, Cobaye, Cheval, Lapin, Boeuf (Vache), Porc, Mouton, Poisson zèbre (Danio rerio) WB Hôte: Lapin Polyclonal unconjugated
N° du produit ABIN2775607
534,11 €
Plus frais de livraison 40,00 € et TVA
100 μL (Autres quantités disponibles)
Destination: France
Envoi sous 6 à 9 jours ouvrables
 
ANXA13 Reactivité: Humain WB, IHC, ICC, IP Hôte: Lapin Polyclonal unconjugated
N° du produit ABIN7634722
304,89 €
Plus frais de livraison 40,00 € et TVA
100 μL (Autres quantités disponibles)
Destination: France
Envoi sous 11 à 15 jours ouvrables
 
ANXA13 Reactivité: Chien Hôte: Lapin Polyclonal FITC
N° du produit ABIN7141177
328,90 €
Plus frais de livraison 40,00 € et TVA
100 μg (Autres quantités disponibles)
Destination: France
Envoi sous 11 à 15 jours ouvrables
 
ANXA13 Reactivité: Chien ELISA Hôte: Lapin Polyclonal HRP
N° du produit ABIN7141178
328,90 €
Plus frais de livraison 40,00 € et TVA
100 μg (Autres quantités disponibles)
Destination: France
Envoi sous 11 à 15 jours ouvrables
 
ANXA13 Reactivité: Chien ELISA Hôte: Lapin Polyclonal Biotin
N° du produit ABIN7141176
328,90 €
Plus frais de livraison 40,00 € et TVA
100 μg (Autres quantités disponibles)
Destination: France
Envoi sous 11 à 15 jours ouvrables
 
ANXA13 Reactivité: Humain WB, ELISA, IHC (p), IHC (fro) Hôte: Lapin Polyclonal Biotin
N° du produit ABIN1700914
419,50 €
Plus frais de livraison 40,00 € et TVA
100 μL
Destination: France
Envoi sous 15 à 22 jours ouvrables
 
ANXA13 Reactivité: Humain WB, IF (cc), IF (p) Hôte: Lapin Polyclonal AbBy Fluor® 750
N° du produit ABIN4996576
426,37 €
Plus frais de livraison 40,00 € et TVA
100 μL
Destination: France
Envoi sous 15 à 22 jours ouvrables
 
ANXA13 Reactivité: Humain WB, IF (cc), IF (p) Hôte: Lapin Polyclonal AbBy Fluor® 680
N° du produit ABIN4996575
426,37 €
Plus frais de livraison 40,00 € et TVA
100 μL
Destination: France
Envoi sous 15 à 22 jours ouvrables
 
  • Type Primary
    • Primary
  • Application
    • Western Blotting (WB)
    • ELISA
    • Immunofluorescence (Cultured Cells) (IF (cc))
    • Immunofluorescence (Paraffin-embedded Sections) (IF (p))
    • Immunohistochemistry (IHC)
    • Immunocytochemistry (ICC)
    • Immunofluorescence (IF)
    • Flow Cytometry (FACS)
    • Immunohistochemistry (Paraffin-embedded Sections) (IHC (p))
    • Immunohistochemistry (Frozen Sections) (IHC (fro))
    • Immunoprecipitation (IP)
    • Enzyme Immunoassay (EIA)
    • Radioimmunoassay (RIA)
  • Réactivité
    • Human
    • Mouse
    • Dog
    • Rat
    • Guinea Pig
    • Horse
    • Cow
    • Pig
    • Rabbit
    • Chemical
    • Monkey
    • Sheep
    • Zebrafish (Danio rerio)
  • Cité dans publications
  • Images disponible
  • Sans conservateur uniquement
  • Carrier free only
  • Hote
    • Rabbit
    • Mouse
    • Goat
  • Clonalité
    • Polyclonal
  • Clone
    • RB30663
  • Epitope
    • AA 241-316
    • AA 1-30
    • AA 1-316
    • AA 2-316
    • N-Term
    • AA 1-357
    • AA 100-316
    • AA 151-200
    • AA 40-89
    • AA 62-111
    • C-Term
    • Middle Region
  • Conjugué
    • Inconjugué
    • FITC
    • Biotin
    • HRP
    • APC
    • PE
    • AbBy Fluor® 350
    • AbBy Fluor® 488
    • AbBy Fluor® 555
    • AbBy Fluor® 594
    • AbBy Fluor® 647
    • AbBy Fluor® 680
    • AbBy Fluor® 750
    • Alexa Fluor 488
    • Alexa Fluor 555
    • Alexa Fluor 594
    • Alexa Fluor 647
    • Alexa Fluor 680
    • Alexa Fluor 750
    • Cy3
    • Cy5
    • Cy5.5
    • Cy7
    • PerCP
  • Isotype
    • IgG
    • Ig Fraction
  • Format
    • Liquid
    • Lyophilized
  • Supplier
    • antibodies-online
    • Signalway
    • Assaypro
    • Aviva Systems Biology
    • Abbexa
    • Biomatik
    • Cohesion Biosciences
    • Elabscience
    • USBio

