Tel:
+49 (0)241 95 163 153
Fax:
+49 (0)241 95 163 155
E-Mail:
orders@anticorps-enligne.fr

CHIA anticorps (AA 1-368)

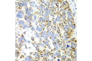
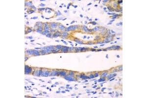
Cet anticorps anti-CHIA Polyclonal Lapin (ABIN1679217) détecte spécifiquement CHIA dans WB, IHC et IF. L’anticorps est réactif avec des échantillons de Humain.
N° du produit ABIN1679217
320,00 €
Plus frais de livraison 40,00 € et TVA
Destination: France
Envoi sous 8 à 10 jours ouvrables

Aperçu rapide pour CHIA anticorps (AA 1-368) (ABIN1679217)

Antigène

Voir toutes CHIA Anticorps
CHIA (Chitinase, Acidic (CHIA))

Reactivité

  • 33
  • 18
  • 8
  • 3
  • 2
  • 2
  • 2
  • 2
  • 2
  • 1
  • 1
Humain

Hôte

  • 33
  • 2
Lapin

Clonalité

  • 35
Polyclonal

Conjugué

  • 21
  • 3
  • 2
  • 1
  • 1
  • 1
  • 1
  • 1
  • 1
  • 1
  • 1
  • 1
Cet anticorp CHIA est non-conjugé

Application

  • 28
  • 16
  • 13
  • 5
  • 2
  • 1
  • 1
Western Blotting (WB), Immunohistochemistry (IHC), Immunofluorescence (IF)
  • Épitope

    • 8
    • 8
    • 5
    • 2
    • 1
    • 1
    AA 1-368

    Séquence

    MVSTPENRQT FITSVIKFLR QYEFDGLDFD WEYPGSRGSP PQDKHLFTVL VQEMREAFEQ EAKQINKPRL MVTAAVAAGI SNIQSGYEIP QLSQYLDYIH VMTYDLHGSW EGYTGENSPL YKYPTDTGSN AYLNVDYVMN YWKDNGAPAE KLIVGFPTYG HNFILSNPSN TGIGAPTSGA GPAGPYAKES GIWAYYEICT FLKNGATQGW DAPQEVPYAY QGNVWVGYDN IKSFDIKAQW LKHNKFGGAM VWAIDLDDFT GTFCNQGKFP LISTLKKALG LQSASCTAPA QPIEPITAAP SGSGNGSGSS SSGGSSGGSG FCAVRANGLY PVANNRNAFW HCVNGVTYQQ NCQAGLVFDT SCDCCNWA

     Réactivité croisée

    Humain, Souris, Rat

    Attributs du produit

    Polyclonal Antibodies

    Purification

    Affinity purification

    Immunogène

    Recombinant fusion protein containing a sequence corresponding to amino acids 1-368 of human CHIA (NP_001244932.1).

    Isotype

    IgG
  • Indications d'application

    WB,1:500 - 1:2000,IHC,1:50 - 1:200,IF,1:50 - 1:200

    Restrictions

    For Research Use only
  • Buffer

    PBS with 0.02 % sodium azide,50 % glycerol, pH 7.3.

    Agent conservateur

    Sodium azide

    Précaution d'utilisation

    This product contains Sodium azide: a POISONOUS AND HAZARDOUS SUBSTANCE which should be handled by trained staff only.

    Stock

    -20 °C

    Stockage commentaire

    Store at -20°C. Avoid freeze / thaw cycles.
  • Antigène

    CHIA (Chitinase, Acidic (CHIA))

    Autre désignation

    CHIA

    Sujet

    The protein encoded by this gene degrades chitin, which is found in the cell wall of most fungi as well as in arthropods and some nematodes. The encoded protein can also stimulate interleukin 13 expression, and variations in this gene can lead to asthma susceptibility. Several transcript variants encoding a few different isoforms have been found for this gene.,CHIA,AMCASE,CHIT2,TSA1902,chitinase,acidic,Signal Transduction,Cell Biology & Developmental Biology,Growth factor,EGF,Immunology & Inflammation,Cytokines,Interleukins,Cell Intrinsic Innate Immunity Signaling Pathway,CHIA

    Poids moléculaire

    33 kDa/40 kDa/52 kDa

    ID gène

    27159

    UniProt

    Q9BZP6
Vous êtes ici:
Chat with us!