Tel:
+49 (0)241 95 163 153
Fax:
+49 (0)241 95 163 155
E-Mail:
orders@anticorps-enligne.fr

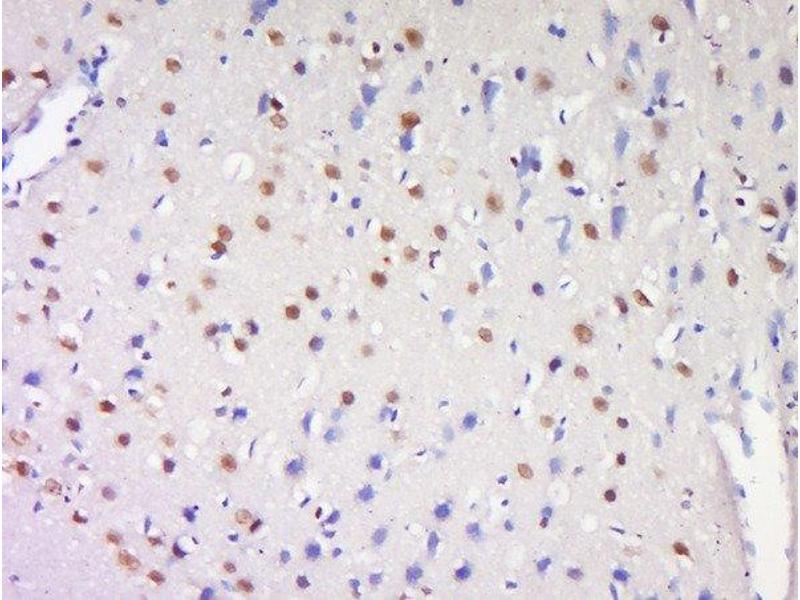
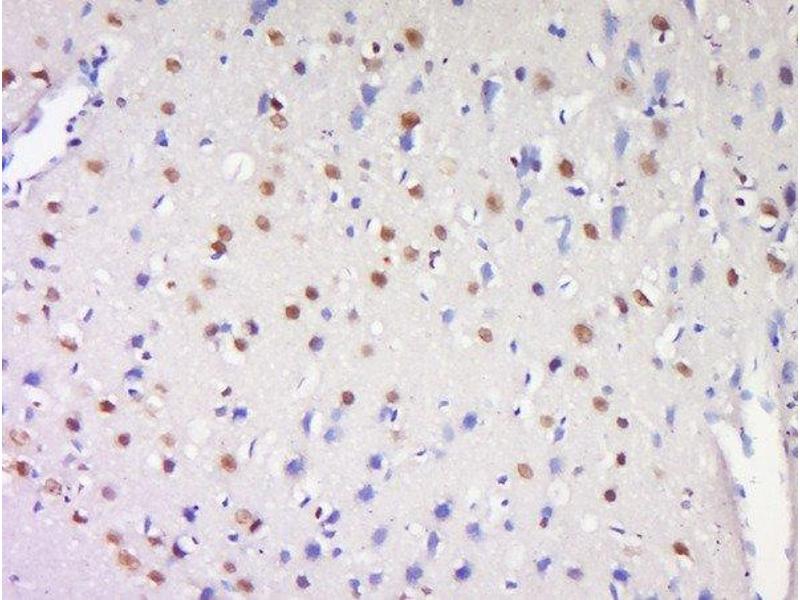
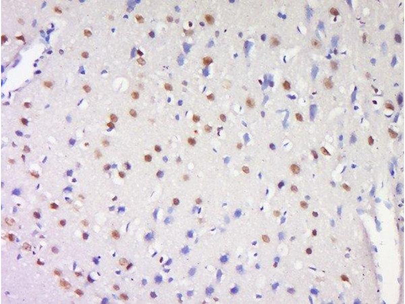
ProSAPiP1 anticorps (AA 151-250)

Cet anticorps anti-ProSAPiP1 Polyclonal Lapin (ABIN1386459) détecte spécifiquement ProSAPiP1 dans WB, FACS, IF (cc), IF (p), ELISA, IHC (p), IHC (fro) et ICC. L’anticorps est réactif avec des échantillons de Souris et Rat.
N° du produit ABIN1386459
357,70 €
Plus frais de livraison 40,00 € et TVA
100 μL
Destination: France
Envoi sous 8 à 12 jours ouvrables

