Tel:
+49 (0)241 95 163 153
Fax:
+49 (0)241 95 163 155
E-Mail:
orders@anticorps-enligne.fr

SENP1 anticorps (AA 28-59)

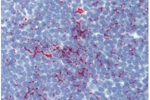
Cet anticorps Lapin Polyclonal détecte spécifiquement SENP1 dans WB, IHC et IHC (p). Il présente une réactivité avec des échantillons de Humain.
N° du produit ABIN1804036
512,07 €
Plus frais de livraison 40,00 € et TVA
200 μL
Destination: France
Envoi sous 15 à 20 jours ouvrables

Aperçu rapide pour SENP1 anticorps (AA 28-59) (ABIN1804036)

Antigène

Voir toutes SENP1 Anticorps
SENP1 (SUMO1/sentrin Specific Peptidase 1 (SENP1))

Reactivité

  • 74
  • 21
  • 5
  • 4
  • 3
  • 3
  • 3
  • 2
  • 2
  • 1
  • 1
  • 1
Humain

Hôte

  • 80
  • 3
Lapin

Clonalité

  • 59
  • 24
Polyclonal

Conjugué

  • 42
  • 6
  • 5
  • 4
  • 3
  • 3
  • 3
  • 3
  • 3
  • 3
  • 3
  • 3
  • 1
  • 1
Cet anticorp SENP1 est non-conjugé

Application

  • 63
  • 35
  • 29
  • 15
  • 14
  • 11
  • 7
  • 3
  • 2
  • 1
Western Blotting (WB), Immunohistochemistry (IHC), Immunohistochemistry (Paraffin-embedded Sections) (IHC (p))
  • Épitope

    • 8
    • 7
    • 7
    • 6
    • 6
    • 4
    • 2
    • 2
    • 2
    • 2
    • 1
    • 1
    • 1
    • 1
    • 1
    • 1
    • 1
    • 1
    • 1
    • 1
    AA 28-59

    Specificité

    This SENP1 antibody is generated from rabbits immunized with a KLH conjugated synthetic peptide between 28-59 amino acids from the N-terminal region of human SENP1.

    Purification

    Ammonium sulfate precipitation
  • Indications d'application

    Approved: IHC, IHC-P (10 μg/mL), WB (1:1000)

    Usage: Immunohistochemistry: This antibody was validated for use in immunohistochemistry on a panel of 21 formalin-fixed, paraffin-embedded (FFPE) human tissues after heat induced antigen retrieval in  pH 6.0 citrate buffer. After incubation with the primary antibody, slides were incubated with biotinylated secondary antibody, followed by alkaline phosphatase-streptavidin and chromogen. The stained slides were evaluated by a pathologist to confirm staining specificity. The optimal working concentration for this antibody was determined to be 10 μg/mL.

    Commentaires

    Target Species of Antibody: Human

    Restrictions

    For Research Use only
  • Format

    Liquid

    Concentration

    Lot specific

    Buffer

    PBS, 0.09 % sodium azide

    Agent conservateur

    Sodium azide

    Précaution d'utilisation

    This product contains Sodium azide: a POISONOUS AND HAZARDOUS SUBSTANCE which should be handled by trained staff only.

    Stock

    4 °C,-20 °C

    Stockage commentaire

    Maintain refrigerated at 2-8°C for up to 6 months. For long term storage store at -20°C.

    Date de péremption

    6 months
  • Antigène

    SENP1 (SUMO1/sentrin Specific Peptidase 1 (SENP1))

    Autre désignation

    SENP1

    Sujet

    Name/Gene ID: SENP1
    Subfamily: Cysteine C48
    Family: Protease

    Synonyms: SENP1, Sentrin-specific protease 1, SuPr-2

    ID gène

    29843

    UniProt

    Q9P0U3

    Pathways

    Positive Regulation of Endopeptidase Activity
Vous êtes ici:
Chat with us!