Tel:
+49 (0)241 95 163 153
Fax:
+49 (0)241 95 163 155
E-Mail:
orders@anticorps-enligne.fr

IGSF9 anticorps

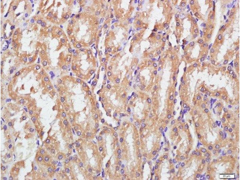
Cet anticorps anti-IGSF9 Polyclonal Lapin (ABIN1387752) détecte spécifiquement IGSF9 dans ELISA, WB, IF (p) et IHC (p). L’anticorps est réactif avec des échantillons de Humain, Souris et Rat.
N° du produit ABIN1387752
384,62 €
Plus frais de livraison 40,00 € et TVA
100 μL
Destination: France
Envoi sous 8 à 12 jours ouvrables

Aperçu rapide pour IGSF9 anticorps (ABIN1387752)

Antigène

Voir toutes IGSF9 Anticorps
IGSF9 (Immunoglobulin Superfamily, Member 9 (IGSF9))

Reactivité

  • 9
  • 2
  • 2
  • 2
  • 2
  • 2
  • 1
  • 1
  • 1
  • 1
Humain, Souris, Rat

Hôte

  • 9
Lapin

Clonalité

  • 9
Polyclonal

Conjugué

  • 5
  • 2
  • 1
  • 1
Cet anticorp IGSF9 est non-conjugé

Application

ELISA, Western Blotting (WB), Immunofluorescence (Paraffin-embedded Sections) (IF (p)), Immunohistochemistry (Paraffin-embedded Sections) (IHC (p))
  •  Réactivité croisée

    Humain, Souris, Rat

    Purification

    Purified by Protein A.

    Immunogène

    KLH conjugated synthetic peptide derived from human IGSF9

    Isotype

    IgG
  • Indications d'application

    WB 1:300-5000
    ELISA 1:500-1000
    IHC-P 1:200-400
    IF(IHC-P) 1:50-200

    Restrictions

    For Research Use only
  • Format

    Liquid

    Concentration

    1 μg/μL

    Buffer

    0.01M TBS( pH 7.4) with 1 % BSA, 0.02 % Proclin300 and 50 % Glycerol.

    Agent conservateur

    ProClin

    Précaution d'utilisation

    This product contains ProClin: a POISONOUS AND HAZARDOUS SUBSTANCE, which should be handled by trained staff only.

    Stock

    4 °C,-20 °C

    Stockage commentaire

    Shipped at 4°C. Store at -20°C for one year. Avoid repeated freeze/thaw cycles.

    Date de péremption

    12 months
  • Antigène

    IGSF9 (Immunoglobulin Superfamily, Member 9 (IGSF9))

    Autre désignation

    IGSF9

    Sujet

    Synonyms: IGSF9A, Dasm1, Dendrite arborization and synapse maturation protein 1, IGSF9 immunoglobulin superfamily, member 9, Immunoglobulin superfamily member 9A, immunoglobulin superfamily, member 9, Ncaml, Nrt1, Protein turtle homolog A, TUTLA_HUMAN.

    Background: Ig (immunoglobulin) superfamily members exhibit functional characteristics including immune responses, growth factor signaling and cell adhesion. IGSF9 (immunoglobulin superfamily, member 9), also known as Nrt1 or IGSF9A, is a 1,179 amino acid single-pass type I membrane protein expressed in a wide variety of fetal tissues at eight and fourteen weeks of gestation. Belonging to the immunoglobulin superfamily and the Turtle family, IGSF9 is thought to play a role in dendrite outgrowth and synapse maturation. IGSF9 contains two fibronectin type-III domains and five Ig-like (immunoglobulin-like) domains. IGSF9 interacts with MAGI-2 and Shank 1, both of which contain SH3 (Src-homology 3) domains. Protein-protein interactions are central events in cellular signal transduction and are often mediated by SH3 domains. IGSF9 is encoded by a gene located on human chromosome 1q23.2 and mouse chromosome 1 H3.

    ID gène

    57549
Vous êtes ici:
Chat with us!