Tel:
+49 (0)241 95 163 153
Fax:
+49 (0)241 95 163 155
E-Mail:
orders@anticorps-enligne.fr

TRIM5 anticorps (N-Term)

Cet anticorps anti-TRIM5 Polyclonal Chèvre (ABIN184983) détecte spécifiquement TRIM5 dans WB, ELISA et IHC. L’anticorps est réactif avec des échantillons de Humain.
N° du produit ABIN184983
488,25 €
Plus frais de livraison 40,00 € et TVA
100 μg
Destination: France
Envoi sous 5 à 8 jours ouvrables

Aperçu rapide pour TRIM5 anticorps (N-Term) (ABIN184983)

Antigène

Voir toutes TRIM5 Anticorps
TRIM5 (Tripartite Motif Containing 5 (TRIM5))

Reactivité

  • 38
  • 4
  • 2
  • 1
  • 1
Humain

Hôte

  • 32
  • 6
Chèvre

Clonalité

  • 32
  • 6
Polyclonal

Conjugué

  • 29
  • 3
  • 2
  • 2
  • 1
  • 1
Cet anticorp TRIM5 est non-conjugé

Application

  • 32
  • 19
  • 8
  • 7
  • 4
  • 4
  • 2
  • 1
  • 1
Western Blotting (WB), ELISA, Immunohistochemistry (IHC)

Classe de qualité

Verified
  • Épitope

    • 7
    • 7
    • 6
    • 3
    • 2
    • 2
    • 1
    • 1
    • 1
    • 1
    • 1
    • 1
    • 1
    • 1
    • 1
    • 1
    N-Term

    Fonction

    TRIM5 / RNF88

    Séquence

    ASGILVNVKE EVTC

    Specificité

    This antibody is expected to recognise all three human isoforms of this protein.

     Réactivité croisée

    Humain

    Purification

    Purified from goat serum by ammonium sulphate precipitation followed by antigen affinity chromatography using the immunizing peptide.

    Immunogène

    Peptide with sequence ASGILVNVKEEVTC, from the N Terminus of the protein sequence according to NP_149023.1, NP_149083.1, NP_149084.1.

    Isotype

    IgG
  • Indications d'application

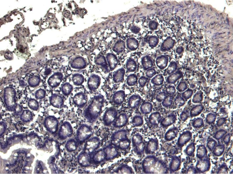
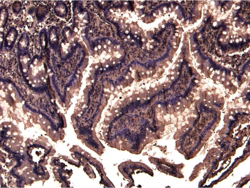
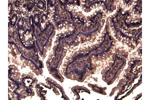
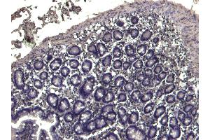
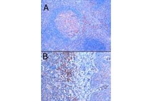
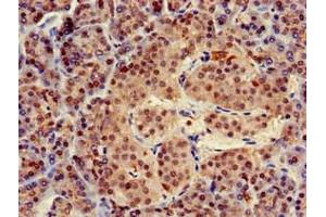
    Immunohistochemistry: Paraffin embedded Human Colon. Recommended concentration: 3 μg/mL.

    Western Blot: Approx 55 and 37 kDa bands observed in Human Thymus lysates (calculated MW of 56.3 kDa according to NP_149023.1 and of 37.7 kDa according to NP_149084.1). Recommended concentration: 1-3 μg/mL. Primary incubation was 1 hour.

    Peptide ELISA: antibody detection limit dilution 1:16000.

    Restrictions

    For Research Use only
  • Format

    Liquid

    Concentration

    0.5 mg/mL

    Buffer

    Supplied at 0.5 mg/mL in Tris saline, 0.02 % sodium azide, pH 7.3 with 0.5 % bovine serum albumin.

    Agent conservateur

    Sodium azide

    Précaution d'utilisation

    This product contains Sodium azide: a POISONOUS AND HAZARDOUS SUBSTANCE which should be handled by trained staff only.

    Conseil sur la manipulation

    Minimize freezing and thawing.

    Stock

    -20 °C

    Stockage commentaire

    Aliquot and store at -20°C, with minimal freeze/thawing. A working aliquot may be refrigerated at 4°C for a few weeks and still remain viable.
  • Antigène

    TRIM5 (Tripartite Motif Containing 5 (TRIM5))

    Autre désignation

    TRIM5

    Sujet

    TRIM5, RNF88, tripartite motif-containing 5, TRIM5alpha, tripartite motif protein 5, tripartite motif protein TRIM5, OTTHUMP00000069812, tripartite motif protein TRIM, tripartite motif-containing protein 5 alpha

    ID gène

    85363

    NCBI Accession

    NP_149023, NP_149083, NP_149084

    Pathways

    Activation of Innate immune Response
Vous êtes ici:
Chat with us!