PLA2G4D anticorps (AA 531-580)
Aperçu rapide pour PLA2G4D anticorps (AA 531-580) (ABIN1534820)
Antigène
Voir toutes PLA2G4D AnticorpsReactivité
Hôte
Clonalité
Conjugué
Application
-
-
Épitope
- AA 531-580
-
Specificité
-
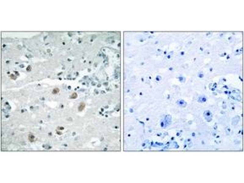
PLA2G4D Antibody detects endogenous levels of total PLA2G4D protein.
-
Purification
- The antibody was purified from rabbit antiserum by affinity-chromatography using immunogen.
-
Pureté
- > 95 %
-
Immunogène
- The antiserum was produced against synthesized peptide derived from human PLA2G4D.
-
Isotype
- IgG
-
-
-
-
Indications d'application
- IHC: 1:50~1:100 ELISA: 1:40000
-
Commentaires
-
Unigene-Number: Hs.380225 (NCBI Gene Symbol: PLA2G4D)
-
Restrictions
- For Research Use only
-
-
-
Format
- Liquid
-
Concentration
- 1 mg/mL
-
Buffer
- phosphate buffered saline (without Mg2+ and Ca2+), pH 7.4, 150 mM NaCl, 0.02 % sodium azide and 50 % glycerol.
-
Agent conservateur
- Sodium azide
-
Précaution d'utilisation
- This product contains sodium azide: a POISONOUS AND HAZARDOUS SUBSTANCE which should be handled by trained staff only.
-
Stock
- -20 °C
-
Stockage commentaire
- Stable at -20°C for at least 1 year.
-
Date de péremption
- 12 months
-
-
- PLA2G4D (phospholipase A2, Group IVD (Cytosolic) (PLA2G4D))
-
Autre désignation
- PLA2G4D
-
Sujet
-
Synonyms: Cytosolic phospholipase A2 delta, cPLA2-delta, Phospholipase A2 group IVD
NCBI Gene Symbol: PLA2G4D
-
Poids moléculaire
- 91 kDa
-
ID gène
- 283748
-
UniProt
- Q86XP0
-
Pathways
- Inositol Metabolic Process, VEGF Signaling
Antigène
-