Tel:
+49 (0)241 95 163 153
Fax:
+49 (0)241 95 163 155
E-Mail:
orders@anticorps-enligne.fr

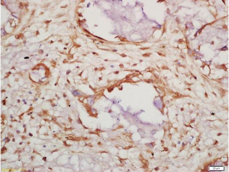
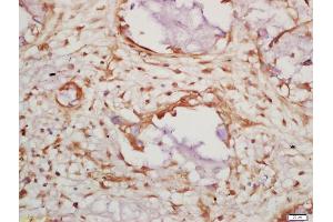
CASP14 anticorps (AA 155-242)

L’anticorps anti-CASP14 Polyclonal Lapin est utilisé pour la détection de CASP14 dans des échantillons de Humain, Souris et Rat. Il a été validé pour ELISA, ICC, IHC (p), IHC (fro), IF (cc) et IF (p).
N° du produit ABIN1714934
357,70 €
Plus frais de livraison 40,00 € et TVA
100 μL
Destination: France
Envoi sous 8 à 12 jours ouvrables

Aperçu rapide pour CASP14 anticorps (AA 155-242) (ABIN1714934)

Antigène

Voir toutes CASP14 Anticorps
CASP14 (Caspase 14, Apoptosis-Related Cysteine Peptidase (CASP14))

Reactivité

Humain, Souris, Rat

Hôte

  • 52
  • 5
  • 1
Lapin

Clonalité

  • 33
  • 25
Polyclonal

Conjugué

  • 35
  • 3
  • 3
  • 3
  • 3
  • 3
  • 3
  • 3
  • 1
  • 1
Cet anticorp CASP14 est non-conjugé

Application

  • 41
  • 22
  • 18
  • 18
  • 15
  • 12
  • 9
  • 5
  • 3
  • 2
  • 1
  • 1
ELISA, Immunocytochemistry (ICC), Immunohistochemistry (Paraffin-embedded Sections) (IHC (p)), Immunohistochemistry (Frozen Sections) (IHC (fro)), Immunofluorescence (Cultured Cells) (IF (cc)), Immunofluorescence (Paraffin-embedded Sections) (IF (p))
  • Épitope

    • 3
    • 3
    • 3
    • 2
    • 2
    • 1
    • 1
    • 1
    • 1
    • 1
    • 1
    • 1
    • 1
    • 1
    • 1
    • 1
    • 1
    AA 155-242

     Réactivité croisée

    Humain, Souris, Rat

    Homologie

    Pig,Guinea Pig

    Purification

    Purified by Protein A.

    Immunogène

    KLH conjugated synthetic peptide derived from human Caspase 14

    Isotype

    IgG
  • Indications d'application

    ELISA 1:500-1000
    IHC-P 1:200-400
    IHC-F 1:100-500
    IF(IHC-P) 1:50-200
    IF(IHC-F) 1:50-200
    IF(ICC) 1:50-200
    ICC 1:100-500

    Restrictions

    For Research Use only
  • Format

    Liquid

    Concentration

    1 μg/μL

    Buffer

    0.01M TBS( pH 7.4) with 1 % BSA, 0.02 % Proclin300 and 50 % Glycerol.

    Agent conservateur

    ProClin

    Précaution d'utilisation

    This product contains ProClin: a POISONOUS AND HAZARDOUS SUBSTANCE, which should be handled by trained staff only.

    Stock

    4 °C,-20 °C

    Stockage commentaire

    Shipped at 4°C. Store at -20°C for one year. Avoid repeated freeze/thaw cycles.

    Date de péremption

    12 months
  • Antigène

    CASP14 (Caspase 14, Apoptosis-Related Cysteine Peptidase (CASP14))

    Autre désignation

    Caspase 14

    Sujet

    Synonyms: Caspase-14, CASP-14, CASP14

    Background: Non-apoptotic caspase involved in epidermal differentiation. Is the predominant caspase in epidermal stratum corneum (PubMed:15556625). Seems to play a role in keratinocyte differentiation and is required for cornification. Regulates maturation of the epidermis by proteolytically processing filaggrin (By similarity). In vitro has a preference for the substate [WY]-X-X-D motif and is active on the synthetic caspase substrate WEHD-ACF (PubMed:16854378, PubMed:19960512). Involved in processing of prosaposin in the epidermis (By similarity). May be involved in retinal pigment epithelium cell barrier function (PubMed:25121097). Involved in DNA degradation in differentiated keratinocytes probably by cleaving DFFA/ICAD leading to liberation of DFFB/CAD (PubMed:24743736).

    ID gène

    23581

    UniProt

    P31944
Vous êtes ici:
Chat with us!