PRAM1 anticorps (AA 551-650)
Aperçu rapide pour PRAM1 anticorps (AA 551-650) (ABIN1713884)
Antigène
Voir toutes PRAM1 AnticorpsReactivité
Hôte
Clonalité
Conjugué
Application
-
-
Épitope
- AA 551-650
-
Réactivité croisée
- Humain
-
Homologie
- Mouse,Rat,Dog,Cow,Sheep,Pig,Horse
-
Purification
- Purified by Protein A.
-
Immunogène
- KLH conjugated synthetic peptide derived from human PRAM1
-
Isotype
- IgG
-
-
-
-
Indications d'application
-
ELISA 1:500-1000
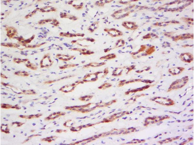
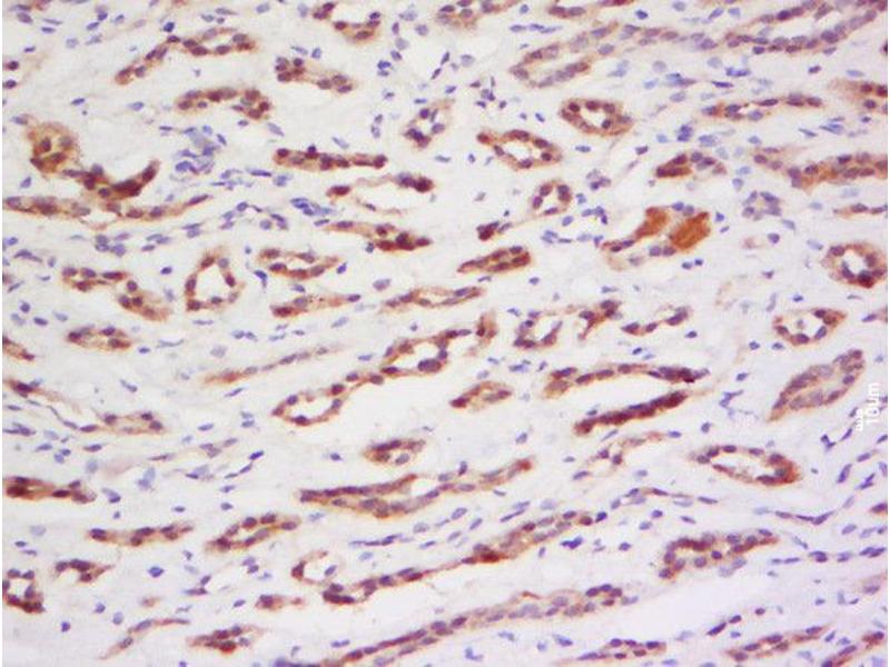
IHC-P 1:200-400
IHC-F 1:100-500
IF(IHC-P) 1:50-200
IF(IHC-F) 1:50-200
IF(ICC) 1:50-200
ICC 1:100-500 -
Restrictions
- For Research Use only
-
-
-
Format
- Liquid
-
Concentration
- 1 μg/μL
-
Buffer
- 0.01M TBS( pH 7.4) with 1 % BSA, 0.02 % Proclin300 and 50 % Glycerol.
-
Agent conservateur
- ProClin
-
Précaution d'utilisation
- This product contains ProClin: a POISONOUS AND HAZARDOUS SUBSTANCE, which should be handled by trained staff only.
-
Stock
- 4 °C,-20 °C
-
Stockage commentaire
- Shipped at 4°C. Store at -20°C for one year. Avoid repeated freeze/thaw cycles.
-
Date de péremption
- 12 months
-
-
- PRAM1 (PML-RARA Regulated Adaptor Molecule 1 (PRAM1))
-
Autre désignation
- PRAM1
-
Sujet
-
Synonyms: PML RAR, PML RARA regulated adaptor molecule 1, PML RARA target gene encoding an Adaptor Molecule 1, PML-RARA-regulated adapter molecule 1, PRAM 1, PRAM, PRAM-1, PRAM_HUMAN, PRAM1.
Background: Complete remission of acute promyelocytic leukemia can be achieved by treating patients with retinoic acid, and PML-RAR-a (promyelocytic leukemia-retinoic acid receptor alpha fusion protein) plays a major role in mediating retinoic acid effects in leukemia cells. The retinoic acid-induced gene, PRAM-1 (PML-RAR-a target gene encoding an adaptor molecule 1) encodes an adaptor protein which is expressed and modulated during normal human myelopoiesis. PRAM-1 expression is hindered by expression of PML-RAR-a. The 718 amino acid PRAM-1 protein contains eight N-terminal proline-rich repeats and several proline residues that are clustered as type I or type II SH3 recognition motifs. PRAM-1 demonstrates expression in hematopoietic tissues and lung.
-
Pathways
- Regulation of Leukocyte Mediated Immunity
Antigène
-