Tel:
+49 (0)241 95 163 153
Fax:
+49 (0)241 95 163 155
E-Mail:
orders@anticorps-enligne.fr

COX7S/A2 (N-Term) anticorps

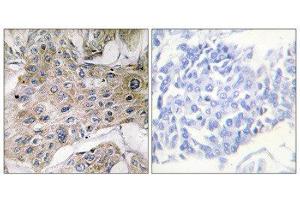
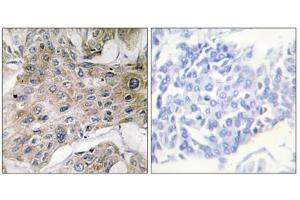
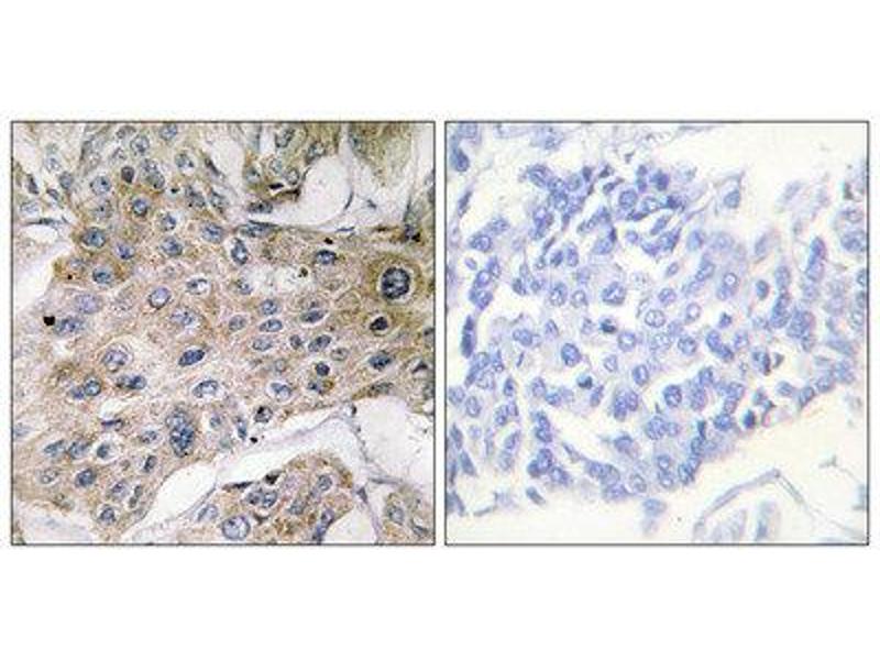
L’anticorps anti-COX7S/A2 Polyclonal Lapin est utilisé pour la détection de COX7S/A2 dans des échantillons de Humain, Souris et Rat. Il a été validé pour IHC, ELISA et WB.
N° du produit ABIN1850330
453,66 €
Plus frais de livraison 40,00 € et TVA
Destination: France
Envoi sous 7 à 13 jours ouvrables

Aperçu rapide pour COX7S/A2 (N-Term) anticorps (ABIN1850330)

Antigène

COX7S/A2

Reactivité

Humain, Souris, Rat

Hôte

  • 8
Lapin

Clonalité

  • 8
Polyclonal

Conjugué

  • 1
  • 1
  • 1
  • 1
  • 1
  • 1
  • 1
  • 1
Inconjugué

Application

Immunohistochemistry (IHC), ELISA, Western Blotting (WB)
  • Épitope

    N-Term

    Specificité

    Rabbit polyclonal antibody against COX7S/A2 protein.

    Purification

    The antibody was affinity-purified from rabbit antiserum by affinity-chromatography using epitope-specific immunogen

    Immunogène

    The antiserum was produced against synthesized peptide derived from N-terminal of human COX7S/A2.
  • Restrictions

    For Research Use only
  • Stock

    -20 °C

    Stockage commentaire

    Aliquot and store at -20 °C. Avoid repeated freeze/thaw cycles.
  • Antigène

    COX7S/A2

    UniProt

    O60397, P14406
Vous êtes ici:
Chat with us!