Tel:
+49 (0)241 95 163 153
Fax:
+49 (0)241 95 163 155
E-Mail:
orders@anticorps-enligne.fr

B-Cell Linker anticorps (pTyr96)

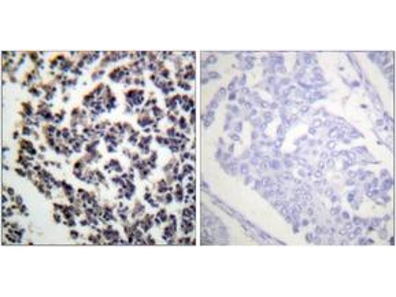
Cet anticorps Lapin Polyclonal détecte spécifiquement B-Cell Linker dans WB, ELISA et IHC. Il présente une réactivité avec des échantillons de Humain et Souris.
N° du produit ABIN1531423
402,00 €
Plus frais de livraison 40,00 € et TVA
Destination: France
Envoi sous 6 à 9 jours ouvrables

Aperçu rapide pour B-Cell Linker anticorps (pTyr96) (ABIN1531423)

Antigène

Voir toutes B-Cell Linker (BLNK) Anticorps
B-Cell Linker (BLNK)

Reactivité

  • 124
  • 92
  • 56
  • 3
  • 3
  • 2
  • 2
  • 2
  • 1
  • 1
  • 1
Humain, Souris

Hôte

  • 126
  • 16
  • 1
Lapin

Clonalité

  • 114
  • 29
Polyclonal

Conjugué

  • 57
  • 7
  • 7
  • 6
  • 4
  • 4
  • 4
  • 4
  • 4
  • 4
  • 4
  • 4
  • 4
  • 4
  • 4
  • 4
  • 4
  • 3
  • 2
  • 2
  • 2
  • 2
  • 1
  • 1
  • 1
Cet anticorp B-Cell Linker est non-conjugé

Application

  • 125
  • 52
  • 35
  • 28
  • 26
  • 20
  • 19
  • 9
  • 7
  • 6
  • 6
  • 3
  • 1
  • 1
Western Blotting (WB), ELISA, Immunohistochemistry (IHC)
  • Épitope

    • 30
    • 19
    • 17
    • 15
    • 9
    • 5
    • 5
    • 3
    • 2
    • 2
    • 2
    • 2
    • 2
    • 2
    • 2
    • 2
    • 1
    • 1
    • 1
    • 1
    • 1
    • 1
    • 1
    AA 62-111, pTyr96

    Specificité

    BLNK (Phospho-Tyr96) Antibody detects endogenous levels of BLNK only when phosphorylated at Tyr96.

    PhosphorylationH:Y96 M:Y96

    Purification

    The antibody was purified from rabbit antiserum by affinity-chromatography using phospho peptide. The antibody against non-phospho peptide was removed by chromatography using corresponding non-phospho peptide.

    Pureté

    > 95 %

    Immunogène

    The antiserum was produced against synthesized peptide derived from human BLNK around the phosphorylation site of Tyr96.

    Isotype

    IgG
  • Indications d'application

    WB: 1:500~1:1000 IHC: 1:50~1:100 ELISA: 1:10000

    Commentaires

    Unigene-Number: Hs.665244 (NCBI Gene Symbol: BLNK)

    Restrictions

    For Research Use only
  • Format

    Liquid

    Concentration

    1 mg/mL

    Buffer

    phosphate buffered saline (without Mg2+ and Ca2+), pH 7.4, 150 mM NaCl, 0.02 % sodium azide and 50 % glycerol.

    Agent conservateur

    Sodium azide

    Précaution d'utilisation

    This product contains sodium azide: a POISONOUS AND HAZARDOUS SUBSTANCE which should be handled by trained staff only.

    Stock

    -20 °C

    Stockage commentaire

    Stable at -20°C for at least 1 year.

    Date de péremption

    12 months
  • Antigène

    B-Cell Linker (BLNK)

    Autre désignation

    BLNK

    Sujet

    Synonyms: B-cell linker protein, LY57, SLP-65, SLP65

    NCBI Gene Symbol: BLNK

    Poids moléculaire

    50 kDa

    ID gène

    29760

    OMIM

    604515

    UniProt

    Q8WV28

    Pathways

    BCR Signaling
Vous êtes ici:
Chat with us!