Tel:
+49 (0)241 95 163 153
Fax:
+49 (0)241 95 163 155
E-Mail:
orders@anticorps-enligne.fr

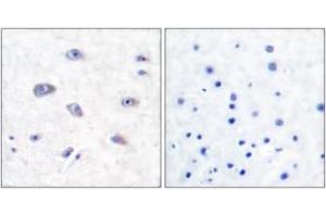
BACE1 anticorps (AA 452-501)

Cet anticorps anti-BACE1 Polyclonal Lapin (ABIN1532227) détecte spécifiquement BACE1 dans IHC, ELISA et IF. L’anticorps est réactif avec des échantillons de Humain, Souris et Rat.
N° du produit ABIN1532227
402,00 €
Plus frais de livraison 40,00 € et TVA
Destination: France
Envoi sous 6 à 9 jours ouvrables

Aperçu rapide pour BACE1 anticorps (AA 452-501) (ABIN1532227)

Antigène

Voir toutes BACE1 Anticorps
BACE1 (Beta-secretase 1 (BACE1))

Reactivité

  • 98
  • 64
  • 53
  • 6
  • 5
  • 4
  • 4
  • 4
  • 4
  • 4
  • 3
  • 3
  • 3
  • 1
  • 1
  • 1
Humain, Souris, Rat

Hôte

  • 87
  • 13
  • 2
  • 1
  • 1
Lapin

Clonalité

  • 72
  • 32
Polyclonal

Conjugué

  • 64
  • 5
  • 4
  • 3
  • 2
  • 2
  • 2
  • 2
  • 2
  • 2
  • 2
  • 1
  • 1
  • 1
  • 1
  • 1
  • 1
  • 1
  • 1
  • 1
  • 1
  • 1
  • 1
  • 1
  • 1
Cet anticorp BACE1 est non-conjugé

Application

  • 80
  • 35
  • 32
  • 24
  • 20
  • 13
  • 13
  • 12
  • 10
  • 10
  • 3
  • 3
  • 3
  • 2
  • 2
  • 1
  • 1
  • 1
Immunohistochemistry (IHC), ELISA, Immunofluorescence (IF)
  • Épitope

    • 16
    • 13
    • 7
    • 5
    • 5
    • 4
    • 3
    • 2
    • 2
    • 2
    • 2
    • 1
    • 1
    • 1
    • 1
    • 1
    • 1
    • 1
    • 1
    • 1
    • 1
    • 1
    • 1
    • 1
    • 1
    • 1
    • 1
    • 1
    AA 452-501

    Specificité

    BACE Antibody detects endogenous levels of total BACE protein.

    Purification

    The antibody was purified from rabbit antiserum by affinity-chromatography using immunogen.

    Pureté

    > 95 %

    Immunogène

    The antiserum was produced against synthesized peptide derived from human BACE.

    Isotype

    IgG
  • Indications d'application

    IHC: 1:50~1:100 IF: 1:100~1:500 ELISA: 1:1000

    Commentaires

    Unigene-Number: Hs.504003 (NCBI Gene Symbol: BACE1)

    Restrictions

    For Research Use only
  • Format

    Liquid

    Concentration

    1 mg/mL

    Buffer

    phosphate buffered saline (without Mg2+ and Ca2+), pH 7.4, 150 mM NaCl, 0.02 % sodium azide and 50 % glycerol.

    Agent conservateur

    Sodium azide

    Précaution d'utilisation

    This product contains sodium azide: a POISONOUS AND HAZARDOUS SUBSTANCE which should be handled by trained staff only.

    Stock

    -20 °C

    Stockage commentaire

    Stable at -20°C for at least 1 year.

    Date de péremption

    12 months
  • Antigène

    BACE1 (Beta-secretase 1 (BACE1))

    Autre désignation

    BACE

    Sujet

    Synonyms: ASP2, Asp 2, Aspartyl protease 2, BACE1, Beta-secretase precursor, Beta-site APP cleaving enzyme, Beta-site amyloid precursor protein cleaving enzyme, Memapsin-2, Membrane-associated aspartic protease 2

    NCBI Gene Symbol: BACE1

    Poids moléculaire

    55 kDa

    ID gène

    23621

    OMIM

    604252

    UniProt

    P56817
Vous êtes ici:
Chat with us!