PTGES2 anticorps
Aperçu rapide pour PTGES2 anticorps (ABIN1500491)
Antigène
Voir toutes PTGES2 AnticorpsReactivité
Hôte
Clonalité
Conjugué
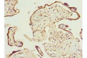
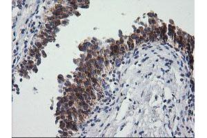
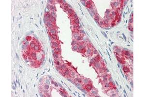
Application
Clone
-
-
Specificité
- Human PTGES2
-
Purification
- Protein A/G purified
-
Immunogène
-
Full length human recombinant protein of human PTGES2(NP_079348) produced in HEK293T cell.
Type of Immunogen: Recombinant protein -
Isotype
- IgG2a
-
-
-
-
Indications d'application
- Approved: IF (1:100), IHC, IHC-P (1:150), WB (1:2000)
-
Commentaires
-
Target Species of Antibody: Human
-
Restrictions
- For Research Use only
-
-
-
Format
- Liquid
-
Concentration
- Lot specific
-
Buffer
- PBS, pH 7.3, 1 % BSA, 50 % glycerol, 0.02 % sodium azide
-
Agent conservateur
- Sodium azide
-
Précaution d'utilisation
- This product contains Sodium azide: a POISONOUS AND HAZARDOUS SUBSTANCE which should be handled by trained staff only.
-
Stock
- -20 °C
-
Stockage commentaire
- Store at -20°C. Avoid freeze-thaw cycles.
-
-
- PTGES2 (Prostaglandin E Synthase 2 (PTGES2))
-
Autre désignation
- PTGES2
-
Sujet
-
Name/Gene ID: PTGES2
Synonyms: PTGES2, C9orf15, GATE-binding factor 1, GBF-1, MPGES-2, PGES2, Prostaglandin E synthase 2 -
ID gène
- 80142
-
NCBI Accession
- NP_079348
-
Pathways
- Interferon-gamma Pathway, Cell RedoxHomeostasis, SARS-CoV-2 Protein Interactome
Antigène
-