Tel:
+49 (0)241 95 163 153
Fax:
+49 (0)241 95 163 155
E-Mail:
orders@anticorps-enligne.fr

WEE1 anticorps (pSer53)

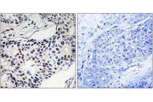
L’anticorps anti-WEE1 Polyclonal Lapin est utilisé pour la détection de WEE1 dans des échantillons de Humain, Souris et Rat. Il a été validé pour ELISA et IHC.
N° du produit ABIN1532086
402,00 €
Plus frais de livraison 40,00 € et TVA
Destination: France
Envoi sous 6 à 9 jours ouvrables

Aperçu rapide pour WEE1 anticorps (pSer53) (ABIN1532086)

Antigène

Voir toutes WEE1 Anticorps
WEE1 (WEE1 Homolog (S. Pombe) (WEE1))

Reactivité

  • 88
  • 49
  • 36
  • 2
Humain, Souris, Rat

Hôte

  • 98
  • 5
  • 2
Lapin

Clonalité

  • 103
  • 2
Polyclonal

Conjugué

  • 50
  • 7
  • 7
  • 6
  • 4
  • 3
  • 2
  • 2
  • 2
  • 2
  • 2
  • 2
  • 2
  • 2
  • 2
  • 2
  • 2
  • 1
  • 1
  • 1
  • 1
  • 1
  • 1
Cet anticorp WEE1 est non-conjugé

Application

  • 84
  • 47
  • 28
  • 28
  • 20
  • 16
  • 8
  • 5
  • 3
  • 3
  • 3
  • 2
  • 1
  • 1
ELISA, Immunohistochemistry (IHC)
  • Épitope

    • 20
    • 15
    • 12
    • 9
    • 8
    • 8
    • 8
    • 5
    • 4
    • 3
    • 2
    • 2
    • 1
    • 1
    • 1
    • 1
    • 1
    • 1
    • 1
    • 1
    • 1
    AA 19-68, pSer53

    Specificité

    WEE1 (Phospho-Ser53) Antibody detects endogenous levels of WEE1 only when phosphorylated at Ser53.

    PhosphorylationH:S53 M:S52 R:S52

    Purification

    The antibody was purified from rabbit antiserum by affinity-chromatography using phospho peptide. The antibody against non-phospho peptide was removed by chromatography using corresponding non-phospho peptide.

    Pureté

    > 95 %

    Immunogène

    The antiserum was produced against synthesized peptide derived from human WEE1 around the phosphorylation site of Ser53.

    Isotype

    IgG
  • Indications d'application

    IHC: 1:50~1:100 ELISA: 1:20000

    Commentaires

    Unigene-Number: Hs.249441 (NCBI Gene Symbol: WEE1)

    Restrictions

    For Research Use only
  • Format

    Liquid

    Concentration

    1 mg/mL

    Buffer

    phosphate buffered saline (without Mg2+ and Ca2+), pH 7.4, 150 mM NaCl, 0.02 % sodium azide and 50 % glycerol.

    Agent conservateur

    Sodium azide

    Précaution d'utilisation

    This product contains sodium azide: a POISONOUS AND HAZARDOUS SUBSTANCE which should be handled by trained staff only.

    Stock

    -20 °C

    Stockage commentaire

    Stable at -20°C for at least 1 year.

    Date de péremption

    12 months
  • Antigène

    WEE1 (WEE1 Homolog (S. Pombe) (WEE1))

    Autre désignation

    WEE1

    Sujet

    Synonyms: WEE1hu, Wee1-like protein kinase, kinase WEE1

    NCBI Gene Symbol: WEE1

    Poids moléculaire

    71 kDa

    ID gène

    7465

    OMIM

    193525

    UniProt

    P30291

    Pathways

    Cycle Cellulaire, Mitotic G1-G1/S Phases, M Phase
Vous êtes ici:
Chat with us!