Tel:
+49 (0)241 95 163 153
Fax:
+49 (0)241 95 163 155
E-Mail:
orders@anticorps-enligne.fr

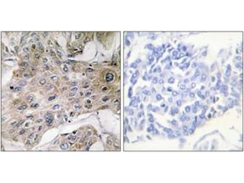
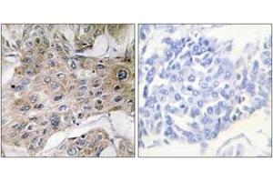
COX7S/A2 (AA 1-50) anticorps

Cet anticorps Lapin Polyclonal détecte spécifiquement COX7S/A2 dans IHC, ELISA et WB. Il présente une réactivité avec des échantillons de Humain, Souris et Rat.
N° du produit ABIN1534371
402,00 €
Plus frais de livraison 40,00 € et TVA
Destination: France
Envoi sous 6 à 9 jours ouvrables

Aperçu rapide pour COX7S/A2 (AA 1-50) anticorps (ABIN1534371)

Antigène

COX7S/A2

Reactivité

Humain, Souris, Rat

Hôte

  • 8
Lapin

Clonalité

  • 8
Polyclonal

Conjugué

  • 1
  • 1
  • 1
  • 1
  • 1
  • 1
  • 1
  • 1
Inconjugué

Application

Immunohistochemistry (IHC), ELISA, Western Blotting (WB)
  • Épitope

    AA 1-50

    Specificité

    COX7S/A2 Antibody detects endogenous levels of total COX7S/A2 protein.

    Purification

    The antibody was purified from rabbit antiserum by affinity-chromatography using immunogen.

    Pureté

    > 95 %

    Immunogène

    The antiserum was produced against synthesized peptide derived from human COX7S/A2.

    Isotype

    IgG
  • Indications d'application

    WB: 1:500~1:1000 IHC: 1:50~1:100 ELISA: 1:10000

    Commentaires

    Unigene-Number: Hs.70312 (NCBI Gene Symbol: COX7A2)

    Restrictions

    For Research Use only
  • Format

    Liquid

    Concentration

    1 mg/mL

    Buffer

    phosphate buffered saline (without Mg2+ and Ca2+), pH 7.4, 150 mM NaCl, 0.02 % sodium azide and 50 % glycerol.

    Agent conservateur

    Sodium azide

    Précaution d'utilisation

    This product contains sodium azide: a POISONOUS AND HAZARDOUS SUBSTANCE which should be handled by trained staff only.

    Stock

    -20 °C

    Stockage commentaire

    Stable at -20°C for at least 1 year.

    Date de péremption

    12 months
  • Antigène

    COX7S/A2

    Sujet

    Synonyms: Cytochrome c oxidase subunit VIIa 3, mitochondrial, COX7AP2, COX7A3, COX7AL2, COX7S

    NCBI Gene Symbol: COX7A2/3

    Poids moléculaire

    11 kDa

    ID gène

    1347

    OMIM

    123997

    UniProt

    O60397, P14406
Vous êtes ici:
Chat with us!