Tel:
+49 (0)241 95 163 153
Fax:
+49 (0)241 95 163 155
E-Mail:
orders@anticorps-enligne.fr

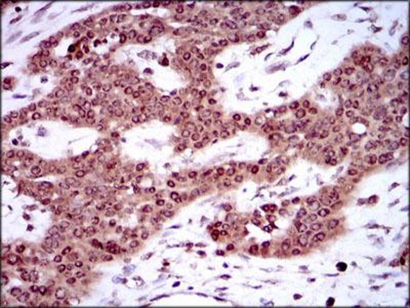
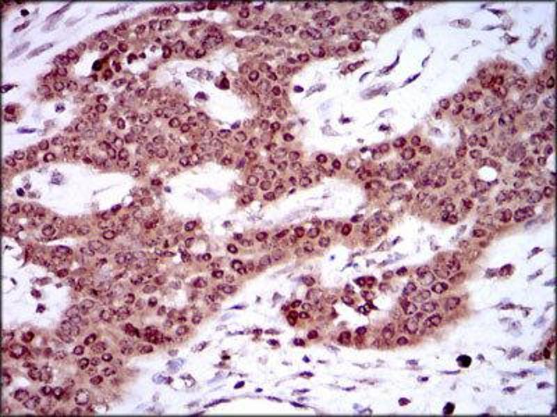
SRY anticorps (AA 1-204)

Cet anticorps Souris Monoclonal détecte spécifiquement SRY dans WB, ELISA, IHC et FACS. Il présente une réactivité avec des échantillons de Humain.
N° du produit ABIN1846456
620,49 €
Plus frais de livraison 40,00 € et TVA
100 μL
Destination: France
Envoi sous 7 à 13 jours ouvrables

Aperçu rapide pour SRY anticorps (AA 1-204) (ABIN1846456)

Antigène

Voir toutes SRY Anticorps
SRY (Sex Determining Region Y (SRY))

Reactivité

  • 29
  • 13
  • 2
  • 1
  • 1
Humain

Hôte

  • 35
  • 9
Souris

Clonalité

  • 37
  • 7
Monoclonal

Conjugué

  • 28
  • 4
  • 3
  • 3
  • 1
  • 1
  • 1
  • 1
  • 1
  • 1
Cet anticorp SRY est non-conjugé

Application

  • 27
  • 21
  • 5
  • 5
  • 1
  • 1
  • 1
  • 1
  • 1
  • 1
Western Blotting (WB), ELISA, Immunohistochemistry (IHC), Flow Cytometry (FACS)
  • Épitope

    • 5
    • 4
    • 4
    • 3
    • 1
    • 1
    • 1
    • 1
    • 1
    • 1
    • 1
    • 1
    • 1
    AA 1-204

    Purification

    Purified antibody

    Immunogène

    Purified recombinant fragment of human SRY (AA:1-204) expressed in E. Coli.

    Isotype

    IgG1
  • Indications d'application

    Optimal working dilution should be determined by the investigator.

    Restrictions

    For Research Use only
  • Format

    Liquid

    Concentration

    1.0 mg/mL

    Buffer

    PBS with 0.05 % sodium azide and 0.5 % protein stabilizer.

    Agent conservateur

    Sodium azide

    Précaution d'utilisation

    This product contains Sodium azide: a POISONOUS AND HAZARDOUS SUBSTANCE which should be handled by trained staff only.

    Stock

    -20 °C

    Stockage commentaire

    Aliquot and store at -20 °C. Avoid repeated freeze/thaw cycles.
  • Antigène

    SRY (Sex Determining Region Y (SRY))

    Autre désignation

    SRY

    Sujet

    This intronless gene encodes a transcription factor that is a member of the high mobility group (HMG)-box family of DNA-binding proteins. This protein is the testis-determining factor (TDF), which initiates male sex determination. Mutations in this gene give rise to XY females with gonadal dysgenesis (Swyer syndrome),.

    Poids moléculaire

    23.9 kDa

    ID gène

    6736

    UniProt

    Q05066
Vous êtes ici:
Chat with us!