Tel:
+49 (0)241 95 163 153
Fax:
+49 (0)241 95 163 155
E-Mail:
orders@anticorps-enligne.fr

KIN anticorps (Middle Region)

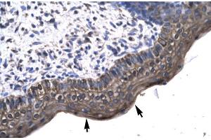
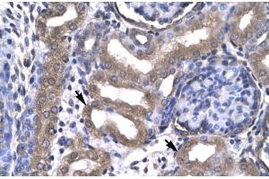
Cet anticorps anti-KIN Polyclonal Lapin (ABIN1107972) détecte spécifiquement KIN dans WB et IHC (p). L’anticorps est réactif avec des échantillons de Humain, Boeuf (Vache) et Chien.
N° du produit ABIN1107972
796,92 €
Plus frais de livraison 40,00 € et TVA
100 μL
Destination: France
Envoi sous 17 jours ouvrables

Aperçu rapide pour KIN anticorps (Middle Region) (ABIN1107972)

Antigène

Voir toutes KIN Anticorps
KIN (KIN, Antigenic Determinant of RecA Protein Homolog (KIN))

Reactivité

  • 12
  • 8
  • 5
  • 4
  • 4
  • 4
  • 4
  • 4
  • 2
  • 1
  • 1
  • 1
  • 1
  • 1
Humain, Boeuf (Vache), Chien

Hôte

  • 11
  • 1
Lapin

Clonalité

  • 11
  • 1
Polyclonal

Conjugué

  • 12
Cet anticorp KIN est non-conjugé

Application

  • 11
  • 3
  • 3
  • 1
Western Blotting (WB), Immunohistochemistry (Paraffin-embedded Sections) (IHC (p))
  • Épitope

    • 2
    • 1
    • 1
    • 1
    • 1
    • 1
    Middle Region

    Séquence

    LKTIGSSASV KRKESSQSST QSKEKKKKKS ALDEIMEIEE EKKRTARTDY

    Réactivité croisée (Details)

    Species reactivity (expected):Bovine, DogSpecies reactivity (tested):Human

    Purification

    Purified on peptide immunoaffinity column

    Immunogène

    The immunogen for anti-KIN antibody: synthetic peptide directed towards the middle region of human KIN.
  • Indications d'application

    Optimal working dilution should be determined by the investigator.

    Restrictions

    For Research Use only
  • Reconstitution

    Add 50 μL of distilled water

    Conseil sur la manipulation

    Avoid repeated freezing and thawing.

    Stock

    -20 °C

    Stockage commentaire

    Store the lyophised antibody at -20 °C for up to one year. Store reconstitued antibody undiluted for one month or in aliquots at -20 °C long term.

    Date de péremption

    12 months
  • Antigène

    KIN (KIN, Antigenic Determinant of RecA Protein Homolog (KIN))

    Autre désignation

    KIN

    Sujet

    Kin is a nuclear protein that forms intranuclear foci during proliferation and is redistributed in the nucleoplasm during the cell cycle. Short-wave ultraviolet light provokes the relocalization of the protein, suggesting its participation in the cellular response to DNA damage. Originally selected based on protein-binding with RecA antibodies, the mouse protein presents a limited similarity with a functional domain of the bacterial RecA protein, a characteristic shared by the human ortholog.Synonyms: BTCD, Binding to curved DNA, DNA/RNA-binding protein KIN17, KIN, KIN, KIN17, antigenic determinant of recA protein homolog

    ID gène

    22944

    NCBI Accession

    NP_036443
Vous êtes ici:
Chat with us!