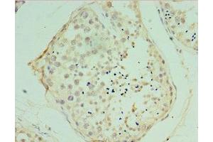
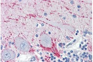
Cet anticorps anti-VAMP2 Polyclonal Lapin (ABIN1513674) détecte spécifiquement VAMP2 dans WB et IHC.
L’anticorps est réactif avec des échantillons de Humain.
PBS with 0.02 % sodium azide,50 % glycerol, pH 7.3.
Agent conservateur
Sodium azide
Précaution d'utilisation
This product contains Sodium azide: a POISONOUS AND HAZARDOUS SUBSTANCE which should be handled by trained staff only.
Conseil sur la manipulation
Avoid freeze / thaw cycles
Stock
-20 °C
Stockage commentaire
Store at -20°C. Avoid freeze / thaw cycles.
Antigène
VAMP2
(Vesicle-Associated Membrane Protein 2 (Synaptobrevin 2) (VAMP2))
Autre désignation
VAMP2
Sujet
The protein encoded by this gene is a member of the vesicle-associated membrane protein (VAMP)/synaptobrevin family. Synaptobrevins/VAMPs, syntaxins, and the 25-kD synaptosomal-associated protein SNAP25 are the main components of a protein complex involved in the docking and/or fusion of synaptic vesicles with the presynaptic membrane. This gene is thought to participate in neurotransmitter release at a step between docking and fusion. The protein forms a stable complex with syntaxin, synaptosomal-associated protein, 25 kD, and synaptotagmin. It also forms a distinct complex with synaptophysin. It is a likely candidate gene for familial infantile myasthenia (FIMG) because of its map location and because it encodes a synaptic vesicle protein of the type that has been implicated in the pathogenesis of FIMG.,VAMP2,SYB2,VAMP-2,Cancer,Signal Transduction,Endocrine & Metabolism,Neuroscience,Cell Type Marker,Neuron marker,Synapse marker,VAMP2