Tel:
+49 (0)241 95 163 153
Fax:
+49 (0)241 95 163 155
E-Mail:
orders@anticorps-enligne.fr

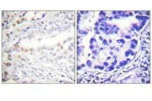
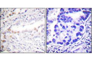
UBA2 anticorps (N-Term)

Cet anticorps Chèvre Polyclonal détecte spécifiquement UBA2 dans WB, ELISA et IF. Il présente une réactivité avec des échantillons de Humain et Souris.Il a été cité dans 1 publication.
N° du produit ABIN185083
488,25 €
Plus frais de livraison 40,00 € et TVA
100 μg
Destination: France
Envoi sous 5 à 8 jours ouvrables

Aperçu rapide pour UBA2 anticorps (N-Term) (ABIN185083)

Antigène

Voir toutes UBA2 Anticorps
UBA2 (SUMO1 Activating Enzyme Subunit 2 (UBA2))

Reactivité

  • 61
  • 27
  • 23
  • 3
  • 2
  • 1
  • 1
  • 1
Humain, Souris

Hôte

  • 54
  • 7
Chèvre

Clonalité

  • 36
  • 25
Polyclonal

Conjugué

  • 33
  • 4
  • 3
  • 3
  • 3
  • 3
  • 3
  • 3
  • 1
  • 1
  • 1
  • 1
  • 1
  • 1
Cet anticorp UBA2 est non-conjugé

Application

  • 47
  • 32
  • 24
  • 17
  • 16
  • 14
  • 6
  • 3
  • 2
  • 1
  • 1
  • 1
Western Blotting (WB), ELISA, Immunofluorescence (IF)

Classe de qualité

Verified
  • Épitope

    • 8
    • 7
    • 3
    • 2
    • 2
    • 2
    • 1
    • 1
    • 1
    • 1
    • 1
    • 1
    • 1
    N-Term

    Fonction

    SAE2 / UBA2

    Séquence

    ALSRGLPREL AEA

     Réactivité croisée

    Boeuf (Vache), Humain, Souris

    Purification

    Purified from goat serum by ammonium sulphate precipitation followed by antigen affinity chromatography using the immunizing peptide.

    Immunogène

    ALSRGLPRELAEA-C

    Isotype

    IgG
  • Indications d'application

    Western Blot: This product has been successfully used in Western blot on Mouse: Kanemaru A, Saitoh H., Biosci Biotechnol Biochem. 2013,77(7):1575-8. PMID: 23832333.

    Peptide ELISA: antibody detection limit dilution 1:16000.

    Commentaires

    Immunofluorescence: Strong expression of the protein seen in the nuclei of U2OS and HeLa cells. Recommended concentration: 10μg/ml.

    Restrictions

    For Research Use only
  • Format

    Liquid

    Concentration

    0.5 mg/mL

    Buffer

    Supplied at 0.5 mg/mL in Tris saline, 0.02 % sodium azide, pH 7.3 with 0.5 % bovine serum albumin.

    Agent conservateur

    Sodium azide

    Précaution d'utilisation

    This product contains Sodium azide: a POISONOUS AND HAZARDOUS SUBSTANCE which should be handled by trained staff only.

    Conseil sur la manipulation

    Minimize freezing and thawing.

    Stock

    -20 °C

    Stockage commentaire

    Aliquot and store at -20°C, with minimal freeze/thawing. A working aliquot may be refrigerated at 4°C for a few weeks and still remain viable.
  • Kanemaru, Saitoh: "High-yield expression of mouse Aos1-Uba2-fusion SUMO-activating enzyme, mAU, in a baculovirus-insect cell system." dans: Bioscience, biotechnology, and biochemistry, Vol. 77, Issue 7, pp. 1575-8, (2013) (PubMed).

  • Antigène

    UBA2 (SUMO1 Activating Enzyme Subunit 2 (UBA2))

    Autre désignation

    SAE2

    Sujet

    UBA2, SAE2, SUMO-1 activating enzyme subunit 2

    ID gène

    10054, 50995

    NCBI Accession

    NP_005490
Vous êtes ici:
Chat with us!