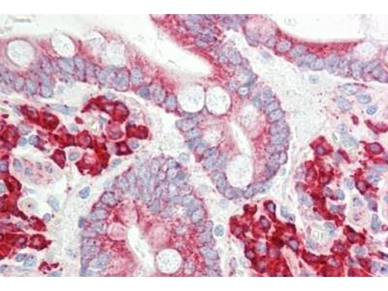
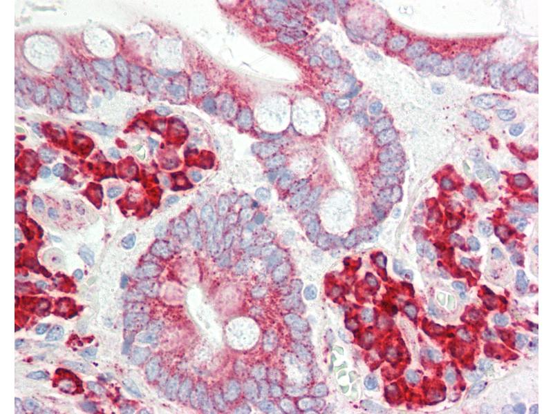
ETFA anticorps (AA 276-304)
Aperçu rapide pour ETFA anticorps (AA 276-304) (ABIN1804793)
Antigène
Voir toutes ETFA AnticorpsReactivité
Hôte
Clonalité
Conjugué
Application
-
-
Épitope
- AA 276-304
-
Specificité
- This ETFA antibody is generated from rabbits immunized with a KLH conjugated synthetic peptide between 276-304 amino acids from the C-terminal region of human ETFA.
-
Purification
- Protein A purified
-
-
-
-
Indications d'application
- Approved: Flo (1:10 - 1:50), IHC, IHC-P (1:50 - 1:100), WB (1:1000)
-
Commentaires
-
Target Species of Antibody: Human
-
Restrictions
- For Research Use only
-
-
-
Format
- Liquid
-
Concentration
- Lot specific
-
Buffer
- PBS, 0.09 % sodium azide
-
Agent conservateur
- Sodium azide
-
Précaution d'utilisation
- This product contains Sodium azide: a POISONOUS AND HAZARDOUS SUBSTANCE which should be handled by trained staff only.
-
Stock
- 4 °C,-20 °C
-
Stockage commentaire
- Maintain refrigerated at 2-8°C for up to 6 months. For long term storage store at -20°C.
-
Date de péremption
- 6 months
-
-
- ETFA (Electron-Transfer-Flavoprotein, alpha Polypeptide (ETFA))
-
Autre désignation
- ETFA
-
Sujet
-
Name/Gene ID: ETFA
Synonyms: ETFA, Alpha-ETF, GA2, EMA, Glutaric aciduria II -
ID gène
- 2108
-
UniProt
- P13804
-
Pathways
- SARS-CoV-2 Protein Interactome
Antigène
-