Tel:
+49 (0)241 95 163 153
Fax:
+49 (0)241 95 163 155
E-Mail:
orders@anticorps-enligne.fr

ANGPTL4 anticorps (Coiled coil domain)

Cet anticorps Souris Monoclonal détecte spécifiquement ANGPTL4 dans WB, IHC et ELISA. Il présente une réactivité avec des échantillons de Humain.
N° du produit ABIN1169317
417,54 €
Plus frais de livraison 40,00 € et TVA
100 μg
Destination: France
Envoi sous 2 à 5 jours ouvrables

Aperçu rapide pour ANGPTL4 anticorps (Coiled coil domain) (ABIN1169317)

Antigène

Voir toutes ANGPTL4 Anticorps
ANGPTL4 (Angiopoietin-Like 4 (ANGPTL4))

Reactivité

  • 56
  • 29
  • 26
  • 5
  • 4
  • 1
Humain

Hôte

  • 65
  • 18
  • 1
  • 1
Souris

Clonalité

  • 68
  • 17
Monoclonal

Conjugué

  • 62
  • 12
  • 5
  • 1
  • 1
  • 1
  • 1
  • 1
  • 1
  • 1
Cet anticorp ANGPTL4 est non-conjugé

Application

  • 66
  • 35
  • 31
  • 15
  • 13
  • 6
  • 5
  • 5
  • 3
  • 1
  • 1
  • 1
Western Blotting (WB), Immunohistochemistry (IHC), ELISA

Clone

Kairos4-397G
  • Épitope

    • 11
    • 7
    • 4
    • 4
    • 3
    • 3
    • 2
    • 2
    • 2
    • 2
    • 2
    • 2
    • 2
    • 2
    • 2
    • 1
    • 1
    • 1
    • 1
    • 1
    • 1
    • 1
    • 1
    • 1
    • 1
    • 1
    Coiled coil domain

    Specificité

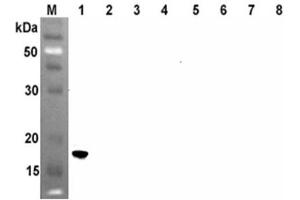
    Recognizes the coiled-coil domain (CCD) of human ANGPTL4. Detects a band of ~19 kDa by Western blot.

     Réactivité croisée

    Humain

    Stérilité

    0.2 μm filtered

    Immunogène

    Recombinant human coiled-coil domain of ANGPTL4.

    Isotype

    IgG1
  • Indications d'application

    Optimal working dilution should be determined by the investigator.

    Restrictions

    For Research Use only
  • Format

    Liquid

    Concentration

    Lot specific

    Buffer

    0.2μm-filtered solution in PBS, pH 7.4. Contains no preservatives.

    Agent conservateur

    Without preservative

    Stock

    4 °C,-20 °C

    Stockage commentaire

    Short Term Storage: +4°C
    Long Term Storage: -20°C
    Stable for at least 1 year after receipt when stored at -20°C.

    Date de péremption

    12 months
  • Antigène

    ANGPTL4 (Angiopoietin-Like 4 (ANGPTL4))

    Autre désignation

    ANGPTL4

    Sujet

    ANGPTL4 mainly expressed in endothelial cells (hypoxia-induced). Regulates angiogenesis and modulates tumorgenesis and directly regulates lipid, glucose, and energy metabolism. Inhibits proliferation, migration, and tubule formation of endothelial cells and reduces vascular leakage. ANGPTL4 is a protein consisting of an N-terminal coiled-coil domain and a C-terminal fibrinogen-like domain (FLD). Both domains have distinct biological functions. The coiled-coil domain is responsible for the inhibitory effects on lipoprotein lipase (LPL) converting the active form of LPL into an inactive form, and the FLD domain mediates its antiangiogenic functions. The coiled coil and the FLD domains are separated by a short linker that can be cleaved after secretion. ANGPTL4 appears on the cell surface as the full-length form, where it can be released by heparin treatment. ANGPTL4 protein is then proteolytically cleaved by proprotein convertases (PCs), including furin, PC5/6, paired basic amino acid-cleaving enzyme 4, and PC7.

    UniProt

    Q9BY76

    Pathways

    Regulation of Lipid Metabolism by PPARalpha
Vous êtes ici:
Chat with us!