Tel:
+49 (0)241 95 163 153
Fax:
+49 (0)241 95 163 155
E-Mail:
orders@anticorps-enligne.fr

KLF8 anticorps (N-Term)

L’anticorps anti-KLF8 Polyclonal Chèvre est utilisé pour la détection de KLF8 dans des échantillons de Humain. Il a été validé pour WB, ELISA et IHC.
N° du produit ABIN184763
488,25 €
Plus frais de livraison 40,00 € et TVA
100 μg
Destination: France
Envoi sous 5 à 8 jours ouvrables

Aperçu rapide pour KLF8 anticorps (N-Term) (ABIN184763)

Antigène

Voir toutes KLF8 Anticorps
KLF8 (Kruppel-Like Factor 8 (KLF8))

Reactivité

  • 18
  • 4
  • 4
  • 3
  • 3
  • 2
  • 2
  • 2
  • 1
Humain

Hôte

  • 14
  • 4
Chèvre

Clonalité

  • 16
  • 2
Polyclonal

Conjugué

  • 18
Cet anticorp KLF8 est non-conjugé

Application

  • 15
  • 5
  • 4
  • 3
  • 2
  • 1
Western Blotting (WB), ELISA, Immunohistochemistry (IHC)

Classe de qualité

Verified
  • Épitope

    • 4
    • 3
    • 2
    • 1
    • 1
    • 1
    • 1
    • 1
    • 1
    • 1
    • 1
    • 1
    • 1
    N-Term

    Fonction

    KLF8 / BKLF3

    Séquence

    VDMDKLINNL EVQ

    Specificité

    This antibody is expected to recognise isoform 1 (NP_009181.2) and isoform 2 (NP_001152768.1).

     Réactivité croisée

    Humain, Porc

    Purification

    Purified from goat serum by ammonium sulphate precipitation followed by antigen affinity chromatography using the immunizing peptide.

    Immunogène

    Peptide with sequence VDMDKLINNLEVQ-C, from the N Terminus of the protein sequence according to NP_009181.2, NP_001152768.1.

    Isotype

    IgG
  • Indications d'application

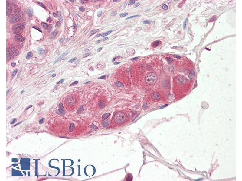
    Immunohistochemistry: Paraffin embedded Human Small Intestine. Recommended concentration: 3.75 μg/mL.

    Western Blot: Approx 50 kDa band observed in Human Kidney lysates (calculated MW of 39.3 acording to NP_009181.2) . In glioblastomas this protein was reported to run at appr. 60 kDa (Ding et al . J Biol Chem. 2005 Feb 25,280(8):6802-15, PMID: 15557280). Re

    Peptide ELISA: antibody detection limit dilution 1:32000.

    Restrictions

    For Research Use only
  • Format

    Liquid

    Concentration

    0.5 mg/mL

    Buffer

    Supplied at 0.5 mg/mL in Tris saline, 0.02 % sodium azide, pH 7.3 with 0.5 % bovine serum albumin.

    Agent conservateur

    Sodium azide

    Précaution d'utilisation

    This product contains Sodium azide: a POISONOUS AND HAZARDOUS SUBSTANCE which should be handled by trained staff only.

    Conseil sur la manipulation

    Minimize freezing and thawing.

    Stock

    -20 °C

    Stockage commentaire

    Aliquot and store at -20°C, with minimal freeze/thawing. A working aliquot may be refrigerated at 4°C for a few weeks and still remain viable.
  • Antigène

    KLF8 (Kruppel-Like Factor 8 (KLF8))

    Autre désignation

    KLF8

    Sujet

    KLF8, BKLF3, Kruppel-like factor 8, RP13-1021K9.1, DKFZp686O08126, DXS741, MGC138314, ZNF741, zinc finger protein 741, basic kruppel-like factor 3

    ID gène

    11279

    NCBI Accession

    NP_009181, NP_001152768
Vous êtes ici:
Chat with us!