VAMP2 anticorps (AA 1-89)
Aperçu rapide pour VAMP2 anticorps (AA 1-89) (ABIN364330)
Antigène
Voir toutes VAMP2 AnticorpsReactivité
Hôte
Clonalité
Conjugué
Application
Clone
-
-
Épitope
- AA 1-89
-
Purification
- Protein G purified
-
Immunogène
-
Recombinant human Synaptobrevin 2 (1-89aa) purified from E. coli.
Type of Immunogen: Recombinant protein -
Isotype
- IgG1 kappa
-
-
-
-
Indications d'application
-
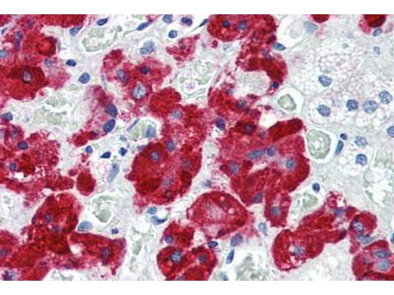
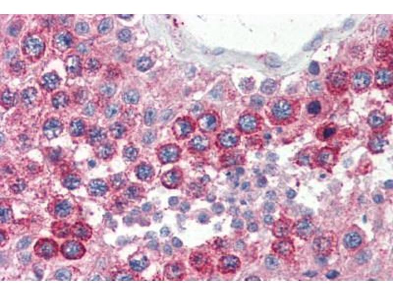
Approved: ELISA, IHC, IHC-P (10 μg/mL), WB (1:1000 - 1:2000)
Usage: Immunohistochemistry: This antibody was validated for use in immunohistochemistry on a panel of 21 formalin-fixed, paraffin-embedded (FFPE) human tissues after heat induced antigen retrieval in pH 6.0 citrate buffer. After incubation with the primary antibody, slides were incubated with biotinylated secondary antibody, followed by alkaline phosphatase-streptavidin and chromogen. The stained slides were evaluated by a pathologist to confirm staining specificity. The optimal working concentration for this antibody was determined to be 10 μg/mL. -
Commentaires
-
Target Species of Antibody: Human
-
Restrictions
- For Research Use only
-
-
-
Format
- Liquid
-
Concentration
- Lot specific
-
Buffer
- PBS, pH 7.4, 0.02 % sodium azide, 10 % Glycerol
-
Agent conservateur
- Sodium azide
-
Précaution d'utilisation
- This product contains Sodium azide: a POISONOUS AND HAZARDOUS SUBSTANCE which should be handled by trained staff only.
-
Conseil sur la manipulation
- Avoid freeze-thaw cycles.
-
Stock
- 4 °C,-20 °C
-
Stockage commentaire
- Short term: 4°C. Long term: Store at -20°C. Avoid freeze-thaw cycles.
-
Date de péremption
- 12 months
-
-
- VAMP2 (Vesicle-Associated Membrane Protein 2 (Synaptobrevin 2) (VAMP2))
-
Autre désignation
- VAMP2 / VAMP-2
-
Sujet
-
Name/Gene ID: VAMP2
Family: Synaptobrevin
Synonyms: VAMP2, SYB2, Synaptobrevin 2, VAMP-2, Synaptobrevin-2 -
ID gène
- 6844
-
UniProt
- P63027
-
Pathways
- Peptide Hormone Metabolism, Synaptic Vesicle Exocytosis, Dicarboxylic Acid Transport
Antigène
-