GIT2 anticorps (AA 1-472)
Aperçu rapide pour GIT2 anticorps (AA 1-472) (ABIN1101757)
Antigène
Voir toutes GIT2 AnticorpsReactivité
Hôte
Clonalité
Conjugué
Application
Clone
-
-
Épitope
- AA 1-472
-
Specificité
- Human GIT2
-
Purification
- Purified from ascites by Protein A
-
Immunogène
-
GIT2 (AAH01379, 1 a.a. ~ 472 a.a) full length recombinant protein with GST tag. MW of the GST tag alone is 26 KDa.
Type of Immunogen: Recombinant protein -
Isotype
- IgG2a kappa
-
-
-
-
Indications d'application
-
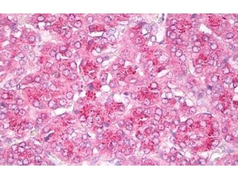
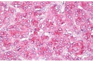
Approved: ELISA, IF (20 μg/mL), IHC, IHC-P (10 μg/mL), WB
Usage: Immunohistochemistry: Formalin-fixed paraffin-embedded sections. Western Blot: Cell lysate, Transfected lysate, Recombinant protein. -
Commentaires
-
Target Species of Antibody: Human
-
Restrictions
- For Research Use only
-
-
-
Format
- Liquid
-
Concentration
- Lot specific
-
Buffer
- PBS, pH 7.4
-
Conseil sur la manipulation
- avoid freeze thaw cycles.
-
Stock
- 4 °C,-20 °C
-
Stockage commentaire
- Short term 4°C, long term aliquot and store at -20°C, avoid freeze-thaw cycles.
-
-
- GIT2 (G Protein-Coupled Receptor Kinase Interactor 2 (GIT2))
-
Autre désignation
- GIT2
-
Sujet
-
Name/Gene ID: GIT2
Synonyms: GIT2, CAT2, KIAA0148, GRK-interacting protein 2, ARF GAP GIT2, CAT-2 -
ID gène
- 9815
-
UniProt
- Q14161
-
Pathways
- Regulation of G-Protein Coupled Receptor Protein Signaling
Antigène
-