Dernières publications pour nos Annexin A13 Anticorps

Bizaki-Vallaskangas, Rämö, Sliz, Kivekäs, Willberg, Saarentaus, Toppila-Salmi, Dietz, Haapaniemi, Hytönen, Toivola, Palotie, Mäkitie, Kettunen: "Genome-wide association study indicates novel associations of annexin A13 to secretory and GAS2L2 with mucous otitis media." dans: Scientific reports, Vol. 14, Issue 1, pp. 18344, (2024) (PubMed).

Reiske, Sui, Ung-Medoff, Donahue, Li, Goldblatt, Li, Kinch: "Identification of annexin A13 as a regulator of chemotherapy resistance using random homozygous gene perturbation." dans: Analytical and quantitative cytology and histology / the International Academy of Cytology [and] American Society of Cytology, Vol. 32, Issue 2, pp. 61-9, (2010) (PubMed).

Anderson, Polanski, Pieper, Gatlin, Tirumalai, Conrads, Veenstra, Adkins, Pounds, Fagan, Lobley: "The human plasma proteome: a nonredundant list developed by combination of four separate sources." dans: Molecular & cellular proteomics : MCP, Vol. 3, Issue 4, pp. 311-26, (2004) (PubMed).

Iglesias, Morgan, Jenkins, Copeland, Gilbert, Fernandez: "Comparative genetics and evolution of annexin A13 as the founder gene of vertebrate annexins." dans: Molecular biology and evolution, Vol. 19, Issue 5, pp. 608-18, (2002) (PubMed).

Noda, Okada, Saito, Setou, Xu, Zhang, Hirokawa: "KIFC3, a microtubule minus end-directed motor for the apical transport of annexin XIIIb-associated Triton-insoluble membranes." dans: The Journal of cell biology, Vol. 155, Issue 1, pp. 77-88, (2001) (PubMed).

Gommerman, Oh, Zhou, Tedder, Maurer, Galli, Carroll: "A role for CD21/CD35 and CD19 in responses to acute septic peritonitis: a potential mechanism for mast cell activation." dans: Journal of immunology (Baltimore, Md. : 1950), Vol. 165, Issue 12, pp. 6915-21, (2000) (PubMed).

Plant, Lafont, Lecat, Verkade, Simons, Rotin: "Apical membrane targeting of Nedd4 is mediated by an association of its C2 domain with annexin XIIIb." dans: The Journal of cell biology, Vol. 149, Issue 7, pp. 1473-84, (2000) (PubMed).

Oliver, Martin, Kearney: "IgMhighCD21high lymphocytes enriched in the splenic marginal zone generate effector cells more rapidly than the bulk of follicular B cells." dans: Journal of immunology (Baltimore, Md. : 1950), Vol. 162, Issue 12, pp. 7198-207, (1999) (PubMed).

Cantarelli, Carissimi, Gentili, Ravenna: "JAMA patient page: sexually transmitted diseases (chlamydia)." dans: JAMA : the journal of the American Medical Association, Vol. 280, Issue 6, pp. 582, (1998) (PubMed).

Masuda, Makino, Kasajima: "Contribution of Thy-1-CD4+ T cells to the disorganization of lymphoid follicles in retrovirus-induced immunodeficiency syndrome, MAIDS." dans: Clinical immunology and immunopathology, Vol. 81, Issue 3, pp. 253-60, (1997) (PubMed).

Pseudonymes pour Annexin A13 Anticorps

annexin A13 (ANXA13) Anticorps
annexin A13 L homeolog (anxa13.L) Anticorps
annexin A13 (Anxa13) Anticorps
annexin A13 (anxa13) Anticorps
annexin A13 (PAAG_01138) Anticorps
1810034H17Rik Anticorps
ANX13 Anticorps
anx13 Anticorps
anxa6 Anticorps
ANXA13 Anticorps
AV055219 Anticorps
ISA Anticorps
MGC82170 Anticorps
MGC108373 Anticorps
wu:fb40a08 Anticorps
Vous êtes ici:
Chat with us!