Tel:
+49 (0)241 95 163 153
Fax:
+49 (0)241 95 163 155
E-Mail:
orders@anticorps-enligne.fr

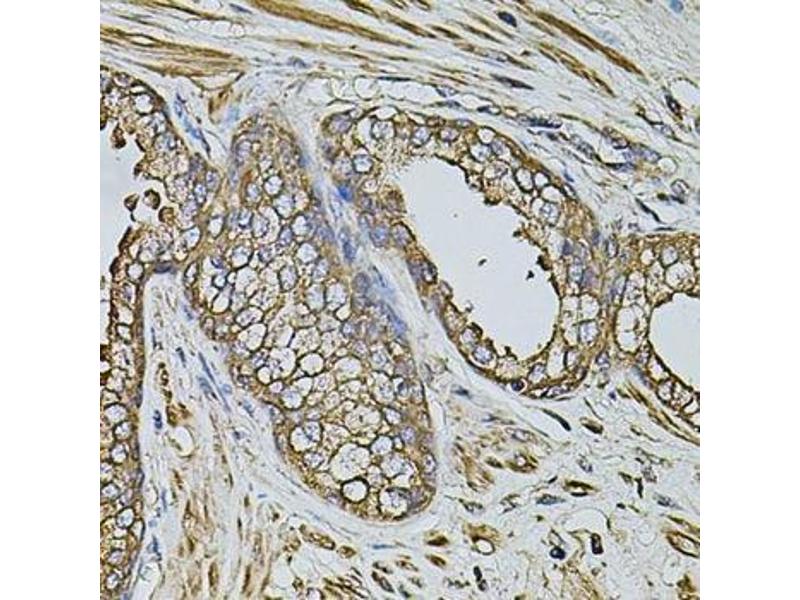
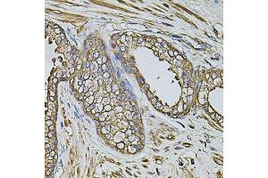
CPOX anticorps (AA 111-454)

Cet anticorps anti-CPOX Polyclonal Lapin (ABIN1679346) détecte spécifiquement CPOX dans WB et IHC. L’anticorps est réactif avec des échantillons de Humain.
N° du produit ABIN1679346
416,00 €
Plus frais de livraison 40,00 € et TVA
Destination: France
Envoi sous 8 à 10 jours ouvrables

Aperçu rapide pour CPOX anticorps (AA 111-454) (ABIN1679346)

Antigène

Voir toutes CPOX Anticorps
CPOX (Coproporphyrinogen Oxidase (CPOX))

Reactivité

  • 20
  • 4
  • 4
  • 1
Humain

Hôte

  • 20
  • 1
Lapin

Clonalité

  • 20
  • 1
Polyclonal

Conjugué

  • 12
  • 3
  • 2
  • 1
  • 1
  • 1
  • 1
Cet anticorp CPOX est non-conjugé

Application

  • 11
  • 7
  • 7
  • 5
  • 4
  • 4
  • 2
  • 2
  • 1
Western Blotting (WB), Immunohistochemistry (IHC)
  • Épitope

    • 7
    • 5
    • 1
    • 1
    • 1
    • 1
    AA 111-454

    Séquence

    TSLGRPEEEE DELAHRCSSF MAPPVTDLGE LRRRPGDMKT KMELLILETQ AQVCQALAQV DGGANFSVDR WERKEGGGGI SCVLQDGCVF EKAGVSISVV HGNLSEEAAK QMRSRGKVLK TKDGKLPFCA MGVSSVIHPK NPHAPTIHFN YRYFEVEEAD GNKQWWFGGG CDLTPTYLNQ EDAVHFHRTL KEACDQHGPD LYPKFKKWCD DYFFIAHRGE RRGIGGIFFD DLDSPSKEEV FRFVQSCARA VVPSYIPLVK KHCDDSFTPQ EKLWQQLRRG RYVEFNLLYD RGTKFGLFTP GSRIESILMS LPLTARWEYM HSPSENSKEA EILEVLRHPR DWVR

     Réactivité croisée

    Humain, Souris, Rat

    Attributs du produit

    Polyclonal Antibodies

    Purification

    Affinity purification

    Immunogène

    Recombinant fusion protein containing a sequence corresponding to amino acids 111-454 of human CPOX (NP_000088.3).

    Isotype

    IgG
  • Indications d'application

    WB,1:500 - 1:2000,IHC,1:50 - 1:200

    Restrictions

    For Research Use only
  • Buffer

    PBS with 0.02 % sodium azide,50 % glycerol, pH 7.3.

    Agent conservateur

    Sodium azide

    Précaution d'utilisation

    This product contains Sodium azide: a POISONOUS AND HAZARDOUS SUBSTANCE which should be handled by trained staff only.

    Stock

    -20 °C

    Stockage commentaire

    Store at -20°C. Avoid freeze / thaw cycles.
  • Antigène

    CPOX (Coproporphyrinogen Oxidase (CPOX))

    Autre désignation

    CPOX

    Sujet

    The protein encoded by this gene is the sixth enzyme of the heme biosynthetic pathway. The encoded enzyme is soluble and found in the intermembrane space of mitochondria. This enzyme catalyzes the stepwise oxidative decarboxylation of coproporphyrinogen III to protoporphyrinogen IX, a precursor of heme. Defects in this gene are a cause of hereditary coproporphyria (HCP).,CPOX,CPO,CPX,HCP,Cancer,Signal Transduction,Endocrine & Metabolism,Mitochondrial metabolism,Mitochondrial markers,CPOX

    Poids moléculaire

    30 kDa/50 kDa

    ID gène

    1371

    UniProt

    P36551
Vous êtes ici:
Chat with us!