Aperçu rapide pour ProSAPiP1 anticorps (AA 151-250) (ABIN1386459)

Antigène

ProSAPiP1 (PROSAPIP1) (ProSAP-Interacting Protein 1 (PROSAPIP1))

Reactivité

  • 18
  • 18
  • 5
Souris, Rat

Hôte

  • 18
  • 2
Lapin

Clonalité

  • 20
Polyclonal

Conjugué

  • 5
  • 1
  • 1
  • 1
  • 1
  • 1
  • 1
  • 1
  • 1
  • 1
  • 1
  • 1
  • 1
  • 1
  • 1
  • 1
Cet anticorp ProSAPiP1 est non-conjugé

Application

  • 20
  • 13
  • 12
  • 12
  • 4
  • 3
  • 2
  • 2
  • 1
Western Blotting (WB), Flow Cytometry (FACS), Immunofluorescence (Cultured Cells) (IF (cc)), Immunofluorescence (Paraffin-embedded Sections) (IF (p)), ELISA, Immunohistochemistry (Paraffin-embedded Sections) (IHC (p)), Immunohistochemistry (Frozen Sections) (IHC (fro)), Immunocytochemistry (ICC)
  • Épitope

    • 15
    • 2
    • 2
    • 1
    • 1
    AA 151-250

     Réactivité croisée

    Souris, Rat

    Homologie

    Human,Dog,Cow,Pig,Horse,Rabbit

    Purification

    Purified by Protein A.

    Immunogène

    KLH conjugated synthetic peptide derived from human ProSAPiP1

    Isotype

    IgG
  • Indications d'application

    WB 1:300-5000
    ELISA 1:500-1000
    FCM 1:20-100
    IHC-P 1:200-400
    IHC-F 1:100-500
    IF(IHC-P) 1:50-200
    IF(IHC-F) 1:50-200
    IF(ICC) 1:50-200
    ICC 1:100-500

    Restrictions

    For Research Use only
  • Format

    Liquid

    Concentration

    1 μg/μL

    Buffer

    0.01M TBS( pH 7.4) with 1 % BSA, 0.02 % Proclin300 and 50 % Glycerol.

    Agent conservateur

    ProClin

    Précaution d'utilisation

    This product contains ProClin: a POISONOUS AND HAZARDOUS SUBSTANCE, which should be handled by trained staff only.

    Stock

    4 °C,-20 °C

    Stockage commentaire

    Shipped at 4°C. Store at -20°C for one year. Avoid repeated freeze/thaw cycles.

    Date de péremption

    12 months
  • Antigène

    ProSAPiP1 (PROSAPIP1) (ProSAP-Interacting Protein 1 (PROSAPIP1))

    Autre désignation

    ProSAPiP1

    Sujet

    Synonyms: PROSAPIP1, Leucine zipper putative tumor suppressor 3, ProSAP-interacting protein 1, LZTS3, KIAA0552

    Background: The ProSAP family of proteins contain many protein-protein interaction domains and serve as scaffolding mediators within the post-synaptic density (PSD) of excitatory brain synapses. The PSD is an electron-dense structure underneath the post-synaptic plasma membrane of excitatory synapses that anchors and clusters glutamate receptors opposite to the pre-synaptic neurotransmitter release site. Shank proteins contain PDZ modular domains that coordinate the synaptic localization of ion channels, receptors, signaling enzymes, and cell adhesion molecules. The PDZ domain mediates protein-protein interactions via the recognition of a conserved sequence motif at the C-terminus of their target protein(s). ProSAPiP1 (proline rich synapse associated protein interacting protein 1) is a 673 amino acid protein that interacts with the PDZ domain of Shank 3. ProSAPiP1 expression is brain-specific with highest expression within the cerebellum, hippocampus and cerebral cortex.

    ID gène

    9762

    UniProt

    O60299
Vous êtes ici:
Chat with us!